

Centro Médico Teknonen/health-centers/centro-medico-teknon- Centro Médico Teknonen/health-centers/centro-medico-teknon
¿Cómo se diagnostica el cáncer de próstata?
En la actualidad son dos las herramientas básicas o de primera línea que nos permiten sospechar la presencia de un cáncer de próstata: el PSA (siglas de Prostate Specific Antígen) y el tacto rectal. La combinación de PSA/tacto rectal es la prueba de mayor utilidad para conocer el riesgo que tiene el paciente de tener un cáncer de próstata.
El Antígeno Prostático Específico (PSA) es una sustancia (proteína) que segregan las células prostáticas y que se encuentra en grandes concentraciones (mg/ml) en el semen. Su función es la de licuar el semen. Una pequeña cantidad (ng/ml) se encuentra circulando en la sangre en dos formas: el llamado PSA total y el PSA libre. Sus niveles normales se ven alterados por la edad y por la presencia de enfermedades que afecten a la próstata (HBP, cáncer de próstata y prostatitis) y después de manipulaciones uretrales o intervenciones quirúrgicas sobre la próstata, ya que en estas circunstancias el PSA se escapa de las células prostáticas y pasa a la sangre, donde mediante un análisis podremos detectarlo.
La relación o índice entre PSA total y PSA libre es un factor importante para ayudarnos a diferenciar PSA elevados por presencia de HBP (índice PSAtotal/PSAlibre superior al 20%). Los varones con obesidad severa tienden a tener valores inferiores de PSA. Existen fármacos como el finasteride o dutasteride que disminuyen el nivel de PSA y algunos preparados de fitoterapia que también lo pueden disminuir. En estos casos se debe aplicar un factor de corrección para conocer el valor verdadero del PSA.
¿Cuáles son los valores normales del PSA?
En los hombres menores de 50 años, el PSA normal debe ser inferior a 2,5 ng/ml. Entre 50 y 59 años, debe ser inferior a 3,5 ng/ml. Entre 60 y 69, inferior a 4,5 ng/ml y, entre 70 y 79, inferior a 6,5 ng/ml.
Otros factores como el tamaño de la próstata, la presencia de HBP, el incremento anual del PSA, la relación PSA/volumen prostático y la relación entre el PSA total y PSA libre nos ayudarán para mejorar la sensibilidad (detectar más cánceres) y la especificidad (evitar biopsias innecesarias). De este modo podremos diferenciar mejor a los pacientes en los que el PSA elevado sea debido a un carcinoma de próstata.
¿Cuál es la probabilidad de que tenga un cáncer de próstata si mi PSA está elevado?
Para un varón de 50 años, con un tacto rectal normal y con un PSA 0,0-2,0 ng/ml la probabilidad es del 10%. Si el PSA es de 2,0-4,0 ng/ml, la probabilidad se situa entre el 15-25%. En el caso en que el PSA sea de 4,0-10,0 ng/ml, entre el 17-32%; i si el PSA es superior a 10,0 ng/ml, de un 43-65%.
Sí. El llamado PCA3 es un nuevo marcador tumoral para el diagnóstico del cáncer de próstata. En el test se detecta la presencia del mRNA (RNA mensajero) expresado por el gen 3 del cáncer de próstata, cuya concentración en el líquido prostático está muy elevada en casi todos los casos de carcinoma. El test se realiza en una muestra de orina recogida después de practicar un tacto rectal. El test es positivo a partir de un valor de 35 y presenta una sensibilidad del 68% y una especificidad del 78%. Es un marcador útil para decidir la realización de nuevas biopsias en pacientes con PSA elevados y biopsias previas negativas.
No. En los varones sin símptomas y con una esperanza de vida inferior a 10 años no es necesario. A los 75 años sólo un 50% de los hombres tiene una expectativa de vida superior a los 10 años y a partir de esa edad no se considera necesario. Por otro lado, la disparidad entre la elevada prevalencia del cáncer de próstata y el bajo riesgo de mortalidad, hace que sea extremadamente importante poder distinguir entre aquellos tumores que se van a comportar de una forma muy agresiva y los que van a ser clínicamente insignificantes.
¿A qué edad se aconseja iniciar el "screening" o cribado del cáncer de próstata?
En los varones con antecedentes familiares de cáncer de próstata en padre o hermano (diagnosticado antes de los 65 años de edad) o de raza afro-americana se aconseja realizar un estudio anual de PSA a partir de los 40 años de edad. En los varones con riesgo muy elevado (varios miembros de la familia diagnosticados antes de los 65 años de edad) es aconsejable a partir de los 35 años. En los varones sin factores de riesgo se puede iniciar a los 45 años. Después de los 75 años no se recomienda, en general, el screening del cáncer de próstata. Tampoco se recomienda en aquellos pacientes que presentan una esperanza de vida inferior a 10 años.
El tacto rectal es una exploración que realiza el médico introduciendo un dedo, enguantado y lubricado, a través del canal anal. De esta manera se pueden percibir deformaciones en el contorno o irregularidades en la consistencia de la próstata. Es menos efectiva que el PSA para detectar un cáncer de próstata pero ayuda a detectar un tumor maligno en aquellos varones que tienen un PSA normal.
La biopsia de próstata consiste en obtener unas muestras del tejido prostático que después son examinadas a través del microscopio por el anatomopatólogo, lo que nos permitirá saber si hay células cancerosas. El procedimiento lo realiza, normalmente, el urólogo. Para obtener las muestras nos guiamos con ayuda de las imágenes que nos proporciona una sonda ecográfica colocada en el recto. Después, mediante una aguja (18-20 G) que atraviesa el recto o, en ocasiones el periné, vamos tomando cilindros, que miden 1 cm de longitud y 1 milimetro de ancho, de las diferentes regiones de la próstata y, si es necesario, de las vesículas seminales. Nosotros utilizamos la vía transrectal para obtener una media de 21 cilindros (entre 10 y 40 ) y la vía transperineal cuando queremos obtener más de 40 cilindros.
