Menú teléfono cabecera
Selector de idioma
menuPrincipal
- Cuadro médico
- Especialidades
- Unidades especializadas
Instituto del Corazón
Unidad de Obesidad
Instituto Oncológico
Unidad de Medicina y Cirugía sin sangre
Instituto de Neurociencias
Unidad de Atención al Lesionado de Tráfico
Instituto de Neumología
Unidad de Medicina Marítima
Instituto de Terapia Regenerativa Tisular
Unidad de Tratamiento del Dolor
Clínica del Tenis
Unidad de Enfermedades Inflamatorias y Autoinmunes
Unidad de Reproducción
Asistida
Unidad del Sueño
Unidad de Síndromes de Sensibilización Central
- Especialidades
- Cardiología y cirugía vascular
- Neumología
- Cirugía general
- Neurología y Neurocirugía
- Cirugía Plástica
- Oncología
- Cirugía maxilofacial
- Otorrinolaringología
- Dermatología
- Pediatría y cirugía pediátrica
- Gastroenterología
- Traumatología
- Ginecología y obstetricia
- Urología
- Medicina Interna
- Todas las especialidades
- Unidades especializadas
- Área diagnóstica
- Pruebas diagnósticas
Diagnóstico por la imagenExploraciones diagnósticas e intervencionistas.
Laboratorio de anatomía patológicaDispone de una segunda opinión de la mano de especialistas.
Laboratorio de análisis clínicosServicio integral en el área clínica.
EndoscopiaDiagnóstico preciso sin utilizar la cirugía.
ElectrofisiologíaExploración funcional del Sistema Nervioso Central.
ElectromiografíaEvaluación clínica y neurofisiológica de la patología neuromuscular.
DensitometríaTécnica diagnóstica para comprobar la densidad mineral del hueso.
UrodinamiaDiagnóstico de los trastornos de micción e incontinencia.- Diagnóstico cardíaco
- Chequeos médicos

GeneralUn control inteligente de tu salud
CompletoUn examen exhaustivo de tu salud
Completo PlusNuestro chequeo más exclusivo
ViajerosSi vas a emprender un viaje, tu salud es parte del equipaje
DeportivoUna revisión a fondo para potenciar tu rendimiento
CardiológicoUna buena noticia es saber que tu corazón está bajo control
Para empresasUna herramienta que potencia la satisfacción, productividad y fidelización del empleado
- Pruebas diagnósticas
- Nuestro Centro
- Entorno asistencial Teknon
HospitalizaciónHabitaciones luminosas, funcionales y completamente equipadas.
Unidad de SemicríticosDotada de tecnología para diagnósticos y tratamientos que requieren cuidado especial.
Programa de Alimentación SaludableQueremos mejorar la salud de las personas, por ello promovemos una alimentación saludable, consciente y sostenible en nuestros hospitales.
EnfermeríaEquipo de más de 400 profesionales.
Servicio de Urgencias24 horas al día a tu servicio sin interrupciones.
Área Paciente PrivadoBasado en la alta calidad y el servicio personalizado, ofrecemos un conjunto de servicios que complementan los cuidados médico-asistenciales
Área QuirúrgicaCuenta con 20 quirófanos, 12 de ellos preparados para cirugía de alto riesgo.
Programa internacionalUn asistente de este programa le ofrecerá atención integral y personalizada
Comité de Ética AsistencialAyuda a ciudadanos y profesionales a orientar su actuación en casos de conflictos morales.
UCI-UCUnidad polivalente con boxes equipados con modernos sistemas de monitorización.
Atención al pacienteA disposición de todos los pacientes y acompañantes del centro.
InvestigaciónLa investigación constituye uno de los pilares básicos de Centro Médico Teknon.
Programa de Seguimiento PersonalizadoTe acompañamos durante tu proceso médico. Organizamos y agendamos tus citas y pruebas.
Calidad y Seguridad del PacienteAdoptamos modelos de gestión basados en los estándares más exigentes nacionales e internacionales.
- Entorno asistencial Teknon
- Actualidad
- Actualidad
NoticiasConoce qué está pasando en Centro Médico Teknon. Consulta nuestra sección de noticias.
AgendaPuedes encontrar todos los eventos que hemos organizado sobre salud y aquellos temas de actualidad que te pueden interesar. Accede a nuestra agenda de actividades.
VídeosEn esta sección encontrarás una amplia colección de videos relacionados con nuestras especialidades.
PodcastTemas médicos de actualidad, tratamientos innovadores, consejos de salud y experiencias de pacientes abordados por nuestros especialistas.
Contenidos de salud
- Actualidad
- Blog

