Tomografía Computarizada Multidetector
Centro Médico Teknon cuenta con un método de última generación que permite la reconstrucción tridimensional del órgano estudiado o bien la obtención del órgano en los tres planos del espacio. La Tomografía Computarizada, mediante un movimiento de rotación, envía emisiones de rayos X sucesivas a uno o varios detectores. Estos datos se integran en un sistema único que los exporta en un "volumen" de imágenes que representan la región explorada. De este modo se obtienen imágenes detalladas, con una resolución de densidad muy superior a la de la radiología convencional.
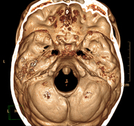
- Neurorradiología
- TC Cráneo
Prueba radiológica que consiste en obtener imágenes del cráneo de alta definición anatómica (tronco cerebral, cerebelo, cerebro, calota craneal, etc.), mediante el empleo de un equipo de TC (Tomografía Computarizada).Indicaciones: traumatismos, cefalea, trastornos de la memoria, pérdida de fuerza súbita en una extremidad o mitad del cuerpo.
- TC Cuello
Prueba radiológica que consiste en obtener imágenes del cuello de alta definición anatómica mediante el empleo de un equipo de TC (Tomografía Computarizada). Indicaciones: estudio de tiroides, control de tumores tratados, estudio de ganglios, infecciones y abscesos.
- TC Laringe
Prueba radiológica que consiste en obtener imágenes de la laringe de alta definición anatómica mediante el empleo de un equipo de TC (Tomografía Computarizada). Indicaciones: afonía súbita o crónica, dificultad respiratoria.
- TC Órbitas
Prueba radiológica que consiste en obtener imágenes de las órbitas de alta definición anatómica mediante el empleo de un equipo de TC (Tomografía Computarizada). Indicaciones: visión doble, infecciones, traumatismos, ojos saltones (hipertiroidismo), malformaciones congénitas.
- TC Hipófisis
Prueba radiológica que consiste en obtener imágenes de la hipófisis cerebral de alta definición anatómica mediante el empleo de un equipo de TC (Tomografía Computarizada). Indicaciones: sospecha de tumor hipofisario, trastorno del crecimiento.
- TC Macizo facial
Prueba radiológica que consiste en obtener imágenes del macizo facial (cara) de alta definición anatómica mediante el empleo de un equipo de TC (Tomografía Computarizada). Indicaciones: tumores, cirugía plástica.
- TC Oídos
Prueba radiológica que consiste en obtener imágenes del oído de alta definición anatómica (conducto auditivo interno y externo, tímpano, huesecillos del oído), mediante el empleo de un equipo de TC (Tomografía Computarizada). Indicaciones: trastornos de la audición, cuadros vertiginosos, mareos, acúfenos (pitidos).
- TC Dental
Prueba radiológica que consiste en obtener imágenes de los huesos maxilares de alta definición anatómica (piezas dentarias, trayecto del nervio dentario), mediante el empleo de un equipo de TC (Tomografía Computarizada). Indicaciones: estudio previo a la extracción dental, estudio previo a implantes, tumores, absceso.
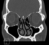
- TC Senos paranasales
Prueba radiológica que consiste en obtener imágenes de los senos paranasales de alta definición anatómica, mediante el empleo de un equipo de TC (Tomografía Computarizada). Indicaciones: cefalea, tos crónica, mucosidad, infecciones faciales.
- TC Peñascos
Prueba radiológica que consiste en obtener imágenes del hueso peñasco del temporal (oído interno, medio y externo) de alta definición anatómica mediante el empleo de un equipo de TC (Tomografía Computarizada). Indicaciones: pérdida de audición súbita o crónica, cuadros vertiginosos, mareo, malformaciones congénitas.
- Angio – TC Troncos Supraaórticos
Prueba radiológica que consiste en obtener imágenes de las arterias carótidas del cuello de alta definición anatómica mediante el empleo de un equipo de TC (Tomografía Computarizada) y la inyección de contraste intravenoso. Posteriormente, las imágenes son reconstruidas en tres dimensiones (3D). Indicaciones: accidente vascular cerebral agudo, accidente vascular transitorio, soplo carotídeo.
- TC Columna cervical
Prueba radiológica que consiste en obtener imágenes de las vertebras cervicales de alta definición anatómica mediante el empleo de un equipo de TC (Tomografía Computarizada). Indicaciones: cervicalgia sin/con irradiación a brazos, traumatismo.
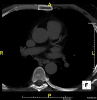
- Tórax
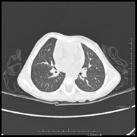
- TC Tórax
Prueba diagnóstica que consiste en obtener imágenes del tórax de alta definición anatómica (pulmones, corazón, mediastino, grandes vasos, caja torácica, etc.) mediante el empleo de un equipo de TC (Tomografía Computarizada). Dichas imágenes se estudian posteriormente en una estación de trabajo que permite reconstrucciones bidimendionales en diferentes planos del espacio y también reconstrucciones 3D (volumétricas). Algunos estudios requieren el empleo de contraste yodado para mejorar la definición de las imágenes.