El número de cilindros obtenidos así como el porcentaje y el grado del tumor en cada uno de los cilindros es importante, pues ello nos permite valorar la probabilidad de estar frente a un tumor agresivo o indolente.¿Es dolorosa la biopsia de próstata?
No debe serlo. Desde hace más de 15 años practicamos las biopsias bajo sedación endovenosa con la colaboración del anestesista, de la misma manera que se utiliza la sedación endovenosa para técnicas de endoscopia digestiva. El procedimiento dura entre 10-20 minutos y el paciente puede ser dado de alta a las pocas horas.
¿Qué complicaciones puede tener la biopsia de próstata?
La más grave es la infección de la próstata (prostatitis bacteriana aguda) que, si es severa, puede provocar una sepsis. Son poco frecuentes (0,5-3,5%) pero en nuestro Centro aplicamos una técnica de antisepsia local que consigue reducir a menos del 0,01% las complicaciones infecciosas. Después de la biopsia es muy frecuente la presencia de sangre en el semen, que puede durar varias semanas, y una orina oscura debido a la presencia de pequeños restos de sangre que puede presentarse durante varios días.
El resultado de la biopsia. Grado del tumor
El anatomopatólogo redacta un informe donde asigna una puntuación a las células del tumor maligno. Es el llamado "grado Gleason" que va desde el grado 1 al grado 5, siendo el 5 el más agresivo. Se establece una suma de dos grados, el primario, aquel que se encuentra en mayor proporción, y el secundario, el que le sigue en proporción. La suma de los dos determina la "puntuación Gleason" que oscila entre 2 y 10.
Los tumores con Gleason 2 a 4 son muy poco frecuentes y tiene un potencial muy bajo de agresividad, los Gleason 5 a 6 tienen una agresividad intermedia y aquellos con un Gleason superior a 7 tienen una gran agresividad.
Sí. Los valores del PSA se correlacionan con el reisgo de que la enfermedad se haya diseminado más allá de la próstata, invadiendo a las vesículas seminales y a los ganglios linfáticos. Los pacientes con un PSA inferior a 10 ng/ml en el momento del diagnóstico tienen muchas probabilidades de responder al tratamiento radical.
La estadificación nos muestra el tamaño y la extensión que tiene el tumor. Ello es muy importante pues tendrán mejor respuesta al tratamiento aquellos tumores que estén localizados dentro de la próstata. El sistema TNM (Tumor, Nodos linfáticos y Metastásis) es el que se utiliza en la actualidad. Así, el cáncer localizado se clasifica como T1a, lo que significa que el tacto rectal es normal. Un valor T2a indica que el tacto rectal es anormal pero que no hay signos de extensión fuera de la próstata. Un valor N0 indica que no hay extensión a los ganglios linfáticos regionales. La fase M0 indicaría que no hay signos de metástasis. Si el cáncer se ha extendido a los ganglios linfáticos pasaría a N1 y si afecta a los huesos a M1.
Se han elaborado unos esquemas basados en los valores de PSA, puntuación Gleason y categoría T (TNM) y que están asociados con la mortalidad por cáncer de próstata después del tratamiento con cirugía radical o radioterapia.
- Riesgo bajo: PSA igual o inferior a 10 ng/ml, puntuación Gleason igual o inferior a 6 y estadio T1c o T2a
- Riesgo intermedio: PSA entre 10-20 ng/ml o puntuación Gleason de 7 y estadio T2b
- Riesgo elevado: PSA superior a 20 ng/ml o puntuación Gleason entre 8-10 y estadio T2b
En los pacientes con enfermedad de bajo riesgo no es necesario, en general, la realización de TAC o RMN (resonancia magnética endorectal) que sí lo son en los pacientes del grupo de riesgo intermedio y elevado.
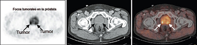
El estudio de los huesos mediante gammagrafía ósea debe ser efectuado si hay sospecha de lesiones óseas y/o el PSA es superior a 10 ng/ml. En ocasiones se realiza un PET-TC con colina para evaluar la presencia de metástasis.
RMN endorectal. Es una técnica de imagen que utiliza ondas magnéticas en lugar de rayos-X. La energía de las ondas magnéticas es absorbida por el organismo y después liberada dando las imágenes más detalladas que hoy en día podemos obtener de la próstata. La calidad de las imágenes, asociada en ocasiones con técnicas de espectroscopia o de inyección de contraste paramagnético es tan elevada que permite observar la zona de HBP y, si hay tumor, diferenciar entre un tumor en estadio T2 y un T3 con una especificidad del 95%. También permite detectar la presencia de ganglios linfáticos aumentados de tamaño, en la zona pelviana y es de gran ayuda para planificar las biopsias pues nos indica que áreas son sospechosas de albergar células cancerosas.
Gammagrafía ósea. Es una prueba que nos permite detectar si el tumor ha invadido los huesos. Se realiza inyectando un isótopo radiactivo en la vena que se fija en las zonas donde el hueso esta dañado. Una cámara especial detecta los acúmulos de radiactividad y forma una imagen de todo el esqueleto. Estos acúmulos también aparecen en casos de lesiones inflamatorias (artritis), antiguos traumatismos u otras patologías óseas.


































