Jump to content

Gine_3generaciones_reducida_ok
Consultorio
Dr Guillermo BassolsDr Guillermo Bassols
Bassols Dorr GuillermoGynecology and Obstetrics
Gynecological cancer

Cáncer de ovario (ecografía)

The main cause of death among women is still due to cardiovascular diseases, although from 35 to 75 years of age gynecological cancer is the most frequent cause.

Among the types of gynecological cancer responsible for the death of women in the developed countries, breast cancer occupies second place (after lung cancer), while ovarian cancer occupies fifth place.

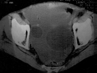
Cáncer de ovario (resonancia magnética nuclear)The incidence of uterine neck cancer remains constant at all ages in women, whereas ovarian cancer and endometrial cancer increase considerably during the perimenopausal years, and are by far the most frequent after the age of 50.

At present, mortality rates due to ovarian cancer clearly exceed combined mortality due to cancer of the uterine neck and endometrial cancer.

Surgery, chemotherapy and radiotherapy have so far constituted the three main methods in the treatment of gynecological cancer.




  • Surgery

    Cure can frequently be achieved by the broad and systematic surgical extirpation of a gynecological tumour.

    The classical, open techniques are still those most currently and widely used, but endoscopic surgery is being employed with increasing frequency in the surgical treatment of gynecological cancer.

    Chemotherapy

    Chemotherapy enables drugs capable of selectively destroying malignant cells to be administered.

    In order to apply chemotherapy it is necessary to know the type of tumour to be treated, its extension and rate of progress, as well as any previous treatment, the age of the patient, state of health and record of any other illness.

    It is essential to be able to monitor and treat very carefully any possible adverse effects arising from treatment with chemotherapy.

    Radiotherapy

    The use of radiotherapy is important in the treatment of some primary and recurrent malignant gynecological lesions.

    Its curative effect is widely demonstrated in cancer of the uterine neck and endometrial cancer. In patients with ovarian cancer or breast cancer, post-operative coadjuvant radiotherapy can also prove to be an effective cure. Its function in vaginal cancer or cancer of the vulva is lately becoming more extended.

    Either alone or in combination, these three methods of treatment are the basis for cure of gynecological cancers.

Pedir cita