- Angio-TC Aorta torácica
Prueba diagnóstica que consiste en el estudio de la aorta torácica (principal arteria del tórax) mediante el empleo de un equipo de TC (Tomografía Computarizada). Esta técnica requiere el empleo de contraste yodado, y proporciona imágenes de alta definición anatómica. El uso del TCMD (TC Multidetector) acorta el tiempo de exploración, disminuye la dosis de radiación y mejora la calidad de la imagen. Gracias a los múltiples detectores, en determinados estudios se puede acoplar la obtención de la imagen con el latido cardíaco, técnica que permite el estudio de la válvula aórtica y de la raíz de la arteria aorta (primeros centímetros), donde el latido del corazón suele provocar múltiples artefactos de movimiento.
- Angio-TC Arterias pulmonares (Estudio TEP, Tromboembolismo Pulmonar)
Prueba diagnóstica que consiste en el estudio de las arterias pulmonares mediante el empleo de un equipo de TC (Tomografía Computarizada) obteniendo imágenes bi y tridimensionales. En este estudio es imprescindible el uso de contraste yodado, el cual permitirá una mejor definición anatómica. Esta prueba está principalmente indicada en los casos de sospecha de tromboembolismo pulmonar (TEP) para descartar o confirmar la presencia de coágulos sanguíneos en el interior de las arterias.
- TC Tórax alta resolución
Prueba diagnóstica que consiste en el estudio del pulmón mediante el empleo de un equipo de TC (Tomografía Computarizada) obteniendo imágenes bi y tridimensionales que permiten un estudio anatómico altamente específico del pulmón, pudiendo valorar estructuras anatómicas de tamaño muy pequeño. Es una técnica muy importante en el estudio de los pacientes con sospecha de enfermedad pulmonar.
- TC Esternón
Exploración radiológica que mediante un sistema de rayos X y detectores que giran alrededor del paciente, reconstruyendo las imágenes por ordenador, permite el estudio detallado del esternón.
- TC Clavículas
Exploración radiológica que mediante un sistema de rayos X y detectores que giran alrededor del paciente, reconstruyendo las imágenes por ordenador, permite el estudio detallado de las clavículas.
- TC Parrilla costal
Exploración radiológica que mediante un sistema de rayos X y detectores que giran alrededor del paciente, reconstruyendo las imágenes por ordenador, permite el estudio detallado de la parrilla costal.
- Angio-TC Cardíaco o TC Cardíaco
El angio-TC Cardíaco o Coronariografía no invasiva es una prueba diagnóstica que consiste en el estudio de las arterias del corazón o arterias coronarias mediante el empleo de un equipo de TC Multidetector de última generación y de un contraste yodado, obteniendo imágenes bi y tridimensionales. El TC Multidetector o TCMD permite una adquisición de imágenes tan rápida, que se pueden valorar las arterias coronarias con una alta precisión anatómica: estrechamientos o estenosis, calcificaciones, variantes anatómicas, etc., ya que gracias a su rapidez evita el artefacto que provoca el movimiento constante del corazón (tarda menos de diez segundos en adquirir unas 1000 imágenes). La información obtenida precisa de un tratamiento en estaciones de trabajo con programas especializados en la reconstrucción de las arterias coronarias que permiten valorar el número, la localización y las características de las lesiones. Toda esta información se obtiene de manera no invasiva: solo se requiere la punción de una vena periférica (en el brazo). Es necesario que la frecuencia cardíaca no supere los 75 latidos por minuto, por lo que algunos pacientes deberán realizar un tratamiento previo con un fármaco betabloqueante.
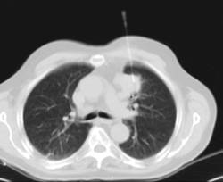
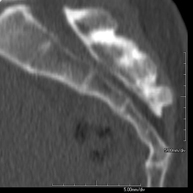
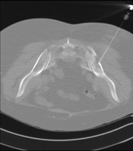
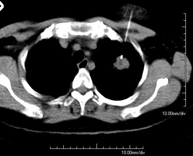
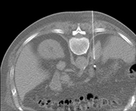
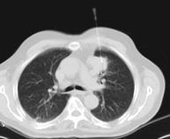
- PAAF (Punción) Tórax guiada por TC
Prueba que consiste en obtener una muestra de tejido de lesiones torácicas, como por ejemplo masas pulmonares, mediastínicas, lesiones óseas, etc. Para ello se administra anestesia local sobre la zona de la punción, la cual se realiza con agujas de fino calibre. Todo el procedimiento se realiza controlado por imágenes obtenidas por Tomografía Computarizada (TC) en varios momentos de la punción, mediante un equipo de Fluoroscopia-TC. Tras la prueba, el paciente permanece unas horas hospitalizado. Es necesario aportar pruebas de coagulación antes de la punción.
