Resonancia Magnética
La Resonancia Magnética es una prueba diagnóstica no invasiva (y que no utiliza rayos X), que consiste en la obtención de imágenes de alta definición anatómica con base a la resonancia que se produce en los tejidos sometidos a un campo magnético. Es la técnica de imagen que proporciona una mayor diferenciación entre los diferentes tejidos del organismo, permitiendo obtener información muy precisa sobre la estructura y composición del órgano a analizar.
- Centro Médico Teknon cuenta con la primera Resonancia Magnética Abierta de Alto Campo en Catalunya. Asimismo, también permite realizar la exploración, no solo con el paciente estirado, sino con las articulaciones flexionadas y en movimiento.
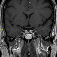
- Neurorradiología
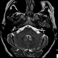
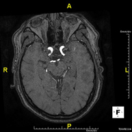
- RM Cerebral (craneal)
Prueba diagnóstica no invasiva que consiste en la obtención de imágenes de alta definición anatómica del cerebro mediante el empleo de un campo electromagnético y ondas de radio (con un emisor y un receptor). No utiliza radiación ionizante. Indicaciones: problemas vasculares, pérdida de memoria, epilepsia, cefalea, malformaciones, sospecha de tumor, meningitis.
- RM Cais
Prueba diagnóstica no invasiva que consiste en la obtención de imágenes de alta definición anatómica del oído interno mediante el empleo de un campo electromagnético y ondas de radio (con un emisor y un receptor). No utiliza radiación ionizante. Indicaciones: problemas auditivos, mareos, vértigos.
- RM Cuello
Prueba diagnóstica no invasiva que consiste en la obtención de imágenes de alta definición anatómica del cuello mediante el empleo de un campo electromagnético y ondas de radio (con un emisor y un receptor). No utiliza radiación ionizante. Indicaciones: sospecha de tumor, infecciones, ganglios.
- Angio-RM intracraneal
Prueba diagnóstica no invasiva que consiste en la obtención de imágenes de alta definición anatómica de las arterias cerebrales mediante el empleo de un campo electromagnético y ondas de radio (con un emisor y un receptor). No utiliza radiación ionizante. En la mayoría de los casos es necesario el empleo de contraste paramagnético (Gadolinio). Permite un estudio angiográfico no invasivo gracias a la inyección de Gadolinio con posterior reconstrucción en 2D y 3D, gracias a estaciones de trabajo especializadas. Indicaciones: malformaciones vasculares, aneurismas de arterias cerebrales, arteriosclerosis.
- Angio-RM troncos supraaórticos
Prueba diagnóstica no invasiva que consiste en la obtención de imágenes de alta definición anatómica de las arterias carótidas y vertebrales a nivel de cuello, mediante el empleo de un campo electromagnético y ondas de radio (con un emisor y un receptor). No utiliza radiación ionizante. En la mayoría de los casos es necesario el empleo de contraste paramagnético (Gadolinio). Permite un estudio angiográfico no invasivo gracias a la inyección de Gadolinio con posterior reconstrucción en 2D y 3D, gracias a estaciones de trabajo especializadas. Indicaciones: problemas circulatorios cerebrales, síncope.
- RM Espectroscopia Cerebral
Prueba diagnóstica no invasiva que consiste en la obtención de imágenes de alta definición anatómica del cerebro mediante el empleo de un campo electromagnético y ondas de radio (con un emisor y un receptor). No utiliza radiación ionizante. Se realiza, posteriormente, una medición cualitativa y cuantitativa de varios metabolitos (sustancias), que permitirán caracterizar las lesiones. Indicaciones: tumores, trastornos metabólicos, infecciones, epilepsia.
- RM Estudio Flujo LCR
Prueba diagnóstica no invasiva que consiste en la obtención de imágenes de alta definición anatómica del sistema ventricular cerebral, mediante el empleo de un campo electromagnético y ondas de radio (con un emisor y un receptor). No utiliza radiación ionizante. Indicaciones: estudio de hidrocefalia y estenosis del acueducto encefálico.
- RM Columna cervical
Prueba diagnóstica no invasiva que consiste en la obtención de imágenes de alta definición anatómica de la columna cervical mediante el empleo de un campo electromagnético y ondas de radio (con un emisor y un receptor). No utiliza radiación ionizante. Indicaciones: traumatismo, degeneración de la columna, hernias.
- RM Columna dorsal
Prueba diagnóstica no invasiva que consiste en la obtención de imágenes de alta definición anatómica de la columna dorsal, mediante el empleo de un campo electromagnético y ondas de radio (con un emisor y un receptor). No utiliza radiación ionizante. Indicaciones: traumatismo, problemas degenerativos, hernias, tumores.
- RM Columna lumbar
Prueba diagnóstica no invasiva que consiste en la obtención de imágenes de alta definición anatómica de la lumbar y sacra, mediante el empleo de un campo electromagnético y ondas de radio (con un emisor y un receptor). No utiliza radiación ionizante. Indicaciones: traumatismos, ciática, hernias discales, tumores, infecciones.
- RM Mielografía
Prueba diagnóstica no invasiva que consiste en la obtención de imágenes de alta definición anatómica de la médula espinal y las raíces nerviosas mediante el empleo de un campo electromagnético y ondas de radio (con un emisor y un receptor), así como secuencias de estudio especiales (mielográficas). No utiliza radiación ionizante. Indicaciones: hernias, compresiones medulares.
- RM Plexo braquial
Prueba diagnóstica no invasiva que consiste en la obtención de imágenes de alta definición anatómica de los nervios que conforman el plexo del brazo mediante el empleo de un campo electromagnético y ondas de radio (con un emisor y un receptor). No utiliza radiación ionizante. Indicaciones: estudio de parálisis de extremidades superiores para planificación quirúrgica, lesiones tumorales.
- RM Columna cervical + dorsal
Prueba diagnóstica no invasiva que consiste en la obtención de imágenes de alta definición anatómica de la columna cervical y dorsal mediante el empleo de un campo electromagnético y ondas de radio (con un emisor y un receptor). No utiliza radiación ionizante. Indicaciones: traumatismo, degeneración de la columna, hernias.
- RM Columna dorsal + lumbar
Prueba diagnóstica no invasiva que consiste en la obtención de imágenes de alta definición anatómica de la columna dorsal y lumbar, mediante el empleo de un campo electromagnético y ondas de radio (con un emisor y un receptor). No utiliza radiación ionizante. Indicaciones: traumatismo, degeneración de la columna, hernias.
- RM Columna completa
Prueba diagnóstica no invasiva que consiste en la obtención de imágenes de alta definición anatómica de la columna cervical, dorsal y lumbar, mediante el empleo de un campo electromagnético y ondas de radio (con un emisor y un receptor). No utiliza radiación ionizante. Indicaciones: detección de metástasis, escoliosis, traumatismo.
