Angiografía

Método que permite el estudio de estructuras vasculares de todo el organismo

La Angiografía es una técnica de diagnóstico que permite el estudio del sistema vascular: arterias (arteriografía) y venas (flebografía). La angiografía puede ser invasiva (se inyecta un contraste radiológico a través de un catéter alojado en el interior de la arteria o vena, y posteriormente se adquieren radiografías) y no invasiva (angiografía mediante TC o RM, se consigue contrastar las arterias mediante la inyección endovenosa de contraste, sin necesidad de colocar catéteres). Las imágenes que se obtienen proporcionan un mapa detallado del sistema vascular en estudio (ej.: arterias coronarias, arterias cerebrales y del cuello, arteria aorta, arterias de extremidades inferiores, etc.) y su posible patología.

Además de una técnica diagnóstica, la angiografía puede ser un procedimiento intervencionista terapéutico: una vez diagnosticada la patología vascular, esta se puede reparar mediante la colocación de endoprótesis (stents), balones inflables intraarteriales (angioplastias), todo ello sin necesidad de cirugía.

Coronariografía (cateterismo izquierdo)

Procedimiento diagnóstico invasivo percutáneo mediante el cual se valora el estado de las arterias coronarias (morfología, presencia o no de estenosis, grado de severidad de estas, etc.).

Se trata de una técnica que conlleva muy poco riesgo para el paciente y que provoca escasas molestias, siendo muy elevados los beneficios derivados de la información que proporciona.

Los resultados obtenidos mediante la coronariografía son claves a la hora de decidir el tratamiento adecuado para los pacientes con angina de pecho.

Cómo se realiza la coronariografía:

  • Se desinfecta la piel de la ingle o del brazo.
  • Se aplica anestesia local en esta zona para introducir los catéteres en el torrente sanguíneo.
  • Los catéteres avanzan a través de una arteria o una vena hasta el corazón. Este avance es visualizado mediante control radiológico.
  • Los catéteres alcanzan el origen de las dos arterias coronarias y, en este momento, se inyecta un contraste radiológico que "rellena" dichas coronarias, obteniendo un mapa de estas.
  • Se obtienen múltiples imágenes radiológicas en distintas proyecciones, grabando el resultado en un vídeo para su análisis.
  • El paciente puede sentir calor por la inyección de contraste de forma pasajera. En algún caso aparecen molestias en la zona de punción o un pequeño hematoma que se reabsorbe espontáneamente. Raramente suceden arritmias, hemorragias o angina de pecho.
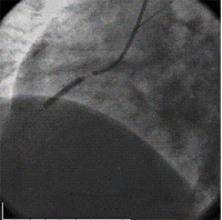
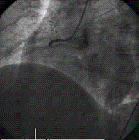
Angio 1Angio 1 Coronariografía_2Coronariografía_2
Visualización arteria coronaria izquierda en proyección oblicua anterior derecha a 25º Visualización arteria coronaria derecha en proyección oblicua anterior izquierda 45º

Cateterismo derecho (estudio hemodinámico)

Procedimiento diagnóstico invasivo percutáneo que proporciona una serie de datos imposibles de obtener mediante otras pruebas diagnósticas:

  • Medidas directas de la presión en las diferentes cavidades del corazón
  • Medir la cantidad de sangre que bombea
  • Observar cómo fluye la sangre por las cavidades cardíacas

Se trata de una técnica que conlleva muy poco riesgo para el paciente y que provoca escasas molestias, siendo muy elevados los beneficios derivados de la información que proporciona.

Cómo se realiza el estudio hemodinámico:

  • Se desinfecta la piel de la ingle o del brazo.
  • Se aplica anestesia local en esta zona para introducir los catéteres en el torrente sanguíneo.
  • Los catéteres avanzan a través de una arteria o una vena hasta el corazón. Este avance es visualizado mediante control radiológico.
  • Se mide la presión en las cavidades cardíacas.
  • Se inyecta un contraste radiológico en el ventrículo izquierdo que "rellena" las cavidades, grabando en vídeo el proceso para su análisis.
  • El paciente puede sentir calor por la inyección de contraste de forma pasajera. En algún caso aparecen molestias en la zona de punción o un pequeño hematoma que se reabsorbe espontáneamente. Raramente suceden arritmias, hemorragias o angina de pecho.

Estudio electrofisiológico

Sirve para diagnosticar los diferentes tipos de arritmias de manera precisa. También ayuda a orientar sobre su tratamiento.