- Biopsia tórax guiada por TC
Consiste en obtener una muestra de tejido de una determinada lesión torácica, como por ejemplo del pulmón, del mediastino, del esternón, etc. A veces se realiza bajo sedación, con la ayuda del equipo de anestesia. Se utilizan agujas que permiten la obtención de un cilindro de la lesión a estudiar, que se enviará a Anatomía Patológica para su análisis histológico. Todo el procedimiento se realiza controlado con imágenes obtenidas por Tomografía Computarizada (TC) en varios momentos de la biopsia, mediante un equipo de Fluoroscopia-TC. Tras la prueba, el paciente permanece hospitalizado para controlar su evolución. Es necesario aportar pruebas de coagulación antes de la punción.
- TC Columna Dorsal
Prueba radiológica que consiste en obtener imágenes de las vértebras dorsales de alta definición anatómica mediante el empleo de un equipo de TC (Tomografía Computarizada). Indicaciones: dolor dorsal agudo/crónico, traumatismo, columna desviada.
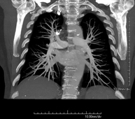
- Broncoscopia virtual
La broncoscopia virtual es una técnica no invasiva que permite la visualización tridimensional y bidimensional de la tráquea y del árbol bronquial mediante la toma secuencial de imágenes captadas con TC Multidetector, obteniendo imágenes bi y tridimensionales. La calidad de las imágenes permite la navegación virtual por el interior de la tráquea y de los bronquios gracias al procesamiento en estaciones de trabajo especializadas.
- Score cálcico
Prueba diagnóstica que consiste en la medición de la cantidad de calcio que puede haber acumulado en las placas de ateroesclerosis de las arterias coronarias mediante el empleo de un equipo de TC Multidetector de última generación. Es una prueba no invasiva que no requiere contraste yodado. No necesita preparación previa. La detección de las placas calcificadas se realiza en una estación de trabajo especializada que permite la cuantificación exacta de la cantidad de calcio dando una puntuación, que es lo que en la práctica médica se llama Score Cálcico.
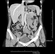
- Abdomen y pelvis
- TC Abdomen
Prueba diagnóstica que consiste en obtener imágenes del abdomen de alta definición anatómica (hígado, vesícula biliar, vía biliar, páncreas, bazo, estómago, intestinos, riñones, estructuras vasculares, vejiga, útero y ovarios, etc.) mediante el empleo de un equipo de TC (Tomografía Computarizada). Dichas imágenes se estudian posteriormente en una estación de trabajo que permite reconstrucciones bidimensionales en diferentes planos del espacio, y también reconstrucciones 3D (volumétricas). La mayoría de estudios requieren el empleo de contraste yodado para mejorar la definición de las imágenes.
- TC Pelvis
Prueba diagnóstica que consiste en obtener imágenes bi y tridimensionales de la pelvis de alta definición anatómica (estructuras óseas, estructuras vasculares, vejiga, útero y ovarios, próstata y vesículas seminales, uréteres, etc.) mediante el empleo de un equipo de TC (Tomografía Computarizada). La mayoría de estudios requieren el empleo de contraste yodado.
- TC Abdominopélvico
Prueba diagnóstica que consiste en obtener imágenes bi y tridimensionales del abdomen y de la pelvis de alta definición anatómica (estructuras óseas, estructuras vasculares, hígado, páncreas, vesícula biliar, riñones, glándulas suprarrenales, bazo, intestino delgado y grueso, vejiga, útero y ovarios, próstata y vesículas seminales, uréteres, etc.) mediante el empleo de un equipo de TC (Tomografía Computarizada). La mayoría de estudios requieren el empleo de contraste yodado.
- TC Hígado
Prueba diagnóstica que consiste en obtener imágenes bi y tridimensionales del hígado de alta definición anatómica mediante el empleo de un equipo de TC (Tomografía Computarizada). Es necesario realizar el estudio antes y después del empleo de contraste yodado, realizándolo en diferentes "fases hepáticas" para valorar correctamente todas las estructuras: parénquima hepático, vía biliar intra y extrahepática, vesícula biliar, vasos hepáticos (arteria hepática, vena porta y venas suprahepáticas) y estructuras adyacentes (estómago, duodeno, vena cava inferior, glándula pancreática, etc.). Esta prueba está especialmente indicada en el estudio de lesiones hepáticas, el estudio de hepatopatías crónicas, etc.
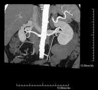
- TC Riñones
Prueba diagnóstica que consiste en obtener imágenes bi y tridimensionales del riñón y del sistema urinario de alta definición anatómica mediante el empleo de un equipo de TC (Tomografía Computarizada). Se realiza el estudio antes y después del empleo de contraste yodado en diferentes "fases renales" para una valoración funcional y anatómica (parénquima renal, uréteres, vejiga urinaria, arterias y venas renales, etc.), así como las estructuras adyacentes (vena cava inferior, aorta abdominal, hígado, bazo, etc.). Está especialmente indicado ante la sospecha de lesiones renales, en pacientes con sangre en orina o hematuria, etc.
