
Consultation area

AV Medical Group (Office Dr. Aleix Vidal)Orthopedic surgery and traumatology
FACULTATIVO ESPECIALISTA CIR. ORTOPÉDICA Y TRAUMATOLOGÍATraumatología y Cirugía OrtopédicaCentro Médico Teknonen/health-centers/centro-medico-teknon
FACULTATIVO ESPECIALISTA MEDICINA FÍSICA Y REHABILITACIÓNMedicina de la Educación Física y el DeporteCentro Médico Teknonen/health-centers/centro-medico-teknon
FACULTATIVO ESPECIALISTA CIR. ORTOPÉDICA Y TRAUMATOLOGÍATraumatología y Cirugía OrtopédicaCentro Médico Teknonen/health-centers/centro-medico-teknon
FACULTATIVO ESPECIALISTA CIR. ORTOPÉDICA Y TRAUMATOLOGÍATraumatología y Cirugía OrtopédicaCentro Médico Teknonen/health-centers/centro-medico-teknon
FACULTATIVO ESPECIALISTA CIR. ORTOPÉDICA Y TRAUMATOLOGÍATraumatología y Cirugía OrtopédicaCentro Médico Teknonen/health-centers/centro-medico-teknon
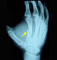
Fractures of the metacarpals and phalanges account for 10% of all fractures. More than half are due to occupational injuries. It is unquestionable the importance of a hand in our daily life and it goes without saying that proper recovery requires an exquisite knowledge of anatomy and biomechanics in order to properly treat hand injuries. Stiffness is very common in lengthy immobilizer treatments. To avoid stiff joints we propose minimally invasive techniques that allow early reincorporation in daily activities.



































