

They are benign tumours of the uterus and affect more than 30% of all women.
They are also known as fibromyomas, fibroids or leiomyomas.
Their symptoms depend on their location in the uterus and require different types of treatment.
Which myomas require treatment?
- Those whose size exerts pressure on neighbouring organs, such as the bladder, thereby causing discomfort
- Those with rapid growth
- Those causing uterine hemorrhaging
- Those causing difficulties in carrying a pregnancy to term
- How can they be diagnosed?
Myoma diagnosis can be peformed with a simple examination of the pelvis together with abdominal and vaginal examination.
An ultrasound (abdominal or transvaginal), performed as part of a routine gynecological check-up, will be able to establish the presence of a uterine myoma and indicate its diameter and location.
As regards submucous myomas (those which emerge inside the uterina cavity), the best method of diagnosis is hysteroscopy.
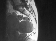
On occasion, CAT scans and magnetic resonance can assist both diagnosis and the way the condition may be treated surgically.
- Treatment of myomas
Many forms of treatment exist, among which we may mention:
- Medical treatment. Substances exist that are able to reduce the size of myomas and the bleeding they cause: these are called GnRH agonists. Their administration produces a temporary menopause whose duration is as long as the effect of these substances last.
- Surgical treatment. Intracavitary and submucous myomas (which are found in the uterine cavity) can be removed by resection through the vagina: this is hysteroscopic resection of the myomas. Intramural myomas (in the lining of the uterus) can be removed by abdominal surgery: this procedure is known as myomectomy, either by open procedures or by laparoscopic techniques. They can also be destroyed by the application of laparoscopic laser or by electrocoagulation: this technique is known as myolisis. Uterineartery embolization, when indicated, would be the least aggressive technique in comparison with surgical techniques. Finally, the only solution is sometimes the extirpation of the uterus itself: this procedure is known as hysterectomy.