- TC Urológico
Prueba diagnóstica que consiste en obtener imágenes bi y tridimensionales del riñón y del sistema urinario de alta definición anatómica mediante el empleo de un equipo de TC (Tomografía Computarizada). Está especialmente indicado en aquellos pacientes en los que se sospecha que hay piedras en el riñón, infecciones urinarias de repetición, etc. El estudio se realiza sin emplear contraste yodado (solo en determinados casos será necesario completar el estudio con contraste yodado).
- TC Páncreas
Prueba diagnóstica que consiste en obtener imágenes bi y tridimensionales del páncreas de alta definición anatómica mediante el empleo de un equipo de TC (Tomografía Computarizada). Se realiza el estudio antes y después del empleo de contraste yodado en diferentes "fases pancreáticas" para poder valorar todas las estructuras (parénquima pancreático, conducto pancreático o de Wirsung, unión bilio-pancreática, colédoco, arterias pancreáticas, arteria y vena esplénicas, duodeno, etc.). Está especialmente indicado ante la sospecha de lesión pancreática, en pacientes con pancreatitis aguda o crónica, etc.
- Angio-TC aorta abdominal
Prueba diagnóstica no invasiva que consiste en el estudio de la arteria aorta abdominal obteniendo imágenes de alta definición anatómica mediante el empleo de un equipo de TC (Tomografía Computarizada) y de contraste yodado. La calidad de las imágenes permite realizar reconstrucciones en 2D y 3D gracias a estaciones de trabajo especializadas en el estudio arterial. Está indicado en aquellos pacientes con enfermedad vascular (aterosclerosis), en aneurismas de aorta, en pacientes con dolor abdominal de posible origen vascular, en estudios pre-quirúrgicos de lesiones adyacentes a la aorta abdominal como "mapa" vascular, etc. La información obtenida de forma no invasiva es indispensable para los pacientes que requieren tratamiento percutáneo o quirúrgico. En aquellos pacientes que solo requieren un seguimiento de las lesiones vasculares, esta técnica es la técnica no invasiva de elección junto con la angio-RM.
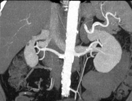
- Angio-TC arterias renales
Prueba diagnóstica no invasiva que consiste en el estudio de las arterias renales obteniendo imágenes de alta definición anatómica mediante el empleo de un equipo de TC (Tomografía Computarizada) y de contraste yodado. La calidad de las imágenes permite realizar reconstrucciones en 2D y 3D gracias a estaciones de trabajo especializadas en el estudio arterial. Esta prueba está indicada, por ejemplo, en aquellos pacientes que sufren de HTA refractaria al tratamiento, en pacientes con lesiones renales para tener un mapa "vascular" pre-quirúrgico, etc.
- Angio-TC aorto-ilíaco
Prueba diagnóstica no invasiva que consiste en el estudio de las arterias ilíacas y la aorta abdominal obteniendo imágenes de alta definición anatómica mediante el empleo de un equipo de TC (Tomografía Computarizada) y de contraste yodado. La calidad de las imágenes permite realizar reconstrucciones en 2D y 3D gracias a estaciones de trabajo especializadas en el estudio arterial. Esta prueba está especialmente indicada como estudio pre-quirúrgico (mapa vascular) antes de intervenciones percutáneas o quirúrgicas de aorta abdominal, como el estudio complementario en pacientes con isquemia de miembros inferiores, etc.
- Colonoscopia virtual
La colonoscopia virtual es una técnica no invasiva que permite la visualización tridimensional y bidimensional del intestino grueso o del colon mediante la toma secuencial de imágenes captadas con TC Multidetector de última generación. La calidad de las imágenes permite la navegación virtual por el interior del recto y del colon gracias al procesamiento en estaciones de trabajo especializadas. La preparación de la prueba consiste en realizar una dieta baja en fibra tres días antes de la prueba (para limpiar el colon y el recto) y de la ingestión de contraste oral yodado el día antes de la prueba (para marcar las heces y poder distinguirlas correctamente de las posibles lesiones colónicas). A diferencia de la fibrocolonoscopia, no se requiere sedación ni soluciones evacuantes. La prueba se realiza en la sala del TC donde, a través de un pequeño tubo flexible, se insufla aire para distender el colon.