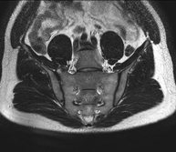
- RM Sacroilíacas
Prueba diagnóstica no invasiva que consiste en la obtención de imágenes de alta definición anatómica de las articulaciones sacroilíacas mediante el empleo de un campo electromagnético y ondas de radio (con un emisor y un receptor). No utiliza radiación ionizante. Indicaciones: dolor sacroilíaco inflamatorio.
- RM ATM (Articulación Temporo-Mandibular)
Prueba diagnóstica no invasiva que consiste en la obtención de imágenes de alta definición anatómica de las articulaciones témporo-mandibulares mediante el empleo de un campo electromagnético y ondas de radio (con un emisor y un receptor). No utiliza radiación ionizante. Se realiza un estudio funcional de las ATM, en las distintas fases de apertura y cierre de la boca. Indicaciones: dolor, bloqueo de la articulación y ruidos durante la masticación.
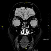
- RM Órbitas
Prueba diagnóstica no invasiva que consiste en la obtención de imágenes de alta definición anatómica de las órbitas mediante el empleo de un campo electromagnético y ondas de radio (con un emisor y un receptor). No utiliza radiación ionizante. Indicaciones: visión doble, traumatismo, sospecha de tumor, hipertiroidismo.
- RM Hipófisis
Prueba diagnóstica no invasiva que consiste en la obtención de imágenes de alta definición anatómica de la hipófisis cerebral mediante el empleo de un campo electromagnético y ondas de radio (con un emisor y un receptor). No utiliza radiación ionizante. Indicaciones: trastorno del crecimiento, trastornos hormonales, tumores.
- RM Laringe
Prueba diagnóstica no invasiva que consiste en la obtención de imágenes de alta definición anatómica de la laringe y las cuerdas vocales mediante el empleo de un campo electromagnético y ondas de radio (con un emisor y un receptor). No utiliza radiación ionizante. Indicaciones: parálisis de las cuerdas vocales, dificultad respiratoria.
- RM Senos paranasales
Prueba diagnóstica no invasiva que consiste en la obtención de imágenes de alta definición anatómica de los senos paranasales mediante el empleo de un campo electromagnético y ondas de radio (con un emisor y un receptor). No utiliza radiación ionizante. Indicaciones: estudio de tumores.
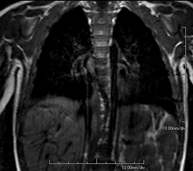
- Tórax
- RM Mediastino
Prueba diagnóstica no invasiva que consiste en la obtención de imágenes de alta definición anatómica del mediastino mediante el empleo de un campo electromagnético y ondas de radio (con un emisor y un receptor). No utiliza radiación ionizante. El mediastino es la parte central de la caja torácica que incluye el timo, los grandes vasos (aorta torácica, vena cava inferior y superior, etc.), el corazón, la tráquea y los bronquios principales, ganglios linfáticos mediastínicos e hiliares, el esófago, etc. Está especialmente indicada en lesiones mediastínicas para diferenciar si son quísticas o sólidas, en el diagnóstico diferencial de las lesiones del mediastino anterior, etc. En ocasiones se deberá emplear contraste paramagnético (Gadolinio) para completar el estudio.
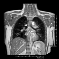
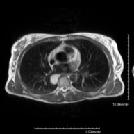
- RM Tórax
Prueba diagnóstica no invasiva que consiste en la obtención de imágenes de alta definición anatómica del tórax mediante el empleo de un campo electromagnético y ondas de radio (con un emisor y un receptor). No utiliza radiación ionizante. Está indicada en aquellas lesiones pulmonares en las que debe descartarse si existe infiltración del mediastino o de la pared torácica, para diferenciar si una lesión torácica es sólida o quística, etc. En ocasiones se deberá emplear contraste paramagnético (Gadolinio) para completar el estudio.
- RM Pared Torácica
Prueba diagnóstica no invasiva que consiste en la obtención de imágenes de alta definición anatómica de la pared torácica mediante el empleo de un campo electromagnético y ondas de radio (con un emisor y un receptor). No utiliza radiación ionizante. Está indicada en el estudio de lesiones de pared torácica: costales, esternales, musculares (pectorales, intercostales, paravertebrales, etc.), en el estudio de dolores costales, etc. En ocasiones se deberá emplear contraste paramagnético (Gadolinio) para completar el estudio.
- Angio-RM Aorta Torácica
Prueba diagnóstica no invasiva que consiste en la obtención de imágenes de alta definición anatómica de la aorta torácica (principal arteria del tórax) mediante el empleo de un campo electromagnético y ondas de radio (con un emisor y un receptor). No utiliza radiación ionizante. En la mayoría de los casos es necesario el empleo de contraste paramagnético (Gadolinio). Permite un estudio angiográfico no invasivo gracias a la inyección de Gadolinio, con posterior reconstrucción en 2D y 3D gracias a estaciones de trabajo especializadas. También incluye el estudio de la válvula aórtica, información imprescindible en el caso que el paciente necesite cirugía. Esta prueba está especialmente indicada en pacientes que requieren tratamiento quirúrgico (como el mapa vascular pre-quirúrgico), en el seguimiento de pacientes con aneurismas de aorta, etc.
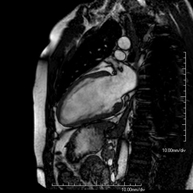
- RM Cardíaca
Es una prueba diagnóstica no invasiva que obtiene información morfológica y funcional del corazón y las estructuras adyacentes; de esta manera se pueden diagnosticar diferentes patologías congénitas y adquiridas, o bien realizar controles en pacientes con patología previa ya conocida. En la gran mayoría de casos es necesario el uso de contraste intravenoso (gadolinio) para completar el estudio, un tipo de contraste que raramente produce reacciones adversas. Durante la prueba, el técnico le pedirá varias veces que aguante la respiración durante 10-15 segundos para obtener las imágenes lo más claras posible. No se necesita preparación previa alguna por parte del paciente. La duración de la prueba es de aproximadamente 45-60 minutos. Está contraindicada en pacientes con marcapasos; el paciente debe avisar si es portador de implantes metálicos y/o clips quirúrgicos.
- RM Cardíaca con estrés miocárdico
Es una prueba diagnóstica no invasiva, que obtiene información morfológica y funcional del corazón y las estructuras adyacentes. De esta manera, se pueden diagnosticar diferentes patologías congénitas y adquiridas. Durante la prueba, el técnico le pedirá varias veces que aguante la respiración durante 10-15 segundos, para así poder obtener las imágenes lo más claras posible. En la gran mayoría de casos es necesario el uso de contraste intravenoso (gadolinio) para completar el estudio, un tipo de contraste que raramente produce reacciones adversas. Además, se introduce un fármaco (Adenosina) por vía intravenosa para ejercer sobre el corazón un efecto similar al que se produce durante el ejercicio físico. Se comparan las imágenes obtenidas en reposo y tras el "estrés" farmacológico para detectar déficits de aporte sanguíneo al ventrículo izquierdo del corazón. La duración de la prueba es de aproximadamente 45-60 minutos. Es necesario que 24 horas antes de la prueba no tome alimentos que contengan cafeína (café, té, chocolate, bebidas de cola, etc.). Está contraindicada en pacientes con marcapasos; el paciente debe avisar si es portador de implantes metálicos y/o clips quirúrgicos.
