

- ODONTÓLOGO/A /ESTOMATÓLOGO/ACentro Médico Teknones/red-centros/centro-medico-teknon
La Ortodoncia es la especialidad odontología que estudia, previene y corrige las alteraciones del desarrollo de las arcadas dentarias, la posición de los maxilares, así como la posición de las piezas dentales, con el fin de establecer un equilibrio morfológico y funcional de la boca y de la cara, obviamente mejorando también la estética facial.
El sello distintivo de Stomatek es la importancia que le damos a la correcta función del sistema masticatorio por ello muchos de nuestros tratamientos los basamos en la corrección funcional por medio de los tratamientos de ortodoncia.
Afortunadamente los avances tecnológicos también han calado en estos ámbitos proveyéndonos de herramientas tanto para el diagnóstico como para el tratamiento mismo, resultando en enormes beneficios a nuestros pacientes. Por ejemplo, la tecnología de escáneres 3D la cual usamos para la toma de registros de los huesos maxilares y/o piezas dentales dotándonos de una precisión nunca antes vista.
Dicho esto, creemos que invertir tiempo y recursos en un perfecto diagnóstico es primordial para alcanzar la excelencia en nuestros tratamientos.
Para poder llevar a cabo un tratamiento de Ortodoncia es imprescindible realizar un estudio del paciente. En este estudio se toman unos registros de la cara, huesos y dientes, para poder hacer un diagnóstico del caso a tratar y poder así elaborar un listado de problemas, plantear unos objetivos y poder valorar todas las opciones de tratamiento. En Stomatek utilizamos, tanto los brackets convencionales, tanto estéticos como transparentes, así como también alineadores invisibles.
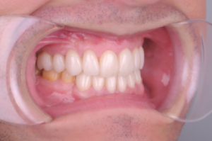
Antes

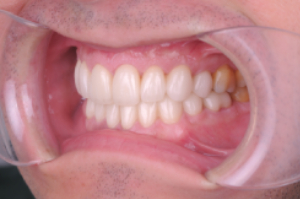
Después



Inicio del caso



Final del caso


Antes

Después

Final

Antes

Después

Antes

Durante el tratamiento de ortodoncia

Final

Final


































