

FACULTATIVO ESPECIALISTA CIR. ORTOPÉDICA Y TRAUMATOLOGÍATraumatología y Cirugía OrtopédicaCentro Médico Teknonen/health-centers/centro-medico-teknon
FACULTATIVO ESPECIALISTA MEDICINA FÍSICA Y REHABILITACIÓNMedicina de la Educación Física y el DeporteCentro Médico Teknonen/health-centers/centro-medico-teknon
FACULTATIVO ESPECIALISTA CIR. ORTOPÉDICA Y TRAUMATOLOGÍATraumatología y Cirugía OrtopédicaCentro Médico Teknonen/health-centers/centro-medico-teknon
FACULTATIVO ESPECIALISTA CIR. ORTOPÉDICA Y TRAUMATOLOGÍATraumatología y Cirugía OrtopédicaCentro Médico Teknonen/health-centers/centro-medico-teknon
FACULTATIVO ESPECIALISTA CIR. ORTOPÉDICA Y TRAUMATOLOGÍATraumatología y Cirugía OrtopédicaCentro Médico Teknonen/health-centers/centro-medico-teknon
FACULTATIVO ESPECIALISTA CIR. ORTOPÉDICA Y TRAUMATOLOGÍATraumatología y Cirugía OrtopédicaCentro Médico Teknonen/health-centers/centro-medico-teknon
- Fracturas de clavícula
- Luxaciones acromioclaviculares
- Luxaciones glenohumerales
- Fracturas del hombro
- Fracturas del brazo
- Luxación de codo
- Fracturas del antebrazo
- Fracturas de la muñeca
- Fracturas de la mano
- Fracturas de la cadera
- Fracturas de la fémur
- Fracturas de la rodilla
- Fracturas de la pierna
- Fracturas del tobillo
- Fracturas del pie
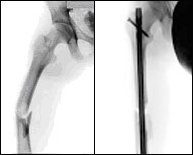
Nos referimos en este apartado a la porción media del fémur, a su diáfisis. Las fracturas en esta localización se asocian frecuentemente a traumatismos de alta energía como accidentes de tráfico o caídas desde grandes alturas y suelen asociarse a fracturas a otros niveles constituyendo lo que denominamos politraumatismo. Se han descrito también fracturas de estrés en atletas de competición después de sobreesfuerzo repetitivo pero son muy poco frecuentes. El tratamiento es eminentemente quirúrgico proponiéndose un tutor intraóseo colocado a través deuna mínima incisión (menos de 3 centímetros) con la finalidad de quitar el dolor, restituir la longitud del muslo e iniciar cuanto antes el movimiento.
La articulación de la rodilla compromete los extremos inferior del fémur y superior de la tibia. Además se encuentran implicadas las estructuras ligamento-meniscales de esta región lo que hace de su tratamientouno de los más complejos del esqueleto. Las lesiones óseas a este nivel son producidas por traumatismos de alta energía, desde accidentes de tráfico y caídas desde gran altura hasta deportes como fútbol, rugby, artes marciales, deportes de motor, esquí, etc. El enorme abanico de lesiones a este nivel requiere de un estudio detallado antes de tomar decisiones de tratamiento. Los últimos avances en técnica artroscópica han permitido la realización del tratamiento a través de heridas de mínimo tamaño por las que se introduce una cámara óptica permitiendo la reparación de la lesión bajo visión directa en una pantalla.
La región de la piernaengloba las diáfisis o zonas centrales de la tibia y el peroné. Son las fracturas de huesos largos (fémur, tibia, húmero, cúbito y radio) más frecuentes en el adulto y pueden producirse por un impacto directo (accidentes de tráfico, caídas desde gran altura, deportes de contacto o de motor) o por un mecanismo indirecto (torsión de la pierna en deportes de salto o sobrecarga repetida en bailarines y reclutas). El tratamiento varía en función del desplazamiento y el grado de afectación de la musculatura y piel circundante. El avance en las técnicas quirúrgicas ha permitido, cuando la indicación lo requiere, el empleo de una cirugía mínimamente invasiva querepara grandes fracturas a través de mínimas heridas disminuyendo la agresión al tejido y favoreciendo la rápida incorporación a la actividad diaria.
La articulación del tobillo une la pierna con el pie y su funcionamiento permitela normal deambulación que realizamos. Están implicados los tercios inferiores de la tibia y el peroné que articulan con el astrágalo del pie. Es una región anatómica muy susceptible de recibir lesiones fundamentalmente de dos tipos; alta energía en accidentes laborales o de tráfico produciendo las temibles fracturas de pilón tibial o de baja energía en el ámbito deportivo por mecanismos de torsión produciendo las fracturas maleolares. Las fracturas de pilón tibial se acompañan de gran afectación de los tejidos circundantes al hueso por lo que requieren un tratamiento muy meticuloso de estos tejidos antes de resolver la lesión ósea. En las fracturas maleolares, características de deportes de salto y giro como fútbol, basket, monopatín, volley, artes marciales, etc., la lesión se produce a nivel del mecanismo de pinza conocido como mortaja tibioastragalina que impide en condiciones normales que el pie se separe de la pierna.Las lesiones del tobillo, como en general de todas las articulaciones del esqueleto, requiere una reconstrucción anatómica para evitar la rigidez articular por lo que se realizará una cirugía rápida y mínimamente invasiva para reincorporar al paciente lo antes posible a su actividad previa.
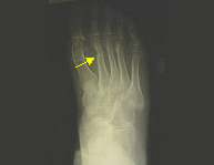
La región del pie es un conjunto de huesos y articulaciones con numerosas funciones entre las que destaca el soporte de todo nuestro peso y la deambulación (caminar). Es una región sometida a carga constantemente salvo cuando no caminamos, es por ello que su rápida recuperación es indispensable para poder desplazarnos de un lugar a otro. El pie a su vez se divide en tres partes: retropié, mediopié y antepié y cada región sufre sus lesiones características. En el deporte las lesiones del pie son muy frecuentes debido a la implicación de éste en la mayor parte de ellos. Por lo general las fracturas del pie responden correctamente al tratamiento conservador reservando la actitud quirúrgica a aquellas lesiones complejas irreparables sin cirugía.



































