

- Centro Médico Teknon

La odontopediatría es la rama de la odontología que, se encarga del tratamiento odontológico integral desde la infancia hasta la adolescencia.
El odontopediatra se encarga de mantener sanos los dientes comúnmente llamados "de leche", ya que es muy importante que éstos se mantengan en boca hasta que el diente se caiga naturalmente. Los dientes de leche no solo tienen una función masticatoria, si no también estética y de fonación, por eso es de vital importancia que si aparece algún problema en ellos, se intervenga inmediatamente.
En odontopediatría es imprescindible crear un "hogar dental" que el niño se sienta a gusto y con confianza en la consulta, tratando de evitar traumas y miedos innecesarios. Es tarea del odontopediatra crear ese ambiente para que el niño pueda venir sin esos temores tan asociados a nuestra área.
La primera visita al odontopediatra debe ser dentro del primer año de vida coincidiendo con la salida del primer diente. Después se realizarán revisiones cada 6 meses.

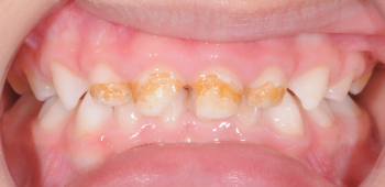
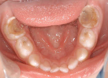
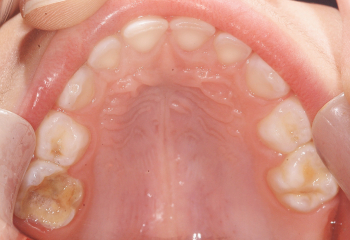
Antes:




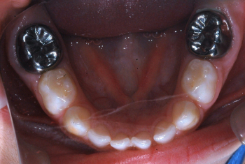
Después:
































