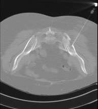
- PAAF (Punción) Abdominal guiada por TC
Consiste en obtener una muestra de tejido de una determinada lesión localizada en la cavidad abdominal. Para ello se administra anestesia local sobre la zona de la punción, la cual se realiza con agujas de fino calibre. Todo el procedimiento se realiza controlado con imágenes obtenidas por Tomografía Computarizada (TC) en varios momentos de la punción, mediante el uso de un equipo de Fluroscopia-TC. Tras la prueba, el paciente permanece unas horas hospitalizado para controlar su evolución. Es necesario aportar pruebas de coagulación antes de la punción.
- Biopsia abdominal guiada por TC
Consiste en obtener una muestra de tejido de una determinada lesión localizada en la cavidad abdominal. En ocasiones se realiza bajo sedación, con la ayuda del equipo de anestesia. Se utilizan agujas que permiten la obtención de un cilindro de la lesión a estudiar, que se enviará a Anatomía Patológica para su análisis histológico. Todo el procedimiento se realiza controlado con imágenes obtenidas por Tomografía Computarizada (TC) en varios momentos de la biopsia, mediante el empleo de Fluoroscopia-TC. Tras la prueba, el paciente permanece hospitalizado para controlar su evolución. Es necesario aportar pruebas de coagulación antes de la punción.
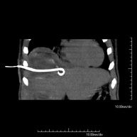
- Drenaje abdominal guiado por TC (abscesos, colecciones)
Consiste en colocar un catéter de drenaje sobre una colección líquida localizada en la cavidad abdominal, con la intención de vaciar el máximo posible dicha colección. El paciente deberá mantener el drenaje algunos días, normalmente hasta que no sea productivo. A menudo se realiza bajo sedación, con la ayuda del equipo de anestesia. Todo el procedimiento se realiza controlado con imágenes obtenidas por Tomografía Computarizada (TC) en varios momentos de la prueba mediante el empleo de Fluoroscopia-TC. Tras la prueba, el paciente permanece hospitalizado. Es necesario aportar pruebas de coagulación antes de la prueba.
- Osteoarticular
- TC Hombro
Exploración radiológica que mediante un sistema de rayos X y detectores que giran alrededor del paciente, reconstruyendo las imágenes por ordenador (TC Multidetector), permite el estudio de huesos, músculos y articulaciones del hombro.
- TC Codo
Exploración radiológica que mediante un sistema de rayos X y detectores que giran alrededor del paciente, reconstruyendo las imágenes por ordenador (TC Multidetector), permite el estudio de huesos, músculos y articulaciones del codo.
- TC Mano – muñeca
Exploración radiológica que mediante un sistema de rayos X y detectores que giran alrededor del paciente, reconstruyendo las imágenes por ordenador (TC Multidetector), permite el estudio de huesos, músculos y articulaciones de mano y muñeca.
- TC Pelvis ósea
Exploración radiológica que mediante un sistema de rayos X y detectores que giran alrededor del paciente, reconstruyendo las imágenes por ordenador (TC Multidetector), permite el estudio de huesos, músculos y articulaciones de la pelvis.
- TC Caderas
Exploración radiológica que mediante un sistema de rayos X y detectores que giran alrededor del paciente, reconstruyendo las imágenes por ordenador (TC Multidetector), permite el estudio de huesos, músculos y articulaciones de la cadera.
- TC Sacroilíacas
Exploración radiológica que mediante un sistema de rayos X y detectores que giran alrededor del paciente, reconstruyendo las imágenes por ordenador (TC Multidetector), permite el estudio de las articulaciones sacroiliacas, y descartar enfermedades inflamatorias, traumáticas o degenerativas.
- TC Rodillas
Exploración radiológica que mediante un sistema de rayos X y detectores que giran alrededor del paciente, reconstruyendo las imágenes por ordenador (TC Multidetector), permite el estudio de huesos, músculos y articulaciones de la rodilla.
- TC Tobillo-pie
Exploración radiológica que mediante un sistema de rayos X y detectores que giran alrededor del paciente, reconstruyendo las imágenes por ordenador (TC Multidetector), permite el estudio de huesos, músculos y articulaciones del tobillo y el pie.
- TC Estudio rotacional EEII (Báscula Rotuliana, distancia TA-GT)
Exploración radiológica que mediante un sistema de rayos X y detectores que giran alrededor del paciente, reconstruyendo las imágenes por ordenador (TC Multidetector), permite calcular una serie de mediciones a nivel de caderas, rodillas y tobillos para solucionar problemas de rotación y angulación de las extremidades inferiores.
- TC Huesos largos
Exploración radiológica que mediante un sistema de rayos X y detectores que giran alrededor del paciente, reconstruyendo las imágenes por ordenador (TC Multidetector), permite el estudio de huesos largos (tibia, peroné, fémur, húmero, radio y cúbito).