- Angio RM Venas pulmonares
Prueba diagnóstica no invasiva que consiste en el estudio del patrón de drenaje de las venas pulmonares mediante el empleo de un campo electromagnético y ondas de radio (con un emisor y un receptor) y de contraste paramagnético (Gadolinio). No utiliza radiación ionizante. Está indicada como en el mapa angiográfico previo en pacientes que van a ser sometidos a ablación de las venas pulmonares, así como en su seguimiento para descartar la aparición de estenosis.
- RM Mamas
Prueba diagnóstica no invasiva que consiste en la obtención de imágenes de alta definición anatómica de ambas mamas mediante el empleo de un campo electromagnético y ondas de radio (con un emisor y un receptor). No utiliza radiación ionizante. No requiere ninguna preparación previa. En la mayoría de casos requiere el empleo de contraste paramagnético (Gadolinio), sobre todo si la indicación es la sospecha o estudio de neoplasia mamaria. Esta prueba también está indicada en el estudio de pacientes con prótesis mamarias, ya sea en el seguimiento, para descartar complicaciones asociadas a la prótesis, o bien para descartar la sospecha de neoplasia. En el estudio de prótesis, la RM presenta una alta sensibilidad y especificidad en la detección de silicona (se aplican secuencias específicas que sólo detectan las áreas con silicona) para poder diagnosticar con la máxima fiabilidad posible la presencia de rotura tanto intra como extra-capsular.
- RM Esternón
Prueba diagnóstica no invasiva que consiste en la obtención de imágenes de alta definición anatómica del esternón mediante el empleo de un campo electromagnético y ondas de radio (con un emisor y un receptor). No utiliza radiación ionizante. Está indicada para diferenciar entre lesiones benignas y malignas, en pacientes con dolor en las articulaciones esternocostales, etc. En ocasiones se deberá emplear contraste paramagnético (Gadolinio) para completar el estudio.
- RM Axilar
Prueba diagnóstica no invasiva que consiste en la obtención de imágenes de alta definición anatómica de la axila mediante el empleo de un campo electromagnético y ondas de radio (con un emisor y un receptor). No utiliza radiación ionizante. Está indicada en el estudio de ganglios axilares, para diferenciar entre lesiones quísticas, de contenido hemorrágico (hematomas post-quirúrgicos) y sólidas, etc. En ocasiones se deberá emplear contraste paramagnético (Gadolinio) para completar el estudio.
- Abdomen y pelvis
- RM Abdomen
Prueba diagnóstica no invasiva que consiste en la obtención de imágenes de alta definición anatómica del abdomen mediante el empleo de un campo electromagnético y ondas de radio (con un emisor y un receptor). No utiliza radiación ionizante. En esta exploración se incluyen el hígado, páncreas, bazo, vía biliar, vesícula biliar,Entero-RM glándulas suprarrenales, riñones, aorta abdominal, vena cava inferior, estómago, duodeno,…En ocasiones se deberá emplear contraste paramagnético (Gadolinio) para caracterizar las lesiones.
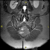
- RM Pelvis femenina
Prueba diagnóstica no invasiva que consiste en la obtención de imágenes de alta definición anatómica de la pelvis mediante el empleo de un campo electromagnético y ondas de radio (con un emisor y un receptor). No utiliza radiación ionizante. Se realiza para estudiar patologías del útero, del ovario, de las trompas y la vagina, ya sean de origen tumoral, inflamatorio o vasculares. Además permite valorar les estructuras adyacentes localizadas en la pelvis, identificando sus alteraciones. A veces requiere el uso de contraste intravenoso (Gadolinio) para caracterizar las lesiones.
- RM Pelvis masculina
Prueba diagnóstica no invasiva que consiste en la obtención de imágenes de alta definición anatómica de la pelvis masculina mediante el empleo de un campo electromagnético y ondas de radio (con un emisor y un receptor). No utiliza radiación ionizante. No requiere de preparación previa. En algunas ocasiones requiere el empleo de contraste paramagnético (Gadolinio) para caracterizar las lesiones. Esta prueba permite valorar órganos como la vejiga urinaria, la unión entre los uréteres y la vejiga, la próstata, las vesículas seminales, la uretra, los huesos de la pelvis, etc.
- RM Hígado
Prueba diagnóstica no invasiva que consiste en la obtención de imágenes de alta definición anatómica del hígado mediante el empleo de un campo electromagnético y ondas de radio (con un emisor y un receptor). No utiliza radiación ionizante. Se realiza para estudiar cualquier lesión localizada en el hígado, y también para valorar enfermedades inflamatorias y de depósito. Normalmente se requiere el uso de contraste paramagnético (Gadolinio) para caracterizar las lesiones. Es necesario realizar la prueba en ayunas (6 horas).
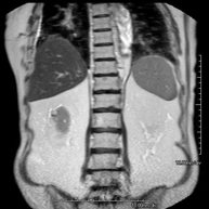
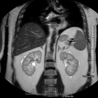
- RM Riñones
Prueba diagnóstica no invasiva que consiste en la obtención de imágenes de alta definición anatómica de ambos riñones mediante el empleo de un campo electromagnético y ondas de radio (con un emisor y un receptor). No utiliza radiación ionizante. Se realiza para estudiar cualquier lesión localizada en ambos riñones. Normalmente se requiere el uso de contraste paramagnético (Gadolinio) para caracterizar las lesiones.
- RM Glándulas Suprarrenales
Prueba diagnóstica no invasiva que consiste en la obtención de imágenes de alta definición anatómica de ambas glándulas suprarrenales mediante el empleo de un campo electromagnético y ondas de radio (con un emisor y un receptor). No utiliza radiación ionizante. No requiere de preparación previa. No requiere el empleo de contraste paramagnético (Gadolinio). Está especialmente indicada en aquellos pacientes en los que es imprescindible diferenciar entre nódulo suprarrenal benigno (el más frecuente, el adenoma suprarrenal) de otras lesiones suprarrenales (tanto benignas - hematomas, angiomiolipomas, etc.- como malignas).
- RM Bazo
Prueba diagnóstica no invasiva que consiste en la obtención de imágenes de alta definición anatómica del bazo mediante el empleo de un campo electromagnético y ondas de radio (con un emisor y un receptor). No utiliza radiación ionizante. Se realiza para estudiar cualquier lesión dependiente del bazo. Normalmente se requiere el uso de contraste paramagnético (Gadolinio) para caracterizar las lesiones.
