
Centro Médico Teknonen/health-centers/centro-medico-teknon
Centro Médico Teknonen/health-centers/centro-medico-teknonHospital Universitari Dexeusen/health-centers/hospital-universitari-dexeus- Centro Médico Teknonen/health-centers/centro-medico-teknon
Centro Médico Teknonen/health-centers/centro-medico-teknon
Centro Médico Teknonen/health-centers/centro-medico-teknonHospital El Pilaren/health-centers/hospital-el-pilarHospital Quirónsalud del Vallèsen/health-centers/hospital-quironsalud-valles
Centro Médico Teknonen/health-centers/centro-medico-teknon- Centro Médico Teknonen/health-centers/centro-medico-teknon
- Centro Médico Teknonen/health-centers/centro-medico-teknon
Comodidad + Rapidez + Precisión
Todas las pruebas sin moverte de OftalNova- Resultados inmediatos
- Tecnología de última generación y un equipo con amplia experiencia
En OftalNova contamos con la última tecnología tanto en el Área de Pruebas Diagnósticas Oftalmológicas como en el Área de Tratamiento.
Esto nos permite realizar en la misma clínica, todas las pruebas necesarias de forma cómoda, rápida y precisa, contribuyendo así a un óptimo diagnóstico, sobre todo para la detección de enfermedades en las que el éxito del tratamiento depende de su detección en las fases iniciales.
Pruebas oftalmológicas con la garantía OftalNova
Con una única medición de 2 segundos obtenemos una información completa y de gran precisión, para diagnósticos del segmento anterior del ojo y elección y ajustes de lentes intraoculares.
+ precisión + seguridad = mejores resultados
Nuevo Pentacam AXL


Optometría
Consiste en la prevención, diagnóstico, tratamiento y corrección de defectos visuales. También se ocupa del cálculo y adaptación de lentes oftálmicas para corregirlos.


Contactología
Es el estudio, cálculo y adaptación de lentes de contacto y sus sistemas de mantenimiento.

Test de fusión y Dominancia Ocular
La fusión ocular es la capacidad cerebral para unir dos imágenes similares enviadas por cada retina en una imagen única.
La dominancia ocular determina qué ojo predomina sobre el otro a la hora de realizar tareas motoras y sensoriales.


Gonioscopia
Medición del ángulo que forman el iris y la córnea. Cuando es cerrado o estrecho existe riesgo de hipertensión ocular.


Oftalmoscopia directe e indirecta
Exploración del fondo del ojo mediante lentes y un sistema de iluminación. Analiza la mácula.



Topografía corneal (Orbscan y Cassini)
Es un estudio del relieve de las superficies de la córnea para analizar si existen irregularidades, conocer los diferentes grados de curvatura de esta y el grosor de la capa.





Pulilometría
Es una prueba diagnóstica que nos permite medir el tamaño de la pupila y su comportamiento ante determinados estímulos luminosos.

Aberrometría
Es la determinación mediante el análisis de frente de ondas, de las aberraciones ópticas del globo ocular que determinarán la calidad visual del paciente.



Test de sensibilidad al contraste
La sensibilidad al contraste es la capacidad que tiene el sistema visual para discriminar un objeto respecto al fondo sobre el que se encuentra situado.





Microoscopía Especular y recuento endotelial
Prueba para medir la densidad y la forma de las células del endotelio corneal, que es la capa más interna de la córnea y mantiene su transparencia.



Tonométría
Medida de la presión intraocular (PIO).


Campimetría Computerizada
La campimetría es el estudio del campo visual y la detección de sus defectos (zonas de pérdida parcial o total de visión). El campo visual se define como el espacio en el que un objeto puede ser visto mientras la mirada de la persona estudiada permanece fija hacia el frente.



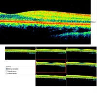
Tomografía de Coherencia óptica (OCT)
La tomografía de coherencia óptica, comúnmente conocida como OCT, es una técnica ecográfica de diagnóstico, control y seguimiento, que nos permite el estudio de cortes histológicos del ojo "en vivo". Fundamentalmente se utiliza para evaluar el estado de la parte central de la retina (mácula) y de la papila óptica (nervio óptico), aunque también se puede ver, entre otras estructuras la córnea, iris y el cristalino.



Estudio de la Papila Óptica (GDX y OCT de Nervio óptico)
Analiza la retina y crea un mapa detallando del grueso de la capa retiniana y fibras nerviosas de la retina central, en particular en la región que rodea el nervio óptico. La máquina proporciona, más allá de las mediciones de espesor real, también un análisis estadístico que indica el nivel de daño en cada área de la retina.




Paquimetría corneal
La paquimetría es un examen indoloro que permite medir el grosor de la córnea. Esto es útil en la cirugía refractiva y en el glaucoma.

Biomicroscopía
Es la exploración mediante un biomicroscopio, también conocido como lámpara de hendidura, que con la ayuda de un sistema de iluminación, lentes y filtros permite la observación de las estructuras oculares tanto externas como internas.

Biometría untrasónica y por interferomtría (IOL Master)
La biometría consiste en la medición de la longitud del ojo y de los diferentes compartimentos que lo componen para calcular el poder dióptrico de las lentes intraoculares que se implantan en la cirugía de las cataratas o de la presbicia.

Láser YAG
Iridotomía: perforación del iris, realizada con láser YAG, para mejorar el flujo del humor acuoso (presión intraocular) en ojos con ángulos estrechos.
Capsulotomía: lisis de células opacificando la cápsula que aloja la lente intraocular utilizando láser YAG.

Láser Argon
Láser utilizado para fotocoagular la retina en enfermedades como diabetes, hemorragias, isquemias, etc… También sella agujeros y/o desgarros en la retina.

Retinografía
Obtención de fotos en color de la retina. Mediante este procedimiento se pueden detectar diferentes enfermedades que afectan a la retina, como la retinopatía diabética, la retinopatía hipertensiva, la retinosis pigmentaria y la degeneración macular asociada a la edad (DMAE).


Test de Osmolaridad
TearLab es un dispositivo que nos permite medir la osmolaridad de la lágrima del paciente. A mayor osmolaridad lagrimal, más sequedad ocular hay. Nos ofrece una medida objetiva y cuantitativa de la calidad de la lágrima que nos permitirá evaluar la efectividad del Tratamiento del Ojo Seco.




































