menuPrincipal
- Medical directory
- Specialities
- Unidades especializadas
Instituto del Corazón
Unidad de Obesidad
Instituto Oncológico
Unidad de Medicina y Cirugía sin sangre
Instituto de Neurociencias
Unidad de Atención al Lesionado de Tráfico
Instituto de Neumología
Unidad de Medicina Marítima
Instituto de Terapia Regenerativa Tisular
Unidad de Tratamiento del Dolor
Clínica del Tenis
Unidad de Enfermedades Inflamatorias y Autoinmunes
Unidad de Reproducción Asistida
Unidad del Sueño
Unidad de Síndromes de Sensibilización Central
- Especialidades
- Unidades especializadas
- Diagnostics
- Diagnostic tests
Diagnostic ImagingDiagnostic and interventional scans.
Anatomical pathology laboratoryAllows to obtain a second opinion from renowned specialists.
Clinical Analysis LaboratoryComprehensive service in the clinical area.
EndoscopyAn accurate diagnosis without conventional surgery.
ElectrophysiologyFunctional exploration of the central nervous system.
ElectromyographyClinical and neurophysiological evaluation of neuromuscular pathology.
DensitometryDiagnostic technique for checking bone mineral density.
UrodynamicsDiagnosis of urination disorders and incontinence.
- Cardiac Diagnosis
- Chequeos médicos
GeneralUn control inteligente de tu salud
CompletoUn examen exhaustivo de tu salud
Completo PlusNuestro chequeo más exclusivo
ViajerosSi vas a emprender un viaje, tu salud es parte del equipaje
DeportivoUna revisión a fondo para potenciar tu rendimiento
CardiológicoUna buena noticia es saber que tu corazón está bajo control
Para empresasUna herramienta que potencia la satisfacción, productividad y fidelización del empleado
- Diagnostic tests
- Our centre
- Teknon Healthcare Service Areas
InpatientBright, functional and fully equipped rooms.
Semi-critical Care UnitEquipped with technology for diagnoses and treatments that require special care.
Healthy Nutrition ProgrammeWe want to improve people’s health, which is why we promote healthy, conscious and sustainable nutrition at our hospitals.
NursingOver 400 professionals.
Emergency DepartmentUninterrupted operation, 24/7 at your service.
Exclusivity / Teknon ClubCommitted to superior and individualised service, we furnish a full range of services in conjunction with our medical and healthcare support.
Surgical AreaA total of twenty (20) operating theatres, 12 of which are equipped for high-risk surgery.
International ProgrammeA programme agent will provide you with comprehensive, personalised support
Healthcare Ethics CommitteeGuidance for citizens and professionals in cases of moral conflicts.
ICU-CCUMultipurpose unit incorporating treatment cubicles equipped with modern monitoring systems.
Patient servicesAvailable to all our patients and their companions.
ResearchResearch is one of the cornerstones of Centro Médico Teknon.
Programa de Seguimiento PersonalizadoTe acompañamos durante tu proceso médico. Organizamos y agendamos tus citas y pruebas.
Calidad y Seguridad del PacienteAdoptamos modelos de gestión basados en los estándares más exigentes nacionales e internacionales.
- Teknon Healthcare Service Areas
- News
- Actualidad
NoticiasConoce qué está pasando en Centro Médico Teknon. Consulta nuestra sección de noticias.
AgendaPuedes encontrar todos los eventos que hemos organizado sobre salud y aquellos temas de actualidad que te pueden interesar. Accede a nuestra agenda de actividades.
VídeosEn esta sección encontrarás una amplia colección de videos relacionados con nuestras especialidades.
PodcastTemas médicos de actualidad, tratamientos innovadores, consejos de salud y experiencias de pacientes abordados por nuestros especialistas.
Contenidos de salud
- Actualidad
- Blog
menuPrincipal
- Medical directory
- Specialities
- Unidades especializadas
Instituto del Corazón
Unidad de Obesidad
Instituto Oncológico
Unidad de Medicina y Cirugía sin sangre
Instituto de Neurociencias
Unidad de Atención al Lesionado de Tráfico
Instituto de Neumología
Unidad de Medicina Marítima
Instituto de Terapia Regenerativa Tisular
Unidad de Tratamiento del Dolor
Clínica del Tenis
Unidad de Enfermedades Inflamatorias y Autoinmunes
Unidad de Reproducción Asistida
Unidad del Sueño
Unidad de Síndromes de Sensibilización Central
- Especialidades
- Unidades especializadas
- Diagnostics
- Diagnostic tests
Diagnostic ImagingDiagnostic and interventional scans.