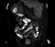
- Colangio-RM (RM Vesícula y vía biliar)
Prueba diagnóstica no invasiva que consiste en la obtención de imágenes de alta definición anatómica de la vía biliar y de la vesícula biliar mediante el empleo de un campo electromagnético y ondas de radio (con un emisor y un receptor). No utiliza radiación ionizante. Requiere unas 6 horas de ayuno previo, ya que al no haber ingerido nada, la bilis acumulada en la vesícula y en el árbol biliar nos permitirá una mejor definición anatómica. Requiere de la obtención de secuencias de Colangio-RM que consisten en obtener imágenes de grosor muy fino (1mm) permitiendo realizar reconstrucciones bi y tridimensionales sin la utilización de contraste paramagnético(Gadolinio). En algunas ocasiones se requiere el uso de contraste paramagnético (Gadolinio) para caracterizar las lesiones. Esta especialmente indicada en pacientes con sospecha de piedras en la vesícula, en pacientes con piedras en la vesícula pero con sospecha de que una de las piedras se ha desplazado por los conductos biliares hacia el intestino, pacientes con síntomas de obstrucción de la vía biliar, como estudio pre-quirúrgico (mapa anatómico del árbol biliar) antes de la cirugía de la vesícula biliar, dolor abdominal de probable origen biliar, etc.
- Colangiopancreato-RM (RM Páncreas, vesícula y vía biliar)
Prueba diagnóstica no invasiva que consiste en la obtención de imágenes de alta definición anatómica de los conductos de drenaje pancreático (principalmente el conducto de Wirsung ), de la vía biliar y de la vesícula biliar mediante el empleo de un campo electromagnético y ondas de radio (con un emisor y un receptor). No utiliza radiación ionizante. Requiere unas 6 horas de ayuno previo, ya que al no haber ingerido nada, la bilis y los jugos pancreáticos se habrán acumulado, permitiendo una mejor definición anatómica de los mismos. En algunas ocasiones se requiere el uso de contraste paramagnétrico (Gadolinio) para caracterizar las lesiones. Está especialmente indicada en pacientes con sospecha de piedras en el conducto de drenaje de la vía biliar o colédoco, enfermedad a nivel de la unión de los conductos biliares y los pancreáticos, pacientes con pancreatitis de repetición, dolor abdominal con probable origen biliar o pancreático, como estudio anatómico pre-quirúrgico, etc.
- RM Páncreas
Prueba diagnóstica no invasiva que consiste en la obtención de imágenes de alta definición anatómica del páncreas mediante el empleo de un campo electromagnético y ondas de radio (con un emisor y un receptor). No utiliza radiación ionizante. Requiere ayuno de 6 horas. Permite un estudio específico pancreático, tanto de la parte glandular como de los conductos de drenaje de los jugos pancreáticos, con una alta definición tisular. También se estudian los vasos pancreáticos y las estructuras adyacentes como son: la vena porta, la arteria y vena esplénicas, la grasa peri-pancreática, la aorta abdominal y la vena cava inferior, etc. En la mayoría de los casos se emplea contraste paramagnético (Gadolinio) para una mejor definición tisular. Esta prueba está especialmente indicada en pacientes con sospecha de lesiones pancreáticas, en pacientes con neoplasia pancreática conocida como estudio o mapa antes de la cirugía, en pacientes con pancreatitis crónica o aguda, etc.
- URO-RM
Prueba diagnóstica no invasiva que consiste en la obtención de imágenes de alta definición anatómica del sistema urinario mediante el empleo de un campo electromagnético y ondas de radio (con un emisor y un receptor). No utiliza radiación ionizante. Requiere el uso de contraste paramagnético (Gadolinio) que se excretará por el sistema urinario y nos permitirá obtener imágenes en 2D y 3D.
- RM Próstata (próstata endorrectal + espectroscopia)
Prueba diagnóstica no invasiva que consiste en la obtención de imágenes de alta definición anatómica de la glándula prostática mediante el empleo de un campo electromagnético y ondas de radio (con un emisor y un receptor). No utiliza radiación ionizante. Se utiliza una bobina endorrectal para obtener imágenes de máxima definición anatómica de la próstata, que permitirá realizar el estudio espectroscópico (estudio a nivel molecular que ayuda a diferenciar las células de origen maligno o tumoral). También se realiza el estudio con contraste paramagnético que aporta una mejor definición tisular. Esta prueba dura unos 40 minutos, durante los cuales el paciente deberá estar lo más quieto posible. Como preparación previa requiere limpieza del colon. Esta prueba está especialmente indicada en aquellos pacientes con sospecha de neoplasia de próstata, con neoplasia de próstata conocida para el estadiaje tumoral, estudio de localización del tumor prostático como guía o mapa para la biopsia, seguimiento de los pacientes con neoplasia de próstata tratados con tratamiento quirúrgico o radioterápico, sospecha de recidiva de la neoplasia de próstata, etc.
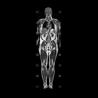
- RM Cuerpo entero (Total body)
Prueba diagnóstica no invasiva que consiste en la obtención de imágenes de alta definición anatómica de todo el cuerpo mediante el empleo de un campo electromagnético y ondas de radio (con un emisor y un receptor). No utiliza radiación ionizante. Es una prueba muy importante en la búsqueda de metástasis en pacientes con neoplasia conocida. No requiere preparación previa. No es necesario el empleo de contraste paramagnético (Gadolinio).
- Angio-RM Aorta abdominal
Prueba diagnóstica no invasiva que consiste en el estudio de la arteria aorta abdominal, obteniendo imágenes de alta definición anatómica mediante el empleo de un campo electromagnético y ondas de radio (con un emisor y un receptor). Es indispensable el uso de contraste paramagnético (Gadolinio). Sin embargo, no utiliza radiación ionizante. La calidad de las imágenes permite realizar reconstrucciones en 2D y 3D. Está indicado en aquellos pacientes con enfermedad vascular (aterosclerosis), estudio de aneurismas, en estudios pre-quirúrgicos de lesiones adyacentes a la aorta abdominal como "mapa" vascular, etc.
- Angio RM Aorta-ilíaca
Prueba diagnóstica no invasiva que consiste en el estudio de la arteria aorta abdominal de las arterias ilíacas, obteniendo imágenes de alta definición anatómica mediante el empleo de un campo electromagnético y ondas de radio (con un emisor y un receptor). Es indispensable el uso de contraste paramagnético (Gadolinio). Sin embargo, no utiliza radiación ionizante. La calidad de las imágenes permite realizar reconstrucciones en 2D y 3D. Esta prueba está especialmente indicada como estudio pre-quirúrgico (mapa vascular) antes de intervenciones percutáneas o quirúrgicas de aorta abdominal y arterias ilíacas, estudio complementario en pacientes con isquemia de miembros inferiores, etc.