- Biopsia ósea guiada por TC
Consiste en obtener una muestra de tejido de una determinada lesión ósea. En ocasiones se realiza bajo sedación, con la ayuda del equipo de anestesia. Se utilizan agujas que permiten la obtención de un cilindro de la lesión a estudiar, que se enviará a Anatomía Patológica para su análisis histológico. Todo el procedimiento se realiza controlado con imágenes obtenidas por Tomografía Computarizada (TC) en varios momentos de la biopsia, mediante el empleo de Fluoroscopia-TC. Tras la prueba, el paciente permanece hospitalizado para controlar su evolución. Es necesario aportar pruebas de coagulación antes de la punción.
- Angio-TC arterial extremidades inferiores
Prueba diagnóstica no invasiva que consiste en el estudio vascular del sector aorto-ilíaco y de los vasos arteriales de ambas extremidades inferiores obteniendo imágenes de alta definición anatómica mediante el empleo de un equipo de TC Multidetector de última generación y de contraste yodado. La calidad de las imágenes permite realizar reconstrucciones en 2D y 3D gracias a estaciones de trabajo especializadas en el estudio arterial.
- Columna
- TC Columna cervical
Prueba radiológica que consiste en obtener imágenes de las vértebras cervicales de alta definición anatómica mediante el empleo de un equipo de TC (Tomografía Computarizada). Indicaciones: dolor cervical sin/con irradiación a brazos, traumatismo, malformaciones congénitas.
- TC Columna dorsal
Prueba radiológica que consiste en obtener imágenes de las vértebras dorsales de alta definición anatómica mediante el empleo de un equipo de TC (Tomografía Computarizada). Indicaciones: dolor dorsal, estudio de desviaciones de la columna, traumatismo.
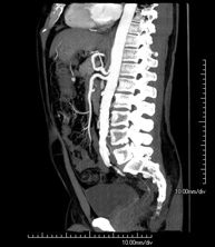
- TC Columna lumbar
Prueba radiológica que consiste en obtener imágenes de las vértebras lumbares de alta definición anatómica mediante el empleo de un equipo de TC (Tomografía Computarizada). Indicaciones: dolor lumbar sin/con irradiación a piernas, dificultad para caminar, traumatismo.
- TC Sacro-cóccix
- Pediatría
- TC Cráneo
Prueba radiológica que consiste en obtener imágenes del cráneo de alta definición anatómica mediante el empleo de un equipo de TC (Tomografía Computarizada). Indicaciones: cefalea, estudio de tumores, traumatismo craneal.
- TC Cuello
Prueba radiológica que consiste en obtener imágenes del cuello de alta definición anatómica mediante el empleo de un equipo de TC (Tomografía Computarizada). Indicaciones: infecciones, abscesos, estudio ganglios.
- TC Tórax
Prueba diagnóstica que consiste en obtener imágenes del tórax de alta definición anatómica (pulmones, corazón, mediastino, grades vasos, caja torácica, etc.) mediante el empleo de un equipo de TC (Tomografía Computarizada). Dichas imágenes se estudian posteriormente en una estación de trabajo que permite reconstrucciones bidimendionales en diferentes planos del espacio, y también reconstrucciones tridimensionales (3D: volumétricas). Algunos estudios requieren el empleo de contraste yodado para mejorar la definición de las imágenes.
- TC Abdomen
Prueba diagnóstica que consiste en obtener imágenes del abdomen de alta definición anatómica (hígado, vesícula biliar, vía biliar, páncreas, bazo, estómago, intestinos, riñones, estructuras vasculares, vejiga, útero y ovarios, etc.) mediante el empleo de un equipo de TC (Tomografía Computarizada). Dichas imágenes se estudian posteriormente en una estación de trabajo que permite reconstrucciones bidimensionales en diferentes planos del espacio, y también reconstrucciones 3D (volumétricas). La mayoría de estudios requieren el empleo de contraste yodado para mejorar la definición de las imágenes.
- TC Estudio rotacional EEII
Exploración radiológica que mediante un sistema de rayos X y detectores que giran alrededor del paciente, reconstruyendo las imágenes por ordenador, permite calcular una serie de mediciones a nivel de caderas, rodillas y tobillos para solucionar problemas de rotación y angulación de las extremidades inferiores.
- TC Óseo
Prueba radiológica que consiste en obtener imágenes de los huesos de alta definición anatómica, mediante el empleo de un equipo de TC (Tomografía Computarizada). Indicaciones: traumatismo, estudio de lesiones focales óseas.
- TC Bajo Sedación
Exploración radiológica que mediante un sistema de rayos X y detectores que giran alrededor del paciente, reconstruyendo las imágenes por ordenador, permite el estudio de cualquier región del cuerpo. Se realiza bajo sedación, con la colaboración del equipo de Anestesia. En los pacientes pediátricos es de gran ayuda porque permite realizar exploraciones sin falsas imágenes de movimiento (lactantes, niños de corta edad, etc. en los que la situación clínica lo requiera).
