Digitalised conventional radiology
Digitalised Conventional Radiology facilitates the observation of the internal structures of the body to study possible lesions. New techniques now render the use of remarkably reduced levels of ionising radiation viable, which subsequently simplifies the process and procures sharper and higher quality images to incorporate the data into the centre’s computer system.
- Neurorradiología
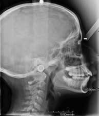
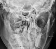
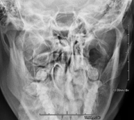
- RX Cráneo
Técnica mediante la cual, utilizando rayos X, se obtienen imágenes del cráneo para su estudio. Indicaciones: traumatismo, cierre precoz de suturas craneales. - RX Senos Paranasales
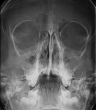
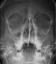
Técnica mediante la cual, utilizando rayos X, se obtienen imágenes de los senos paranasales para su estudio. Indicaciones: dificultad respiratoria nasal, tos crónica, cefalea, mucosidad. - RX ATM (Articulación Temporo-Mandibular)
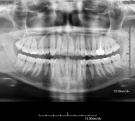
Técnica mediante la cual, utilizando rayos X, se obtienen imágenes de la articulación temporo-mandibular para su estudio. Indicaciones: traumatismo, dolor al masticar, ruido al masticar, limitación en la apertura bucal. - RX Cavum
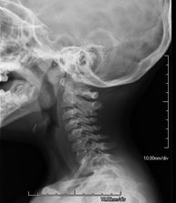
Técnica mediante la cual, utilizando rayos X, se obtienen imágenes del cavum para su estudio. Indicaciones: dificultad respiratoria, anginas de repetición en lactantes y niños. - RX Columna cervical
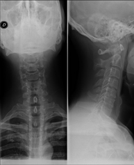
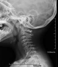
Técnica mediante la cual, utilizando rayos X, se obtienen imágenes de la columna cervical para su estudio. Indicaciones: traumatismo, contractura cervical, dolor articular. - RX Huesos propios nasales
Técnica mediante la cual, utilizando rayos X, se obtienen imágenes de los huesos propios nasales para su estudio. Indicaciones: traumatismo, planificación de cirugía plástica. - RX Conducto auditivo interno
Técnica mediante la cual, utilizando rayos X, se obtienen imágenes del conducto auditivo interno para su estudio. Indicaciones: pérdida de la audición. - RX Orbitas
Técnica mediante la cual, utilizando rayos X, se obtienen imágenes de las órbitas para su estudio. Indicaciones: cuerpo extraño ocular, traumatismo, infecciones. - RX Mandibular
Técnica mediante la cual, utilizando rayos X, se obtienen imágenes de la mandíbula para su estudio. Indicaciones: traumatismo, anomalías congénitas. - RX Laringe
Técnica mediante la cual, utilizando rayos X, se obtienen imágenes de la laringe para su estudio. Indicaciones: dificultad respiratoria. - RX Cuello partes blandas
Técnica mediante la cual, utilizando rayos X, se obtienen imágenes del cuello para su estudio. Indicaciones: estudio de bultos o nódulos. - RX Charnela
Técnica mediante la cual, utilizando rayos X, se obtienen imágenes de la charnela o de la base del cráneo para su estudio. Indicaciones: estudio de malformaciones congénitas.
- Tórax
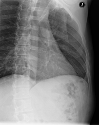
- RX Tórax
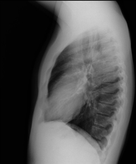
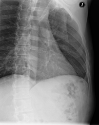
Técnica mediante la cual, utilizando rayos X, se obtienen imágenes de la caja torácica (corazón, pulmones, arcos costales, clavículas, etc.) para su estudio. - RX Esternón
Técnica mediante la cual, utilizando rayos X, se obtienen imágenes del esternón para su estudio. - RX Clavículas
Técnica mediante la cual, utilizando rayos X, se obtienen imágenes de las clavículas para su estudio. - RX Parilla costal
