Tomografia Computaritzada Multidetector
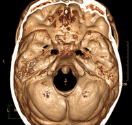
Hospital Quirón Teknon disposa d'un mètode d'última generació que permet la reconstrucció tridimensional de l'òrgan estudiat o bé l'obtenció de l'òrgan en els tres plans de l'espai. La Tomografia Computaritzada, mitjançant un moviment de rotació, envia emissions de raigs X successives a un o diversos detectors. Aquestes dades s'integren en un sistema únic que les exporta en un "volum" d'imatges que representen la regió explorada. D'aquesta manera s'obtenen imatges detallades, amb una resolució de densitat molt superior a la de la radiologia convencional.
- Neurorradiologia
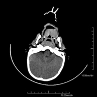
- TC Crani
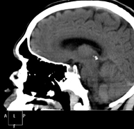
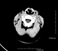
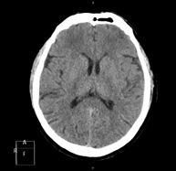
Prova radiològica que consisteix en obtenir imatges del crani d'alta definició anatòmica (tronc cerebral, cerebel, cervell, calota cranial, etc. ) mitjançant l'ús d'un equip de TC (Tomografia Computeritzada). Indicacions: traumatismes, cefalea, trastorns de la memòria, pèrdua de força sobtada en una extremitat o meitat del cos. - TC Coll
Prova radiològica que consisteix en obtenir imatges del coll d'alta definició anatòmica, mitjançant l'ús d'un equip de TC (Tomografia Computeritzada). Indicacions: estudi de la tiroide, control de tumors tractats, estudi de ganglis, infeccions i abscessos. - TC Laringe
Prova radiològica que consisteix en obtenir imatges de la laringe d'alta definició anatòmica, mitjançant l'ús d'un equip de TC (Tomografia Computeritzada). Indicacions: afonia sobtada o crònica, dificultat respiratòria. - TC Òrbites
Prova radiològica que consisteix en obtenir imatges de les òrbites d'alta definició anatòmica, mitjançant l'ús d'un equip de TC (Tomografia Computeritzada). Indicacions: visió doble, infeccions, traumatismes, ulls sortint (hipertiroidisme), malformacions congènites. - TC Hipòfisi
Prova radiològica que consisteix en obtenir imatges de la hipòfisi cerebral d'alta definició anatòmica, mitjançant l'ús d'un equip de TC (Tomografia Computeritzada). Indicacions: sospita de tumor hipofisari, trastorn del creixement. - TC Massís facial

Prova radiològica que consisteix en obtenir imatges del massís facial (cara) d'alta definició anatòmica, mitjançant l'ús d'un equip de TC (Tomografia Computeritzada). Indicacions: tumors, cirurgia plàstica. - TC Oïda
Prova radiològica que consisteix en obtenir imatges de la oïda d'alta definició anatòmica, (conducte auditiu intern i extern, timpà, ossets de l'oïda) mitjançant l'ús d'un equip de TC (Tomografia Computeritzada). Indicacions: trastorns de l'audició, quadres vertiginosos, mareigs, acúfens (xiulets). - TC Dental
Prova radiològica que consisteix en obtenir imatges dels ossos maxil·lars d'alta definició anatòmica (peces dentals, trajecte del nervi dentari), mitjançant l'ús d'un equip de TC (Tomografia Computeritzada). Indicacions: estudi previ a l'extracció dental, estudi previ als implants, tumors, abscés. - TC Sins paranasals
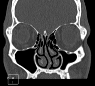
Prova radiològica que consisteix en obtenir imatges dels sins paranasals d'alta definició anatòmica, mitjançant l'ús d'un equip de TC (Tomografia Computeritzada). Indicacions: cefalea, tos crònica, mucositat, infeccions facials. - TC Penyal
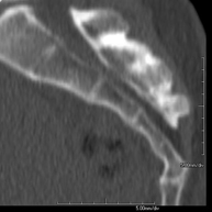
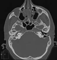
Prova radiològica que consisteix en obtenir imatges de l'os penyal del temporal (oïda interna, mitjana i externa) d'alta definició anatòmica, mitjançant l'ús d'un equip de TC (Tomografia Computeritzada). Indicacions: pèrdua d'audició sobtada o crònica, quadres vertiginosos, mareig, malformacions congènites. - Angio-TC Troncs Supraaòrtics
Prova radiològica que consisteix en obtenir imatges de les artèries caròtides del coll d'alta definició anatòmica, mitjançant l'ús d'un equip de TC (Tomografia Computeritzada) i la injecció de contrast intravenós. Posteriorment, les imatges són reconstruïdes en tres dimensions (3D). Indicacions: accident vascular cerebral agut, accident vascular transitori, buf cardíac. - TC Columna cervical
Prova radiològica que consisteix en obtenir imatges de les cervicals vertebrals d'alta definició anatòmica, mitjançant l'ús d'un equip de TC (Tomografia Computeritzada). Indicacions: cervicàlgia amb/ sense irradiació a braços, traumatisme.