- Estudios Vasculares
- Angio-TC-Troncos Supraaórticos
Prueba radiológica que consiste en obtener imágenes de las arterias carótidas del cuello de alta definición anatómica mediante el empleo de un equipo de TC (Tomografía Computarizada) y la inyección de contraste intravenoso. Posteriormente, las imágenes son reconstruidas en tres dimensiones (3D). Indicaciones: accidente vascular cerebral agudo, accidente vascular transitorio, soplo carotídeo.
- Angio-TC Aorta torácica
Prueba diagnóstica que consiste en el estudio de la aorta torácica (principal arteria del tórax) mediante el empleo de un equipo de TC (Tomografía Computarizada). Esta técnica proporciona imágenes de alta definición anatómica. En la mayoría de los casos es necesario el empleo de contraste yodado. El uso del TCMD (TC Multidetector) acorta el tiempo de exploración, disminuye la dosis de radiación y mejora la calidad de imagen. Gracias a los múltiples detectores en determinados estudios se puede acoplar la obtención de la imagen con el latido cardíaco, técnica que permite el estudio de la válvula aórtica y de la raíz de la arteria aorta (primeros centímetros), donde el latido del corazón suele provocar falsas imágenes a causa del movimiento.
- Angio-TC Arterias pulmonares (Estudio Tep, Tromboembolismo Pulmonar)
Prueba diagnóstica que consiste en el estudio de las arterias pulmonares mediante el empleo de un equipo de TC (Tomografía Computarizada) obteniendo imágenes bi y tridimensionales. En este estudio es imprescindible el uso de contraste yodado, que permitirá una mejor definición anatómica. Esta prueba está principalmente indicada en los casos de sospecha de tromboembolismo pulmonar (TEP) para descartar o confirmar la presencia de coágulos sanguíneos en el interior de las arterias.
- Angio-TC Cardíaco
El angioTC Cardíaco o Coronariografía no invasiva es una prueba diagnóstica que consiste en el estudio de las arterias del corazón o arterias coronarias mediante el empleo de un equipo de TC Multidetector de última generación (64 coronas o filas de detectores) y de contraste yodado, obteniendo imágenes bi y tridimensionales. El TC Multidetector 64 o TCMD64 permite una adquisición de imágenes tan rápida, que se pueden valorar las arterias coronarias con una alta precisión anatómica (estrechamientos o estenosis, calcificaciones, variantes anatómicas, etc.), ya que, gracias a su rapidez, evita el artefacto que provoca el movimiento constante del corazón (tarda menos de diez segundos en adquirir unas 1000 imágenes). La información obtenida precisa de un tratamiento en estaciones de trabajo con programas especializados en la reconstrucción de las arterias coronarias que permiten valorar el número, la localización y las características de las lesiones. Toda esta información se obtiene de manera no invasiva: sólo se requiere la punción de una vena periférica (en el brazo). Es necesario que la frecuencia cardíaca no supere los 75 latidos por minuto, por lo que algunos pacientes deberán realizar un tratamiento previo con un fármaco betabloqueante.
- Angio-TC aorta abdominal
Prueba diagnóstica no invasiva que consiste en el estudio de la arteria aorta abdominal obteniendo imágenes de alta definición anatómica mediante el empleo de un equipo de TC (Tomografía Computarizada) y de contraste yodado. La calidad de las imágenes permite realizar reconstrucciones en 2D y 3D gracias a estaciones de trabajo especializadas en el estudio arterial. Está indicado en aquellos pacientes con enfermedad vascular (aterosclerosis), en aneurismas de aorta, en pacientes con dolor abdominal de posible origen vascular, en estudios pre-quirúrgicos de lesiones adyacentes a la aorta abdominal como el "mapa" vascular, etc. La información obtenida de forma no invasiva es indispensable para los pacientes que requieren tratamiento percutáneo o quirúrgico. En aquellos pacientes que solo requieren seguimiento de las lesiones vasculares, esta técnica es la técnica no invasiva de elección junto con la angio-RM.
- Angio-TC Arterias renales
Prueba diagnóstica no invasiva que consiste en el estudio de las arterias renales obteniendo imágenes de alta definición anatómica mediante el empleo de un equipo de TC (Tomografía Computarizada) y de contraste yodado. La calidad de las imágenes permite realizar reconstrucciones en 2D y 3D gracias a estaciones de trabajo especializadas en el estudio arterial. Esta prueba está indicada, por ejemplo, en aquellos pacientes que sufren de HTA refractaria al tratamiento, en pacientes con lesiones renales para tener un mapa "vascular" pre-quirúrgico, etc.
- Angio-TC Aorto-ilíaco
Prueba diagnóstica no invasiva que consiste en el estudio de las arterias ilíacas y la aorta abdominal obteniendo imágenes de alta definición anatómica mediante el empleo de un equipo de TC (Tomografía Computarizada) y de contraste yodado. La calidad de las imágenes permite realizar reconstrucciones en 2D y 3D gracias a estaciones de trabajo especializadas en el estudio arterial. Esta prueba está especialmente indicada como estudio pre-quirúrgico (mapa vascular) antes de intervenciones percutáneas o quirúrgicas de aorta abdominal, estudio complementario en pacientes con isquemia de miembros inferiores, etc.