En qué consiste el Estudio Electrofisiológico:

El corazón es un músculo que impulsa la sangre a través de un sistema de vasos, arterias y venas. El corazón posee un sistema eléctrico que se encarga de emitir los impulsos necesarios para marcar el ritmo cardíaco y adaptarlo a las necesidades del organismo. Las alteraciones del sistema eléctrico del corazón producen alteraciones del ritmo o arritmias. Existen arritmias lentas obradicardias cuando el ritmo del corazón se hace más lento de lo normal, y arritmias rápidas o taquicardias cuando el ritmo se hace más rápido. El estudio electrofiosológico es un procedimiento invasivo percutáneo que diagnostica las arritmias cardíacas y orienta sobre su tratamiento.

Cómo se realiza el estudio electrofisiológico:

  • Se desinfecta la piel de la ingle o del brazo.
  • Se aplica anestesia local en esta zona para introducir los catéteres en el torrente sanguíneo.
  • Los catéteres avanzan a través de una arteria o una vena hasta el corazón. Este avance es visualizado mediante control radiológico.
  • Los catéteres sirven para registrar la actividad eléctrica, definir el tipo de arritmia y dónde se localiza. La actividad eléctrica se muestra en unos monitores.
  • A veces es necesario suministrar algún fármaco o aplicar una descarga eléctrica. Para ello se anestesia al paciente.
  • El procedimiento puede durar entre 30 minutos y varias horas.
  • Cuando termina, el paciente tiene que permanecer en reposo varias horas más para evitar complicaciones en la zona de punción.

Qué riesgos tiene esta prueba:

A pesar de que la técnica esté indicada adecuadamente y de que se realice de forma correcta, se pueden presentar efectos indeseables:

  • Leves. Es habitual que el paciente note palpitaciones por la inducción de arritmias. En ocasiones es necesario aplicar un choque eléctrico para resolver algún problema súbito.
  • Graves. Son raras complicaciones como flebitis, trombosis venosa o arterial, o hemorragias. Muy rara la perforación cardíaca con taponamiento cardíaco, o la embolia pulmonar o sistémica. Aunque se trata de complicaciones graves que requieren una actuación urgente.

Ventriculografía

Prueba diagnóstica invasiva que permite estimar el tamaño, grosor y la función contràctil del ventrículo, además de ofrecer una valoración precisa del grado de insuficiencia mitral. La inyección de visualización de cavidades precisa gran cantidad de contraste radiológico en un corto periodo de tiempo.

Angio 3Angio 3

Imagen en Diástole y Sístole del ventrículo

Angioplastia

La angioplastia es un procedimiento percutáneo invasivo que se emplea para "abrir" arterias coronarias que presentan obstrucción o estrechamiento.

Angio 4Angio 4

Un stent (endoprótesis vascular) de la arteria coronaria es un pequeño tubo en malla de metal que se expande dentro de dicha arteria. Un stent a menudo se coloca después de la angioplastia y ayuda a prevenir que la arteria se cierre de nuevo. Un stent liberador de fármaco contiene el medicamento que ayuda a impedir el cierre de la arteria.

Cómo se realiza la angioplastia y colocación de stent coronario

  • Se desinfecta la piel de la ingle o del brazo.
  • Se aplica anestesia local en esta zona para introducir los catéteres en el torrente sanguíneo.
  • Los catéteres avanzan a través de una arteria o una vena hasta el corazón. Este avance es visualizado mediante control radiológico.
  • Los catéteres alcanzan el origen de las dos arterias coronarias y, en este momento, se inyecta un contraste radiológico que "rellena" dichas coronarias, obteniendo un mapa de estas.Angio 5Angio 5
  • Una vez localizada la estrechez (estenosis) de la arteria coronaria, se introduce en esta un catéter con un balón hinchable que dilata la arteria.
  • A continuación, se puede colocar la endoprótesis vascular (stent) que mantendrá abierta la arteria.

Cierre percutáneo de comunicaciones interauriculares (CIA) y Cierre percutáneo de foramen oval permeable (FOP)

Son procedimientos intervencionistas percutáneos utilizados para tratar la patología cardíaca congénita del adulto. Evita el paso de la sangre de la aurícula izquierda a la aurícula derecha. Se hace por vía percutánea y consiste en la implantación de un dispositivo Amplatzer de doble disco que se autoexpande al ser implantado, de tal manera que cierra la comunicación entre ambos discos.

cia1cia1

Dispositivo Amplatzer Cierre CIA - Dispositivo Amplatzer Cierre FOP

cia2cia2

Colocación Cierre Amplatzer para CIA