

- Centro Médico Teknonen/health-centers/centro-medico-teknon
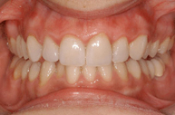
Una de las grandes preocupaciones del público actual es la apariencia estética, por lo que la odontología debe dar satisfacción a las lógicas aspiraciones de nuestros pacientes en lo referente a la apariencia de su sonrisa.
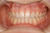
No hay un único odontólogo especializado en este apartado, sino que para conseguir una sonrisa perfecta casi siempre debemos participar varios especialistas.
Disponemos de un amplio arsenal de posibilidades para conseguir excelentes resultados:
- Blanqueamiento dental
- Composites estéticos
- Carillas o facetas de porcelana
- Otros materiales de nueva generación
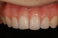
La apariencia estética va unida a una buena función del sistema, por lo que a veces se deben aplicar técnicas de ortodoncia conservadora, prótesis o cirugía para conseguir los mejores resultados.
Para nosotros, en realidad, no existe una odontología estética, sino que toda odontología debe ser estética.
También debemos remarcar que no concebimos la estética sin la función.

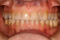
Antes

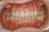
Después

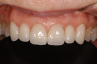
Antes

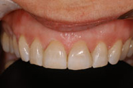
Después

Después

Después

Antes

Después

Después

Después




Antes
Después
Antes
Después


Después
Después

Antes

Después

Final

Antes

Después

Antes

Después

Antes

Después

Final

Antes

Después

Antes

Después

Antes

Después

Antes

Durante el tratamiento de ortodoncia

Final


