- Angio-TC Arterial extremidades inferiores
Prueba diagnóstica no invasiva que consiste en el estudio vascular del sector aorto-ilíaco y de los vasos arteriales de ambas extremidades inferiores obteniendo imágenes de alta definición anatómica, mediante el empleo de un equipo de TC Multidetector de última generación y de contraste yodado. La calidad de las imágenes permite realizar reconstrucciones en 2D y 3D gracias a estaciones de trabajo especializadas en el estudio arterial.
- Intervencionismo guiado por TC
- PAAF (Punción) Tórax guiada por TC
Prueba que consiste en obtener una muestra de tejido de lesiones torácicas, como por ejemplo masas pulmonares, mediastínicas, lesiones óseas, etc. Para ello se administra anestesia local sobre la zona de la punción, la cual se realiza con agujas de fino calibre. Todo el procedimiento se realiza controlado con imágenes obtenidas por Tomografía Computarizada (TC) en varios momentos de la punción, mediante el empleo de Fluoroscopia-TC. Tras la prueba, el paciente permanece unas horas hospitalizado. Es necesario aportar pruebas de coagulación antes de la punción.
- Biopsia tórax guiada por TC
Consiste en obtener una muestra de tejido de una determinada lesión torácica, como por ejemplo del pulmón, del mediastino, del esternón, etc. A veces se realiza bajo sedación, con la ayuda del equipo de anestesia. Se utilizan agujas que permiten la obtención de un cilindro de la lesión a estudiar, que se enviará a Anatomía Patológica para su análisis histológico. Todo el procedimiento se realiza controlado con imágenes obtenidas por Tomografía Computarizada (TC) en varios momentos de la biopsia, mediante el empleo de Fluoroscopia-TC. Tras la prueba, el paciente permanece hospitalizado para controlar su evolución. Es necesario aportar pruebas de coagulación antes de la punción.
- PAAF (punción) abdominal guiada por TC
Consiste en obtener una muestra de tejido de una determinada lesión localizada en la cavidad abdominal. Para ello se administra anestesia local sobre la zona de la punción, la cual se realiza con agujas de fino calibre. Todo el procedimiento se realiza controlado con imágenes obtenidas por Tomografía Computarizada (TC) en varios momentos de la punción, mediante el empleo de Fluoroscopia-TC. Tras la prueba, el paciente permanece unas horas hospitalizado para controlar su evolución. Es necesario aportar pruebas de coagulación antes de la prueba.
- Biopsia abdominal guiada por TC
Consiste en obtener una muestra de tejido de una determinada lesión localizada en la cavidad abdominal. A veces se realiza bajo sedación, con la ayuda del equipo de anestesia. Se utilizan agujas que permiten la obtención de un cilindro de la lesión a estudiar que se enviará a Anatomía Patológica para su análisis histológico. Todo el procedimiento se realiza controlado con imágenes obtenidas por Tomografía Computarizada (TC) en varios momentos de la biopsia, mediante el empleo de Fluoroscopia-TC. Tras la prueba, el paciente permanece hospitalizado para controlar su evolución. Es necesario aportar pruebas de coagulación antes de la punción.
- Drenaje abdominal guiado por TC
Consiste en colocar un catéter de drenaje sobre una colección líquida localizada en la cavidad abdominal, con la intención de vaciar el máximo posible dicha colección. El paciente deberá mantener el drenaje algunos días, normalmente hasta que no sea productivo. A menudo se realiza bajo sedación, con la ayuda del equipo de anestesia. Todo el procedimiento se realiza controlado con imágenes obtenidas por Tomografía Computarizada (TC) en varios momentos de la prueba, mediante el empleo de Fluoroscopia-TC. Tras la prueba, el paciente permanece hospitalizado. Es necesario aportar pruebas de coagulación antes de la prueba.
- Biopsia ósea guiada por TC
Exploración invasiva que permite obtener muestras de tejido óseo, principalmente procedente de tumoraciones. El TC es utilizado para seleccionar la zona de punción y guiar las agujas de biopsia hasta la tumoración. Se aplica anestesia local y ocasionalmente sedación. La duración del procedimiento dependerá de la dificultad técnica de este.
- Marcaje semillas oro para radioterapia
Procedimiento invasivo que mediante punción con material y agujas específicas, permite la colocación de un marcador de oro (de escasos milímetros) junto a lesiones tumorales localizadas en los órganos internos. Con posterioridad, estas partículas facilitarán la aplicación de radioterapia en las lesiones, siendo esta más efectiva y menos nociva para los tejidos sanos. El procedimiento se realiza guiado por Fluoroscopia-TC. Se aplica anestesia local y ocasionalmente sedación. La duración del procedimiento variará según la dificultad técnica del este.