
Consultation area

AV Medical Group (Office Dr. Aleix Vidal)Orthopedic surgery and traumatology
FACULTATIVO ESPECIALISTA CIR. ORTOPÉDICA Y TRAUMATOLOGÍATraumatología y Cirugía OrtopédicaCentro Médico Teknonen/health-centers/centro-medico-teknon
FACULTATIVO ESPECIALISTA MEDICINA FÍSICA Y REHABILITACIÓNMedicina de la Educación Física y el DeporteCentro Médico Teknonen/health-centers/centro-medico-teknon
FACULTATIVO ESPECIALISTA CIR. ORTOPÉDICA Y TRAUMATOLOGÍATraumatología y Cirugía OrtopédicaCentro Médico Teknonen/health-centers/centro-medico-teknon
FACULTATIVO ESPECIALISTA CIR. ORTOPÉDICA Y TRAUMATOLOGÍATraumatología y Cirugía OrtopédicaCentro Médico Teknonen/health-centers/centro-medico-teknon
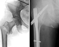
The pelvic ring articulates with the upper portion of the femur resulting in the "hip joint". The hip fractures are due to pelvic involvement in high energy trauma such as traffic accidents, falls from great heights and high speed sports. Fractures of the upper femur most common in elderly patients age and can be caused by minimal trauma due to osteoporosis. The huge range of fractures around the hip is large and therefore their treatments vary depending on the shape of the fracture. We advocate minimal invasive surgery through small incisions restoring the anatomy and returning the joint to its normal range of motion.


