menuPrincipal
- Cuadro médico
- Especialidades
- Unidades especializadas
Instituto del Corazón
Unidad de Obesidad
Instituto Oncológico
Unidad de Medicina y Cirugía sin sangre
Instituto de Neurociencias
Unidad de Atención al Lesionado de Tráfico
Instituto de Neumología
Unidad de Medicina Marítima
Instituto de Terapia Regenerativa Tisular
Unidad de Tratamiento del Dolor
Clínica del Tenis
Unidad de Enfermedades Inflamatorias y Autoinmunes
Unidad de Reproducción
Asistida
Unidad del Sueño
Unidad de Síndromes de Sensibilización Central
- Especialidades
- Cardiología y cirugía vascular
- Neumología
- Cirugía general
- Neurología y Neurocirugía
- Cirugía Plástica
- Oncología
- Cirugía maxilofacial
- Otorrinolaringología
- Dermatología
- Pediatría y cirugía pediátrica
- Gastroenterología
- Traumatología
- Ginecología y obstetricia
- Urología
- Medicina Interna
- Todas las especialidades
- Unidades especializadas
- Área diagnóstica
- Pruebas diagnósticas
Diagnóstico por la imagenExploraciones diagnósticas e intervencionistas.
Laboratorio de anatomía patológicaDispone de una segunda opinión de la mano de especialistas.
Laboratorio de análisis clínicosServicio integral en el área clínica.
EndoscopiaDiagnóstico preciso sin utilizar la cirugía.
ElectrofisiologíaExploración funcional del Sistema Nervioso Central.
ElectromiografíaEvaluación clínica y neurofisiológica de la patología neuromuscular.
DensitometríaTécnica diagnóstica para comprobar la densidad mineral del hueso.
UrodinamiaDiagnóstico de los trastornos de micción e incontinencia.- Diagnóstico cardíaco
- Chequeos médicos

GeneralUn control inteligente de tu salud
CompletoUn examen exhaustivo de tu salud
Completo PlusNuestro chequeo más exclusivo
ViajerosSi vas a emprender un viaje, tu salud es parte del equipaje
DeportivoUna revisión a fondo para potenciar tu rendimiento
CardiológicoUna buena noticia es saber que tu corazón está bajo control
Para empresasUna herramienta que potencia la satisfacción, productividad y fidelización del empleado
- Pruebas diagnósticas
- Nuestro Centro
- Entorno asistencial Teknon
HospitalizaciónHabitaciones luminosas, funcionales y completamente equipadas.
Unidad de SemicríticosDotada de tecnología para diagnósticos y tratamientos que requieren cuidado especial.
Programa de Alimentación SaludableQueremos mejorar la salud de las personas, por ello promovemos una alimentación saludable, consciente y sostenible en nuestros hospitales.
EnfermeríaEquipo de más de 400 profesionales.
Servicio de Urgencias24 horas al día a tu servicio sin interrupciones.
Área Paciente PrivadoBasado en la alta calidad y el servicio personalizado, ofrecemos un conjunto de servicios que complementan los cuidados médico-asistenciales
Área QuirúrgicaCuenta con 20 quirófanos, 12 de ellos preparados para cirugía de alto riesgo.
Programa internacionalUn asistente de este programa le ofrecerá atención integral y personalizada
Comité de Ética AsistencialAyuda a ciudadanos y profesionales a orientar su actuación en casos de conflictos morales.
UCI-UCUnidad polivalente con boxes equipados con modernos sistemas de monitorización.
Atención al pacienteA disposición de todos los pacientes y acompañantes del centro.
InvestigaciónLa investigación constituye uno de los pilares básicos de Centro Médico Teknon.
Programa de Seguimiento PersonalizadoTe acompañamos durante tu proceso médico. Organizamos y agendamos tus citas y pruebas.
Calidad y Seguridad del PacienteAdoptamos modelos de gestión basados en los estándares más exigentes nacionales e internacionales.
- Entorno asistencial Teknon
- Actualidad
- Actualidad
NoticiasConoce qué está pasando en Centro Médico Teknon. Consulta nuestra sección de noticias.
AgendaPuedes encontrar todos los eventos que hemos organizado sobre salud y aquellos temas de actualidad que te pueden interesar. Accede a nuestra agenda de actividades.
VídeosEn esta sección encontrarás una amplia colección de videos relacionados con nuestras especialidades.
PodcastTemas médicos de actualidad, tratamientos innovadores, consejos de salud y experiencias de pacientes abordados por nuestros especialistas.
Contenidos de salud
- Actualidad
- Blog

Selector de idioma

- Especialidades
Medina Villareal Jesus
Servicios
Ortodoncia
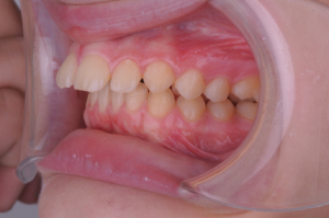
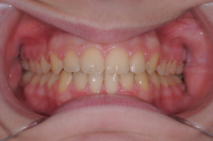
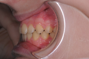
Caso 1

Consultorio
Dr. MedinaMedina Villareal JesusOdontología
- Centro Médico Teknon












