

Centro Médico Teknonen/health-centers/centro-medico-teknon- Centro Médico Teknonen/health-centers/centro-medico-teknon
Centro Médico Teknonen/health-centers/centro-medico-teknon
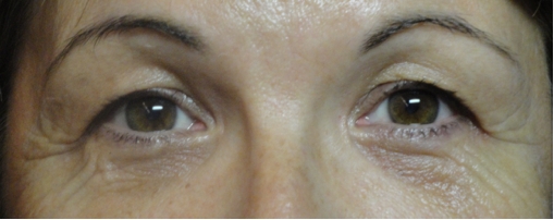
What is dermatochalasis?
Dermatochalasis consists of an excess skin of the upper or lower eyelid producing excessive skin folds. It can affect men and women and it is usually due to the aging process.
Unfortunately, over time and by hereditary factors, both upper and lower eyelids may develop "bags" because the skin is stretched, the muscles weaken and the fatty tissue around the eyeball becomes more evident.

Symptoms
It is usually of cosmetic concern, in some cases it can cause a feeling of heaviness and when it is severe in upper eyelid, it can obstruct the visual field.
Management
It is usually treated with blepharoplasty. Blepharoplasty reduces bags of lower eyelid and removes excess skin of upper eyelids.
This surgery is usually done for aesthetic reasons. It is also an effective way to improve vision in eldery, whose dropping upper eyelids affect the upper visual field.
Infiltration is a very useful complement in the aesthetic improvement of many patients, works relaxing the periocular muscles, preventing the formation of expression lines (wrinkles between the eyebrows, crow’s feet and forehead). It works in dynamic wrinkles, those produced by the movements. The length varies for each person on average 4 to 6 months.


































