Mamografía

Técnica que permite detectar las diversas patologías de los tejidos mamarios

Los estudios de Mamografía obtienen imágenes generadas a partir de rayos X de muy baja dosis, permitiendo detectar las diversas patologías de los tejidos mamarios (en especial el cáncer de mama), tanto para cribado (screening) ginecológico como para diagnóstico dirigido. La mamografía puede ser intervencionista con punción de quistes, biopsia estereotáxica, marcaje prequirúrgico y galactografía.

Mamografía digitalizada

mamografiamamografia

La mamografía digitalizada es una técnica innovadora que permite estudiar la mama con una dosis baja de radiación, reduciéndola respecto al empleo de mamografía convencional. La imagen se digitaliza a partir de unos chasis especiales llamados CR. Gracias a estas técnicas de digitalización se obtienen excelentes imágenes, sobre todo en mamas de difícil estudio como las glandulares que se presentan en la mamografía como una mama densa, detectando en este grupo de pacientes mejor las tumoraciones.

PEDIR CITA

Biopsia esterotáxica guiada por mamografía

biopsiabiopsia

La presencia de microcalcificaciones agrupadas puede ser una forma incipiente de cáncer de mama. Para diagnosticar estas pequeñas lesiones se utiliza la biopsia estereotáxica. En este procedimiento se localiza la lesión en la mamografía y un ordenador acoplado al mamógrafo determina con exactitud el punto y profundidad de la punción con un sistema de guía. El médico radiólogo realiza la biopsia, previa anestesia local de la zona, extrayendo varios fragmentos milimétricos de la lesión (de 5 a 10) para que, posteriormente, el médico patólogo realice el diagnóstico del proceso. La duración media del procedimiento es de 20 minutos y presenta ligeras molestias.

PEDIR CITA

Marcaje prequirúrgico con arpón

arponarpon

Lesiones mamarias de pequeño tamaño, no palpables y tributarias de una cirugía limitada, que necesitan de un marcaje previo a la intervención de la zona a estudio mediante la colocación de un arpón. El arpón es un fino alambre con una angulación en su punta (arpón) que se queda fijo en la zona de la mama que se determina. Bajo control mamográfico o ecográfico, el médico radiólogo introduce el arpón en el interior de la lesión, donde queda fijado. Esto permitirá al cirujano localizar con seguridad la lesión. La duración media es de 20 minutos y presenta ligeras molestias. Habitualmente se realiza escasas horas antes de ir al quirófano, aunque se puede realizar el día anterior.

PEDIR CITA

Ecografía mamaria

ecografiaecografia

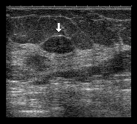
Es un método de imagen en el que las ondas sonoras crean una imagen de los vasos sanguíneos, tejidos y órganos, incluyendo la mama. La ecografía permite evaluar las anomalías visualizadas en la mamografía o en la exploración clínica, diferenciando asimismo las lesiones sólidas y liquidas (quistes).

PEDIR CITA

PAAF (punción) guiada por ecografía

paafpaaf

En la punción aspiración con aguja fina (PAAF) se inserta una aguja fina guiada por ecografía hasta una zona sospechosa de la mama; a continuación se aspira con una jeringa con la que se obtiene escaso material celular que se envía para su estudio citológico. También se utiliza para puncionar y evacuar quistes mamarios y analizar su contenido. Es un procedimiento que dura escasos minutos y produce ligeras molestias.

PEDIR CITA

BAG (biopsia) guiada por ecografía

Biopsia con aguja gruesa o core-biopsia consiste en obtener un cilindro de tejido para estudio histológico. Bajo control ecográfico, y previa anestesia local, se sitúa la aguja en la zona de estudio y, por un sistema de corte automático, se obtienen varios cilindros milimétricos de tejido. Es un procedimiento relativamente corto y escasamente doloroso. Permite obtener una muestra importante para poder realizar un estudio histológico.

PEDIR CITA

Marcaje semillas oro para radioterapia

Consiste en el marcaje de lesiones diagnosticadas de cáncer para indicar exactamente su localización a fin de aplicar el tratamiento radioterápico de manera selectiva para que afecte al tumor con la mínima repercusión sobre los tejidos vecinos. Dicho procedimiento se realiza bajo control ecográfico, localizando el tumor e introduciendo las semillas de oro (de 3 a 4 semillas) en cuatro puntos de la periferia de este.

PEDIR CITA

Marcaje con clip de titanio previo a quimioterapia

marcajemarcaje

En el tratamiento del cáncer de mama se puede realizar quimioterapia previa a la cirugía. Las tumoraciones disminuyen de tamaño, a veces de manera muy acusada, dificultando su posterior localización en la cirugía. La técnica consiste en la colocación de un clip de titanio en el centro de las lesiones diagnosticadas de cáncer. Se realiza bajo control ecográfico, en la mayoría de los casos, o bien por mamografía.

PEDIR CITA

Galactografía

galactgalact

Es una técnica radiológica para estudiar los conductos mamarios, destinada a diagnosticar la existencia de lesiones en su interior, habitualmente pequeños tumores o estenosis. Está indicada en pacientes que presentan secreción por el pezón, cuando afecta únicamente a uno de los orificios del pezón (uniorificial). La técnica consiste en la introducción de contraste, habitualmente unos 2 cc, en el orificio de la secreción inadecuada, previa a la dilatación de este. Posteriormente se realizan una serie de mamografías para el estudio del conducto. Es una prueba minuciosa pero indolora.

PEDIR CITA