- Angio RM Arterial extremidades inferiores
Prueba diagnóstica no invasiva que consiste en el estudio vascular del sector aorto-ilíaco y de los vasos arteriales de ambas extremidades inferiores, obteniendo imágenes de alta definición anatómica mediante el empleo de un campo electromagnético y ondas de radio (con un emisor y un receptor). Es indispensable el uso de contraste paramagnético (Gadolinio). Sin embargo, no utiliza radiación ionizante. La calidad de las imágenes permite realizar reconstrucciones en 2D y 3D. Está especialmente indicado en aquellos pacientes en los que hay sospecha de enfermedad vascular de ambas extremidades, en pacientes con enfermedad vascular de ambas extremidades como el mapa vascular antes del tratamiento (percutáneo o quirúrgico), como el mapa vascular pre-quirúrgico en pacientes con lesiones óseas o musculares que requieran cirugía, etc.
- Angio-RM Arterias renales
Prueba diagnóstica no invasiva que consiste en el estudio de las arterias renales, obteniendo imágenes de alta definición anatómica mediante el empleo de un campo electromagnético y ondas de radio (con un emisor y un receptor). Es indispensable el uso de contraste paramagnético (Gadolinio). Sin embargo, no utiliza radiación ionizante. La calidad de las imágenes permite realizar reconstrucciones en 2D y 3D. Esta prueba está indicada por ejemplo en aquellos pacientes que sufren de HTA refractaria al tratamiento, en pacientes con lesiones renales para tener un mapa "vascular" pre-quirúrgico, etc.
- Entero-RM
Prueba diagnóstica no invasiva que consiste en la obtención de imágenes de alta definición anatómica del intestino mediante el empleo de un campo electromagnético y ondas de radio (con un emisor y un receptor). No utiliza radiación ionizante. Normalmente requiere el empleo de contraste paramagnético (Gadolinio). Está indicada principalmente en el diagnóstico, seguimiento y control de respuesta al tratamiento de los pacientes con Enfermedad de Crohn.
- RM Rectal
Prueba diagnóstica no invasiva que consiste en la obtención de imágenes de alta definición anatómica del recto mediante el empleo de un campo electromagnético y ondas de radio (con un emisor y un receptor). No utiliza radiación ionizante. Normalmente no requiere el empleo de contraste paramagnético (Gadolinio). Está indicada principalmente en el diagnóstico, estadiaje y seguimiento del cáncer de recto.
- RM Pared abdominal
Prueba diagnóstica no invasiva que consiste en la obtención de imágenes de alta definición anatómica de la pared abdominal mediante el empleo de un campo electromagnético y ondas de radio (con un emisor y un receptor). No utiliza radiación ionizante. Está indicada en el estudio de lesiones de pared abdominal, y suelen corresponder a bultos que se nota el paciente o bien dolores en esta región anatómica. En ocasiones se deberá emplear contraste paramagnético (Gadolinio) para completar el estudio.
- RM Escrotal (testicular)
Prueba diagnóstica no invasiva que consiste en la obtención de imágenes de alta definición anatómica de la región escrotal mediante el empleo de un campo electromagnético y ondas de radio (con un emisor y un receptor). No utiliza radiación ionizante. En ocasiones se deberá emplear contraste paramagnético (Gadolinio) para completar el estudio. Se utiliza para el estudio detallado de los testículos, para identificar posibles tumores u otras patologías, además de poder visualizar alteraciones de las estructuras adyacentes.
- RM Peneana
Prueba diagnóstica no invasiva que consiste en la obtención de imágenes de alta definición anatómica de la región peneana mediante el empleo de un campo electromagnético y ondas de radio (con un emisor y un receptor). No utiliza radiación ionizante. En ocasiones se deberá emplear contraste paramagnético (Gadolinio) para completar el estudio. Normalmente se realiza para estudiar patología peneana de origen traumático, además de poder visualizar alteraciones de las estructuras adyacentes.
- Músculo – esquelético
- RM Hombro
Exploración para el estudio de lesiones en tendones, músculos y articulación. Su principal utilidad reside en diagnosticar las lesiones de los tendones del manguito rotador. Tiene una duración aproximada de 20 minutos. No emplea radiación ionizante.
- RM Brazo
Exploración para el estudio de lesiones en tendones, músculos y nervios periféricos. También útil en el estudio de tumores. Tiene una duración aproximada de 20 minutos. No emplea radiación ionizante.
- RM Codo
Exploración para el estudio de lesiones en tendones, músculos y articulación. Muy útil para valorar roturas del tendón del bíceps y la epicondilitis (codo de tenista). Tiene una duración aproximada de 20 minutos. No emplea radiación ionizante.
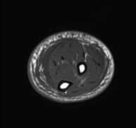
- RM Antebrazo
Exploración para el estudio de lesiones en tendones, músculos y nervios periféricos. Tiene una duración aproximada de 18 minutos. No emplea radiación ionizante.
- RM Muñeca / carpo
Exploración para el estudio de lesiones en tendones músculos y articulación. Muy útil para la valoración de pequeñas fracturas inadvertidas, lesiones de ligamentos, y procesos inflamatorios y degenerativos (artritis y artrosis). Tiene una duración aproximada de 20 minutos. No emplea radiación ionizante.
- RM Mano / dedos
Exploración para el estudio de lesiones en tendones, ligamentos y pequeñas articulaciones. Es la prueba que mejor permite diagnosticar las frecuentes capsulitis por traumatismo, la artrosis y las roturas de tendones. Tiene una duración aproximada de 20 minutos. No emplea radiación ionizante.
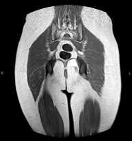
- RM Caderas
Exploración para el estudio de lesiones en tendones, músculos y articulaciones coxofemorales. Permite identificar de forma precoz la artrosis de cadera. Resulta muy útil para detectar las bursitis y la osteopatía dinámica del pubis, frecuente en deportistas. Tiene una duración aproximada de 20 minutos. No emplea radiación ionizante.
- RM Sacroilíacas
Estudio específicamente diseñado para valorar estas articulaciones y su inflamación en los pacientes que sufren Espondilitis Anquilosante. También resulta de utilidad en pacientes con traumatismos y posibles fracturas del sacro y el cóccix. Tiene una duración aproximada de 16 minutos. No emplea radiación ionizante.
- RM Glúteos
Exploración para el estudio de la musculatura y de los tendones que se originan a este nivel, como los tendones isquiotibiales, frecuentemente lesionados en deportistas. Tiene una duración aproximada de 16 minutos. No emplea radiación ionizante.
- RM Muslo
Exploración ideal para el estudio de lesiones en músculos isquiotibiales y cuadriceps, frecuentemente lesionados en deportistas. También permite una buena valoración de tendones y nervios periféricos. Tiene una duración aproximada de 20 minutos. No emplea radiación ionizante.