Técnica mediante la cual, utilizando rayos X, se obtienen imágenes de las costillas para su estudio. - RX Columna dorsal
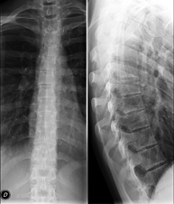
Tècnica que usa els raigs X a través de la qual s'obtenen imatges de la columna dorsal per al seu estudi. Indicacions: traumatisme, dolor, escoliosi. - Esofagograma
Prova diagnòstica que consisteix en obtenir imatges radiològiques en moviment de l'esòfag mitjançant l'ús de raigs X (fluorosòpia) i d'un contrast opac baritat que s'administra per via oral.
- Abdomen i pelvis
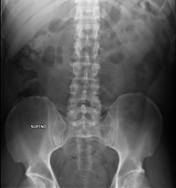
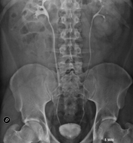
- RX Abdomen
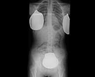
Tècnica que usa els raigs X a través de la qual s'obtenen imatges de l'abdomen (estómac, intestí prim, intestí gros, fetge, ronyons, bufeta, pelvis òssia, etc.) per al seu estudi. - RX Columna lumbar
Tècnica que usa els raigs X a través de la qual s'obtenen imatges de la columna lumbar per al seu estudi. - TEGD (trànsit esòfag-gastro-duodenal)
Prova diagnòstica que consisteix en obtenir imatges radiològiques en moviment de l'esòfag, estómac i duodè mitjançant l'ús de raigs X (fluoroscòpia) i d'un contrast opac baritat que s'administra per via oral. - Trànsit intestinal
Prova diagnòstica que consisteix en obtenir imatges radiològiques en moviment de l'esòfag, estómac, duodè i intestí prim mitjançant l'ús de raigs X (fluoroscòpia) i d'un contrast opac baritat que s'administra per via oral. - Ènema opac doble contrast
Prova diagnòstica que consisteix en obtenir imatges radiològiques de l'intestí gros (còlon i recte) mitjançant l'ús de raigs X. S'utilitza un contrast opac que s'administra a través del recte en forma d'ènema i també s'introdueix aire per expandir el còlon.
- UIV (Pielografia descendent)
La urografia intravenosa (UIV) consisteix en l'obtenció d'imatges radiològiques seriades del ronyó, vies urinàries i bufeta. Aquest estudi requereix sempre l'ús d'un contrast iodat. - Cistografía (CUMS)
La cistouerotrografia miccional seriada consisteix en l'obtenció d'imatges radiològiques per valorar l'anatomia i la funció de la uretra i la bufeta amb l'administració de contrast iodat a través d'una sonda vesical. - Uretrocistografia (Uretro-Cums)
La uretrocistrografia retrògrada i miccional consisteix en l'obtenció d'imatges radiològiques per valorar l'anatomia i la funció de la bufeta i de la uretra. S'aplica material de contrast a través d'una petita sonda que es troba a la uretra i s'obtenen imatges durant l'ompliment i el buidatge de la bufeta. - Pielografia ascendent per catèter
Prova diagnòstica que consisteix en la visualització de l'urèter i de la pelvis renal mitjançant l'ús de raigs X en aquells pacients portadors d'un catèter mitjançant la injecció d'un contrast iodat a través del catèter.
- Pielografia per nefrostomia
Prova diagnòstica que consisteix en la visualització del tracte urinari mitjançant l'ús de raigs X en aquells pacients portadors d'un catèter de nefrostomia mitjançant la injecció d'un contrast iodat a través del catèter.
- Hipsterosalpingografia (HSG)
Prova diagnòstica que consisteix en la visualització i l'estudi de l'úter i les trompes de Falopi mitjançant l'ús de raigs X i un mitjà de contrast. La pacient haurà de realitzar un tractament antibiòtic profilàctic i es recomana la presa d'un sedant suau una hora abans de la prova. - Trans-Kher Cholangiography
Diagnostic test to visualise the biliary tract using X-rays in patients with a Kehr tube by injecting an iodinated contrast agent through the tube.
- Osteoarticular
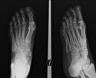
- Limb X-ray

