

FACULTATIVO ESPECIALISTA CIR. ORTOPÉDICA Y TRAUMATOLOGÍATraumatología y Cirugía OrtopédicaCentro Médico Teknonen/health-centers/centro-medico-teknon
FACULTATIVO ESPECIALISTA MEDICINA FÍSICA Y REHABILITACIÓNMedicina de la Educación Física y el DeporteCentro Médico Teknonen/health-centers/centro-medico-teknon
FACULTATIVO ESPECIALISTA CIR. ORTOPÉDICA Y TRAUMATOLOGÍATraumatología y Cirugía OrtopédicaCentro Médico Teknonen/health-centers/centro-medico-teknon
FACULTATIVO ESPECIALISTA CIR. ORTOPÉDICA Y TRAUMATOLOGÍATraumatología y Cirugía OrtopédicaCentro Médico Teknonen/health-centers/centro-medico-teknon
FACULTATIVO ESPECIALISTA CIR. ORTOPÉDICA Y TRAUMATOLOGÍATraumatología y Cirugía OrtopédicaCentro Médico Teknonen/health-centers/centro-medico-teknon
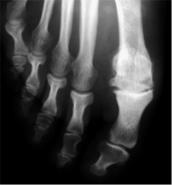
¿Qué es el hallux rígidus?
Es una limitación de la movilidad de la articulación metatarsofalángica del dedo gordo. Esta limitación altera el funcionamiento normal del pie y puede producir dolor. Cuando progresa, aparece una prominencia dorsal en esta articulación que puede ser muy dolorosa.
¿Por qué se produce el hallux rígidus?
Existen una serie de factores predisponentes como la excesiva longitud del primer metatarsiano, traumatismos repetidos, retracción de partes blandas, etc. El primer consejo que damos a nuestros pacientes es calzarse un zapato con una suela en balancín. Las inyecciones de ácico hialurónico pueden ser efectivas en el tratamiento de esta alteración.
¿Cuándo está indicada la cirugía?La cirugía se aconseja cuando hay dolor que no puede controlarse con calzado. Operar un hallux rígidus sin dolor no es necesario.
¿Qué tipo de cirugía es la más aconsejable?
Hay muchos tipos de cirugía para tratar el hallux rígidus. Cada especialista tiene sus preferencias en función de su formación y experiencia. El hallux rígidus puede tener diferentes grados evolución. Dependiendo del grado evolutivo puede ser necesario: resección protuberancia, osteotomías (cortes) de los huesos o fijación de la articulación.
¿Cuál es el tiempo aproximado de ingreso?
En general, la cirugía del hallux rigidus puede realizarse en unidades de cirugía ambulatoria sin ingreso. En caso de cirugía compleja o en pacientes con enfermedades asociadas, puede ser necesario el ingreso hospitalario.
¿Qué necesita para la cirugía?
Para el día de la operación necesita un zapato quirúrgico con el que podrá caminar tras la cirugía. Es conveniente traer unas muletas el día de la cirugía. Al quitar el vendaje es necesario colocar una cincha metatarsal.
¿Cuál es la recuperación tras cirugía de deformidad de los dedos del pie?
Se puede caminar el mismo día de la cirugía con un vendaje y con el zapato quirúrgico. Los puntos se retiran entre 2 y 3 semanas después de la cirugía dependiendo de la evolución de la cicatriz. La utilización de calzado cómodo/deportivo comienza tras retirar los puntos. El pie estará hinchado durante 2-3 meses por lo que se ha de diferir la utilización de zapato estrecho. La recuperación es más larga si se realiza una fijación de la articulación
¿Cuáles son las posibles complicaciones?
Todo procedimiento quirúrgico puede presentar complicaciones aunque su frecuencia es baja. Nuestra experiencia de más de 20 años con dedicación a la cirugía del pie nos permite conocer las posibles complicaciones y tomar las medidas oportunas para minimizar su aparición.


