- RM Rodilla
Exploración para el estudio de lesiones en la articulación, como roturas meniscales y de ligamentos cruzados (unicamente detectables mediante esta prueba), condropatía o desgaste del cartílago y multitud de otras alteraciones derivadas de la actividad deportiva y los cambios degenerativos (osteoartrosis). Tiene una duración aproximada de 18 minutos. No emplea radiación ionizante.
- RM Pierna
Exploración para el estudio de lesiones en tendones, músculos y nervios periféricos. De gran utilidad para el diagnóstico de las roturas fibrilares en gemelos. Tiene una duración aproximada de 18 minutos. No emplea radiación ionizante.
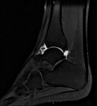
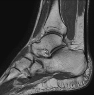
- RM Tobillo
Exploración para el estudio de la articulación y sus frecuentes lesiones de ligamentos (esguinces) así como de la afectación de otras estructuras como el cartílago o el hueso. También es de gran utilidad para diagnosticar alteraciones en el tendón de Aquiles (tendinitis, roturas). Duración de aproximadamente 20 minutos. No emplea radiación ionizante.
- RM Pie
Exploración para el estudio de lesiones en tendones músculos y pequeñas articulaciones. Permite valorar con eficacia las lesiones en el cartílago. También es de mucha utilidad para completar la exploración ecográfica previa. No emplea radiación ionizante. Tiene una duración aproximada de 20 minutos.
- Artro-RM Hombro
Exploración para el estudio de las lesiones en pequeñas estructuras anatómicas de la articulación que suelen lesionarse en pacientes que sufren luxación o inestabilidad crónica. El estudio viene precedido por una inyección de contraste en el interior de la articulación, realizada bajo control de rayos X. La duración global de los dos procedimientos es de 50 minutos.
- Artro-RM Muñeca
Exploración para el estudio de las lesiones en pequeñas estructuras anatómicas de sus articulaciones tales como ligamentos y cartílago. El estudio viene precedido por una inyección de contraste en el interior de una de las articulaciones, realizada bajo control de rayos X. La duración global de los dos procedimientos es de 50 minutos.
- Artro-RM Cadera
Exploración para el estudio de las lesiones en pequeñas estructuras anatómicas de la articulación que suelen lesionarse en pacientes que sufren luxación o pinzamiento (disminución del espacio). El estudio viene precedido por una inyección de contraste en el interior de la articulación, realizada bajo control de rayos X. La duración global de los dos procedimientos es de 50 minutos.
- Artro-RM Rodilla
Exploración para el estudio de las lesiones en pequeñas estructuras anatómicas de la articulación, tales como cartílago y meniscos, principalmente los ya operados. El estudio viene precedido por una inyección de contraste en el interior de la articulación, realizada bajo control de rayos X. La duración global de los dos procedimientos es de 50 minutos.
- Artro-RM Tobillo
Exploración para el estudio de las lesiones en pequeñas estructuras anatómicas de la articulación que suelen lesionarse en pacientes que sufren luxación o inestabilidad crónica. El estudio viene precedido por una inyección de contraste en el interior de la articulación, realizada bajo control de rayos X. Duración global de los dos procedimientos es de 50 minutos.
- Artro-RM Lesión partes blandas
Exploración para el estudio de lesiones en tejidos blandos (piel, tejido celular subcutáneo, músculo, tendones, etc.). El estudio normalmente requiere el empleo de contraste paramagnético (Gadolinio).
- Columna
- RM Columna Cervical
Prueba diagnóstica no invasiva que consiste en la obtención de imágenes de alta definición anatómica de la columna cervical mediante el empleo de un campo electromagnético y ondas de radio (con un emisor y un receptor). No utiliza radiación ionizante. Indicaciones: traumatismo, degeneración de la columna, hernias.
- RM Columna Dorsal
Prueba diagnóstica no invasiva que consiste en la obtención de imágenes de alta definición anatómica de la columna dorsal mediante el empleo de un campo electromagnético y ondas de radio (con un emisor y un receptor). No utiliza radiación ionizante. Indicaciones: traumatismo, problemas degenerativos, hernias, tumores.
- RM Columna Lumbar
Prueba diagnóstica no invasiva que consiste en la obtención de imágenes de alta definición anatómica de la lumbar y sacra mediante el empleo de un campo electromagnético y ondas de radio (con un emisor y un receptor). No utiliza radiación ionizante. Indicaciones: traumatismos, ciática, hernias discales, tumores, infecciones.
- RM Sacro-cóccix
Prueba diagnóstica no invasiva que consiste en la obtención de imágenes de alta definición anatómica del sacro y cóccix mediante el empleo de un campo electromagnético y ondas de radio (con un emisor y un receptor). No utiliza radiación ionizante. Indicaciones: dolor sacrococcígeo, traumatismo.
- RM Columna cervical + dorsal
Prueba diagnóstica no invasiva que consiste en la obtención de imágenes de alta definición anatómica de la columna cervical y dorsal mediante el empleo de un campo electromagnético y ondas de radio (con un emisor y un receptor). No utiliza radiación ionizante. Indicaciones: traumatismo, degeneración de la columna, hernias.
- RM Columna dorsal + lumbar
Prueba diagnóstica no invasiva que consiste en la obtención de imágenes de alta definición anatómica de la columna dorsal y lumbar mediante el empleo de un campo electromagnético y ondas de radio (con un emisor y un receptor). No utiliza radiación ionizante. Indicaciones: traumatismo, degeneración de la columna, hernias.
- RM Columna completa
Prueba diagnóstica no invasiva que consiste en la obtención de imágenes de alta definición anatómica de la columna cervical, dorsal y lumbar, mediante el empleo de un campo electromagnético y ondas de radio (con un emisor y un receptor). No utiliza radiación ionizante. Indicaciones: detección de metástasis, escoliosis, traumatismo.
- RM Mielografía
Prueba diagnóstica no invasiva que consiste en la obtención de imágenes de alta definición anatómica de la médula espinal y las raíces nerviosas, mediante el empleo de un campo electromagnético y ondas de radio (con un emisor y un receptor), así como secuencias de estudio especiales (mielográficas). No utiliza radiación ionizante. Indicaciones: hernias, compresiones medulares.
- Pediatría
- RM Cráneo
Prueba diagnóstica no invasiva que consiste en la obtención de imágenes de alta definición anatómica del cráneo mediante el empleo de un campo electromagnético y ondas de radio (con un emisor y un receptor). No utiliza radiación ionizante. En ocasiones se deberá emplear contraste paramagnético (Gadolinio) para completar el estudio.
- RM Cuello
Prueba diagnóstica no invasiva que consiste en la obtención de imágenes de alta definición anatómica del cuello mediante el empleo de un campo electromagnético y ondas de radio (con un emisor y un receptor). No utiliza radiación ionizante. En ocasiones se deberá emplear contraste paramagnético (Gadolinio) para completar el estudio.