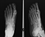
This technique uses X-ray imaging to examine the limbs, especially the bones. Indicated for: trauma, joint infections.
- X-ray arthrography

This X-ray based procedure involves injecting a contrast agent into the joint to detect lesions in certain structures (cartilage, bone, tendons, etc.) by observing the distribution of the contrast agent.
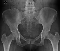
- Pelvis X-ray

This procedure uses X-ray imaging to examine the pelvis, especially the pelvic bones.
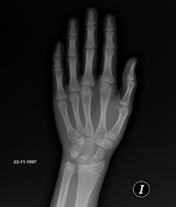
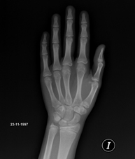
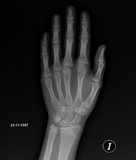
- Bone age X-ray

X-ray examination of the hand to assess the patient’s age based on the development of the bones and to determine if there is a delay or growth greater than that corresponding to the patient’s age.
- Paediatric hip X-ray
- Serial bone X-ray

X-ray screening of different body structures (skull, spine, ribs, pelvis, humerus and femurs) to rule out bone injuries. Indicated for: study of multiple myeloma, monoclonal gammopathies, metastases.
- Sacroiliac X-ray

This procedure uses X-rays to examine the sacroiliac joints and rule out inflammatory, traumatic or degenerative diseases.
- Spinal column
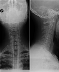
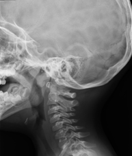
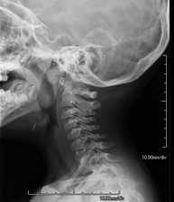
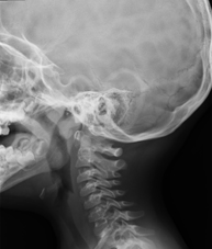
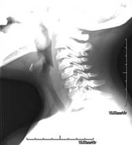
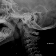
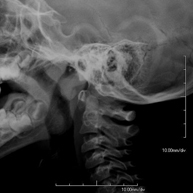
- Cervical spine X-ray

This technique uses X-ray rendered imaging for examining the cervical spine. Indicated for: trauma, cervical pain.
- Thoracic spine X-ray

This technique uses X-ray rendered imaging to examine the thoracic spine. Indicated for: trauma, back pain.
- Lumbar spine X-ray

This technique uses X-ray rendered imaging to examine the lumbar spine. Indicated for: sciatica, trauma, lower back pain.
- Sacrum-coccyx X-ray

This technique uses X-ray rendered imaging to examine the sacrum and coccyx. Indicated for: trauma, sacral or coccygeal pain.
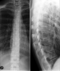
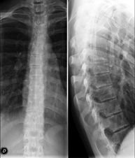
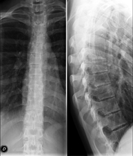
- Spinal teleradiology

This technique uses X-ray rendered imaging to examine the entire spinal column, especially assessing the presence of scoliosis and pelvic dysmetria.
- Paediatrics
- Cavum X-ray

This technique uses X-ray rendered imaging for examining the cavum. Indicated for: respiratory distress, regurgitation, recurrent otitis.
- Bone age X-ray

X-ray examination of the hand to assess the patient’s age based on the development of the bones and to determine if there is a delay or growth greater than that corresponding to the patient’s age.
- Paranasal Sinuses X-ray

This technique uses X-ray rendered imaging for examining the paranasal sinuses. Indicated for: headache, chronic cough.
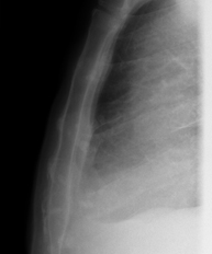
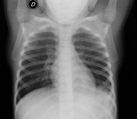
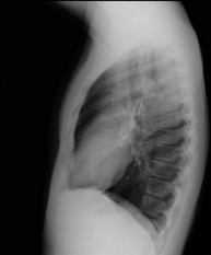
- Chest X-ray

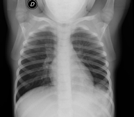
A chest X-ray uses a small dose of radiation to obtain a two-dimensional image of the thoracic cavity and its contents (lungs, heart, mediastinum, etc.). It is one of the most commonly performed medical tests.
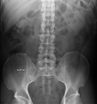
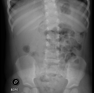
- Abdomen X-ray

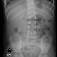
An abdominal X-ray uses a small dose of radiation to obtain a two-dimensional image of the abdomen with its anatomical structures (stomach, small intestine, large intestine, liver, pancreas, kidneys, bladder, bony pelvis, etc.).
- Spinal teleradiology

This technique uses X-ray rendered imaging to examine the entire spinal column, especially assessing the presence of scoliosis and pelvic dysmetria.
- Telemetry (Lower Limbs)

This technique uses X-ray rendered imaging to examine both lower limbs in their entirety, especially assessing the presence of dysmetria between the two.
- Limb X-ray
- Hip X-ray
- Cystography

Serial voiding cystourethrography involves radiological imaging to assess the anatomy and function of the urethra and bladder with the administration of iodinated contrast through a bladder catheter.




