Anatomical pathology laboratoryAllows to obtain a second opinion from renowned specialists.
Clinical Analysis LaboratoryComprehensive service in the clinical area.
EndoscopyAn accurate diagnosis without conventional surgery.
ElectrophysiologyFunctional exploration of the central nervous system.
ElectromyographyClinical and neurophysiological evaluation of neuromuscular pathology.
DensitometryDiagnostic technique for checking bone mineral density.
UrodynamicsDiagnosis of urination disorders and incontinence.
- Cardiac Diagnosis
- Chequeos médicos
GeneralUn control inteligente de tu salud
CompletoUn examen exhaustivo de tu salud
Completo PlusNuestro chequeo más exclusivo
ViajerosSi vas a emprender un viaje, tu salud es parte del equipaje
DeportivoUna revisión a fondo para potenciar tu rendimiento
CardiológicoUna buena noticia es saber que tu corazón está bajo control
Para empresasUna herramienta que potencia la satisfacción, productividad y fidelización del empleado
- Diagnostic tests
- Our centre
- Teknon Healthcare Service Areas
InpatientBright, functional and fully equipped rooms.
Semi-critical Care UnitEquipped with technology for diagnoses and treatments that require special care.
Healthy Nutrition ProgrammeWe want to improve people’s health, which is why we promote healthy, conscious and sustainable nutrition at our hospitals.
NursingOver 400 professionals.
Emergency DepartmentUninterrupted operation, 24/7 at your service.
Exclusivity / Teknon ClubCommitted to superior and individualised service, we furnish a full range of services in conjunction with our medical and healthcare support.
Surgical AreaA total of twenty (20) operating theatres, 12 of which are equipped for high-risk surgery.
International ProgrammeA programme agent will provide you with comprehensive, personalised support
Healthcare Ethics CommitteeGuidance for citizens and professionals in cases of moral conflicts.
ICU-CCUMultipurpose unit incorporating treatment cubicles equipped with modern monitoring systems.
Patient servicesAvailable to all our patients and their companions.
ResearchResearch is one of the cornerstones of Centro Médico Teknon.
Programa de Seguimiento PersonalizadoTe acompañamos durante tu proceso médico. Organizamos y agendamos tus citas y pruebas.
Calidad y Seguridad del PacienteAdoptamos modelos de gestión basados en los estándares más exigentes nacionales e internacionales.
- Teknon Healthcare Service Areas
- News
- Actualidad
NoticiasConoce qué está pasando en Centro Médico Teknon. Consulta nuestra sección de noticias.
AgendaPuedes encontrar todos los eventos que hemos organizado sobre salud y aquellos temas de actualidad que te pueden interesar. Accede a nuestra agenda de actividades.
VídeosEn esta sección encontrarás una amplia colección de videos relacionados con nuestras especialidades.
PodcastTemas médicos de actualidad, tratamientos innovadores, consejos de salud y experiencias de pacientes abordados por nuestros especialistas.
Contenidos de salud
- Actualidad
- Blog
Language selector
- Especialidades
Medina Villareal Jesus
Servicios
Odontopediatría
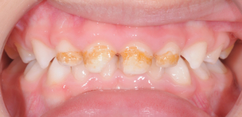
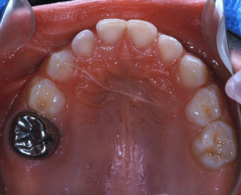
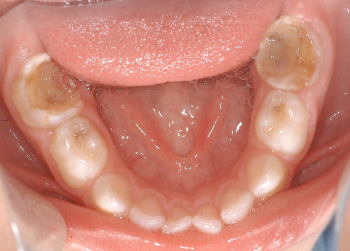
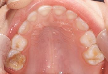
Caso 1

Consultorio

Medina Villareal JesusOdontología
- Cirugía Oral y MaxilofacialCentro Médico Teknon
- OdontologíaCentro Médico Teknon