- RM Tórax
Prueba diagnóstica no invasiva que consiste en la obtención de imágenes de alta definición anatómica del tórax mediante el empleo de un campo electromagnético y ondas de radio (con un emisor y un receptor). No utiliza radiación ionizante. Está indicada en aquellas lesiones pulmonares en las que debe descartarse si existe infiltración del mediastino o de la pared torácica, para diferenciar si una lesión torácica es sólida o quística, etc. En ocasiones se deberá emplear contraste paramagnético (Gadolinio) para completar el estudio.
- RM Abdomen
Prueba diagnóstica no invasiva que consiste en la obtención de imágenes de alta definición anatómica del abdomen mediante el empleo de un campo electromagnético y ondas de radio (con un emisor y un receptor). No utiliza radiación ionizante. En esta exploración se incluyen el hígado, páncreas, bazo, vía biliar, vesícula biliar, glándulas suprarrenales, riñones, aorta abdominal, vena cava inferior, estómago, duodeno, etc. En ocasiones se deberá emplear contraste paramagnético (Gadolinio) para caracterizar las lesiones.
- URO-RM
Prueba diagnóstica no invasiva que consiste en la obtención de imágenes de alta definición anatómica del sistema urinario mediante el empleo de un campo electromagnético y ondas de radio (con un emisor y un receptor). No utiliza radiación ionizante. Requiere el uso de contraste paramagnético (Gadolinio) que se excretará por el sistema urinario y nos permitirá obtener imágenes en 2D y 3D.
- RM Bajo sedación
Prueba diagnóstica no invasiva que consiste en la obtención de imágenes de alta definición anatómica de cualquier región del cuerpo mediante el empleo de un campo electromagnético y ondas de radio (con un emisor y un receptor). No utiliza radiación ionizante. Se realiza bajo sedación con la colaboración del equipo de Anestesia. En los pacientes pediátricos es de gran ayuda porque permite realizar exploraciones sin artefactos de movimiento (lactantes, niños de corta edad, etc. en los que la situación clínica lo requiera).
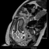
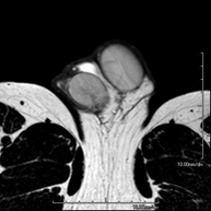
- RM Fetal
Prueba diagnóstica no invasiva que consiste en la obtención de imágenes de alta definición anatómica del feto en la mujer gestante mediante el empleo de un campo electromagnético y ondas de radio (con un emisor y un receptor). No utiliza radiación ionizante. Se puede realizar a partir de la semana 12 de gestación, siendo segura tanto para el feto como para la madre. Se utiliza en el caso de sospechar alguna anomalía congénita morfológica.
- RM Muscular
Prueba diagnóstica no invasiva que consiste en la obtención de imágenes de alta definición anatómica de la musculatura a estudio mediante el empleo de un campo electromagnético y ondas de radio (con un emisor y un receptor). No utiliza radiación ionizante. En escasas ocasiones se requiere el uso de contraste paramagnético (Gadolinio) para mejor definición de las lesiones.
- RM Huesos y articulaciones
Prueba diagnóstica no invasiva que consiste en la obtención de imágenes de alta definición anatómica de huesos y articulaciones mediante el empleo de un campo electromagnético y ondas de radio (con un emisor y un receptor). No utiliza radiación ionizante. En escasas ocasiones se requiere el uso de contraste paramagnético (Gadolinio) para mejor definición de las lesiones.
- Mama
- RM Mamas
Prueba diagnóstica no invasiva que consiste en la obtención de imágenes de alta definición anatómica de ambas mamas mediante el empleo de un campo electromagnético y ondas de radio (con un emisor y un receptor). No utiliza radiación ionizante. No requiere ninguna preparación previa. En la mayoría de casos requiere el empleo de contraste paramagnético (Gadolinio), sobre todo si la indicación es la sospecha o estudio de neoplasia mamaria. Esta prueba también está indicada en el estudio de pacientes con prótesis mamarias, ya sea en el seguimiento, para descartar complicaciones asociadas a la prótesis, o bien, para descartar la sospecha de neoplasia. En el estudio de prótesis la RM presenta una alta sensibilidad y especificidad en la detección de silicona (se aplican secuencias específicas que sólo detectan las áreas con silicona) parar poder diagnosticar con la máxima fiabilidad posible la presencia de roturas tanto intra como extracapsulares.
- Corazón
- RM Cardíaca
Es una prueba diagnóstica no invasiva, que obtiene información morfológica y funcional del corazón y las estructuras adyacentes. De esta manera, se pueden diagnosticar diferentes patologías congénitas y adquiridas, o bien realizar controles en pacientes con patología previa ya conocida. En la gran mayoría de casos es necesario el uso de contraste intravenoso (gadolinio) para completar el estudio, un tipo de contraste que raramente produce reacciones adversas. Durante la prueba, el técnico le pedirá varias veces que aguante la respiración durante 10-15 segundos, para obtener las imágenes lo más claras posible. No se necesita preparación previa alguna por parte del paciente. La duración de la prueba es de aproximadamente 45 - 60 minutos. Está contraindicada en pacientes con marcapasos, y el paciente debe avisar si es portador de implantes metálicos y/o clips quirúrgicos.
- RM Cardíaca con estrés miocárdico
Es una prueba diagnóstica no invasiva, que obtiene información morfológica y funcional del corazón y las estructuras adyacentes. De esta manera, se pueden diagnosticar diferentes patologías congénitas y adquiridas. Durante la prueba, el técnico le pedirá varias veces que aguante la respiración durante 10-15 segundos, para así poder obtener las imágenes lo más claras posible. En la gran mayoría de casos es necesario el uso de contraste intravenoso (gadolinio) para completar el estudio, un tipo de contraste que raramente produce reacciones adversas. Además, se introduce un fármaco (Adenosina) por vía intravenosa, para ejercer sobre el corazón un efecto similar al que se produce durante el ejercicio físico. Se comparan las imágenes obtenidas en reposo y tras el "estrés" farmacológico para detectar déficits de aporte sanguíneo al ventrículo izquierdo del corazón. La duración de la prueba es de aproximadamente 45 - 60 minutos. Es necesario que 24 horas antes de la prueba no tome alimentos que contengan cafeína (café, té, chocolate, bebidas de cola…). Está contraindicada en pacientes con marcapasos, y el paciente debe avisar si es portador de implantes metálicos y/o clips quirúrgicos.
- Angio-RM Venas pulmonares
Prueba diagnóstica no invasiva que consiste en el estudio del patrón de drenaje de las venas pulmonares mediante el empleo de un campo electromagnético y ondas de radio (con un emisor y un receptor) y de contraste paramagnético (Gadolinio). No utiliza radiación ionizante. Está indicada como mapa angiográfico previo en pacientes que van a ser sometidos a ablación de las venas pulmonares, así como en su seguimiento para descartar la aparición de estenosis.
- Estudios vasculares
- Angio-RM Intracraneal
Prueba diagnóstica no invasiva que consiste en la obtención de imágenes de alta definición anatómica de las arterias cerebrales, mediante el empleo de un campo electromagnético y ondas de radio (con un emisor y un receptor). No utiliza radiación ionizante. En la mayoría de los casos es necesario el empleo de contraste paramagnético (Gadolinio). Permite un estudio angiográfico no invasivo gracias a la inyección de Gadolinio con posterior reconstrucción en 2D y 3D, gracias a estaciones de trabajo especializadas. Indicaciones: Malformaciones vasculares, aneurismas de arterias cerebrales, arteriosclerosis.
- Angio-RM Troncos supraaórticos
Prueba diagnóstica no invasiva que consiste en la obtención de imágenes de alta definición anatómica de las arterias carótidas y vertebrales a nivel de cuello, mediante el empleo de un campo electromagnético y ondas de radio (con un emisor y un receptor). No utiliza radiación ionizante. En la mayoría de los casos es necesario el empleo de contraste paramagnético (Gadolinio). Permite un estudio angiográfico no invasivo gracias a la inyección de Gadolinio con posterior reconstrucción en 2D y 3D, gracias a estaciones de trabajo especializadas. Indicaciones: Problemas circulatorios cerebrales, síncope.
- Angio-RM Aorta Torácica
Prueba diagnóstica no invasiva que consiste en la obtención de imágenes de alta definición anatómica de la aorta torácica (principal arteria del tórax) mediante el empleo de un campo electromagnético y ondas de radio (con un emisor y un receptor). No utiliza radiación ionizante. En la mayoría de los casos es necesario el empleo de contraste paramagnético (Gadolinio). Permite un estudio estudio angiográfico no invasivo gracias a la inyección de Gadolinio con posterior reconstrucción en 2D y 3D, gracias a estaciones de trabajo especializadas. También incluye es estudio de la válvula aórtica, información impresecindible en el caso que el paciente necesite cirugía. Esta prueba está especialmente indicada en pacientes que requieren tratamiento quirúrgico ( como mapa vascular pre-quirúrgico), en el seguimiento de pacientes con aneurismas de aorta, etc.
- Angio-RM Aorta Abdominal
Prueba diagnóstica no invasiva que consiste en el estudio de la arteria aorta abdominal, obteniendo imágenes de alta definición anatómica mediante el empleo de un campo electromagnético y ondas de radio (con un emisor y un receptor). Es indispensable el uso de contraste intravenoso paramagnético (gadolinio). Sin embargo, no utiliza radiación ionizante. La calidad de las imágenes permite realizar reconstrucciones en 2D y 3D. Está indicado en aquellos pacientes con enfermedad vascular (aterosclerosis), estudio de aneurismas, en estudios pre-quirúrgicos de lesiones adyacentes a la aorta abdominal como "mapa" vascular…
- Angio-RM Aorta iliaca
Prueba diagnóstica no invasiva que consiste en el estudio de la arteria aorta abdominal, obteniendo imágenes de alta definición anatómica mediante el empleo de un campo electromagnético y ondas de radio (con un emisor y un receptor). Es indispensable el uso de contraste intravenoso paramagnético (gadolinio). Sin embargo, no utiliza radiación ionizante. La calidad de las imágenes permite realizar reconstrucciones en 2D y 3D. Esta prueba está especialmente indicada como estudio pre-quirúrgico (mapa vascular) antes de intervenciones percutáneas o quirúrgicas de aorta abdominal, estudio complementario en pacientes con isquemia de miembros inferiores…
- Angio-RM Arterias renales
Prueba diagnóstica no invasiva que consiste en el estudio de la arteria aorta abdominal, obteniendo imágenes de alta definición anatómica mediante el empleo de un campo electromagnético y ondas de radio (con un emisor y un receptor). Es indispensable el uso de contraste intravenoso paramagnético (gadolinio). Sin embargo, no utiliza radiación ionizante. La calidad de las imágenes permite realizar reconstrucciones en 2D y 3D. Esta prueba está indicada por ejemplo en aquellos pacientes que sufren de HTA refractaria al tratamiento, en pacientes con lesiones renales para tener un mapa "vascular" pre-quirúrgico…
- Angio-RM Arterial extremidades inferiores
Prueba diagnóstica no invasiva que consiste en el estudio de la arteria aorta abdominal, obteniendo imágenes de alta definición anatómica mediante el empleo de un campo electromagnético y ondas de radio (con un emisor y un receptor). Es indispensable el uso de contraste intravenoso paramagnético (gadolinio). Sin embargo, no utiliza radiación ionizante. La calidad de las imágenes permite realizar reconstrucciones en 2D y 3D. Está especialmente indicado en aquellos pacientes en los que hay sospecha de enfermedad vascular de ambas extremidades, en pacientes con enfermedad vascular de ambas extremidades como mapa vascular antes del tratamiento (percutáneo o quirúrgico), como mapa vascular pre-quirúrgico en pacientes con lesiones óseas o musculares que requieran cirugía…
- Angio-RM Lesión partes blandas
Prueba diagnóstica no invasiva que consiste en el estudio de la vascularización de cualquier lesión de partes blandas (piel, músculo, tendón,etc.) obteniendo imágenes de alta definición anatómica mediante el empleo de un campo electromagnético y ondas de radio (con un emisor y un receptor). Es indispensable el uso de contraste intravenoso paramagnético (gadolinio). Sin embargo, no utiliza radiación ionizante. La calidad de las imágenes permite realizar reconstrucciones en 2D y 3D. Está especialmente indicado como mapa vascular pre-quirúrgico en pacientes con lesiones musculares, cutáneas, subcutáneas, etc.
- Angio-RM venas pulmonares
Prueba diagnóstica no invasiva que consiste en el estudio del patrón de drenaje de las venas pulmonares mediante el empleo de un campo electromagnético y ondas de radio (con un emisor y un receptor) y de contraste paramagnético (Gadolinio). No utiliza radiación ionizante. Está indicada como mapa angiográfico previo en pacientes que van a ser sometidos a ablación de las venas pulmonares, así como en su seguimiento para descartar la aparición de estenosis.
- Angio-RM extremidades superiores
Prueba diagnóstica no invasiva que consiste en el estudio de las arterias de la cintura escapular, brazo, antebrazo y mano obteniendo imágenes de alta definición anatómica mediante el empleo de un campo electromagnético y ondas de radio (con un emisor y un receptor). Es indispensable el uso de contraste intravenoso paramagnético (gadolinio). Sin embargo, no utiliza radiación ionizante. La calidad de las imágenes permite realizar reconstrucciones en 2D y 3D. Está especialmente indicado en aquellos pacientes en los que hay sospecha de enfermedad vascular de ambas extremidades, en pacientes con enfermedad vascular de ambas extremidades como mapa vascular antes del tratamiento (percutáneo o quirúrgico), como mapa vascular pre-quirúrgico en pacientes con lesiones óseas o musculares que requieran cirugía…