- Tòrax
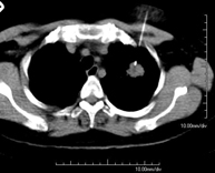
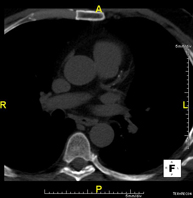
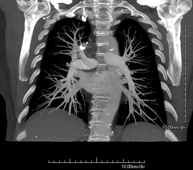
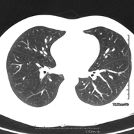
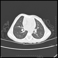
- TC Tòrax
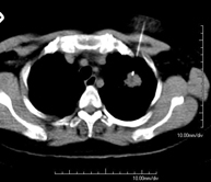
Prova diagnòstica que consisteix en obtenir imatges del tòrax d'alta definició anatòmica (pulmons, cor, mediastí, grans vasos, caixa toràcica, etc. ) mitjançant l'ús d'un equip de TC (Tomografia Computeritzada). Aquestes imatges s'estudien posteriorment en una estació de treball que permet reconstruccions bidimensionals en diferents plànols de l'espai i també reconstruccions 3D (volumètriques). Alguns estudis requereixen l'ús de contrast iodat per millorar la definició de les imatges. - Angio –TC Aorta toràcica
Prova diagnòstica que consisteix en l'estudi de l'aorta toràcica (principal artèria del tòrax) mitjançant l'ús d'un equip de TC (Tomografia Computeritzada). Aquesta tècnica requereix l'ús de contrast iodat i proporciona imatges d'alta definició. L'ús del TCMD (TC multidetector) escurça el temps d'exploració, disminueix la dosi de radiació i millora la qualitat d'imatge. Gràcies als múltiples detectors en determinats estudis es pot acoblar l'obtenció de la imatge amb el batec cardíac, tècnica que permet l'estudi de la vàlvula aòrtica i de l'arrel de l'artèria aorta (primers centímetres) on el batec del cor acostuma a provocar múltiples artefactes de moviment. - Angio –TC Artèries pulmonars (estudi TEP, Tromboembòlia pulmonar)
Prova diagnòstica que consisteix en l'estudi de les artèries pulmonars mitjançant l'ús d'un equip de TC (Tomografia Computeritzada) per obtenir imatges bi i tridimensionals. En aquest estudi és imprescindible l'ús de contrast iodat que permet una millor definició anatòmica. Aquesta prova està principalment indicada en els casos de sospita de tromboembòlia pulmonar (TEP) per descartar o confirmar la presència de coàguls sanguinis a l'interior de les artèries. - TC Tòrax d'alta resolució
Prova diagnòstica que consisteix en l'estudi del pulmó mitjançant l'ús d'un equip de TC (Tomografia Computeritzada) per obtenir imatges bi i tridimensional que permeten un estudi anatòmic altament específic del pulmó per poder valorar les estructures anatòmiques de petites dimensions. És una tècnica molt important en l'estudi dels pacients amb sospita de malaltia pulmonar. - TC d'estern
Exploració radiològica que mitjançant un sistema de raigs X i detectors que giren al voltant del pacient i que reconstrueixen les imatges per ordinador, permet l'estudi detallat de l'estern. - TC Clavícules
Exploració radiològica que mitjançant un sistema de raigs X i detectors que giren al voltant del pacient i que reconstrueixen les imatges per ordinador, permet l'estudi detallat de les clavícules. - TC Parrilla costal
Exploració radiològica que mitjançant un sistema de raigs X i detectors que giren al voltant del pacient i que reconstrueixen les imatges per ordinador, permet l'estudi detallat detalla de la Parrilla. - Angio- TC Cardíac o TC Cardíac
L'angio TC Cardíac o Coronariografia no invasiva és una prova diagnòstica que consisteix en l'estudi de les artèries del cor o artèries coronàries mitjançant l'ús d'un equip TC Multidetector d'última generació i de contrast iodat, i l'obtenció d'imatges bi i tridimensionals. El TC Multidetector o TCMD permet una adquisició d'imatges tan ràpida que es poden valorar les artèries coronàries amb alta precisió anatòmica: estrenyiment o estenosi, calcificacions, variants anatòmiques, etc. ja que gràcies a la seva rapidesa evita l'artefacte que provoca el moviment constant del cor (triga menys de deu segons en adquirir unes 1000 imatges). La informació obtinguda precisa un tractament en estacions de treball amb programes especialitzats en la reconstrucció de les artèries coronàries que permeten valorar el nombre, la localització i les característiques de lesions. Tota aquesta informació s'obté de manera no invasiva: només es requereix la punció d'una vena perifèrica (en el braç). És necessari que la freqüència cardíaca no superi els 75 batecs per minut per això alguns pacients hauran de realitzar un tractament previ amb un fàrmac betabloquejant. - PAAF (punció) de tòrax guiada per TC
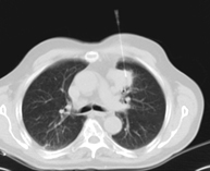
Prova que consisteix en obtenir una mostra de teixit de lesions toràciques, com per exemple masses pulmonars, mediastíniques, lesions òssies, etc. Per això s'administra anestèsia local sobre la zona de punció, que es realitza amb agulles de calibre fi. Tot el procediment es realitza controlat amb imatges obtingudes per tomografia computaritzada (TC) en diversos moments de la punció, mitjançant un equip de Fluoroscòpia-TC. Després de la prova, el pacient resta unes hores hospitalitzat. És necessari portar proves de coagulació abans de la punció. - CT-guided thoracic biopsy

It consists of obtaining a tissue sample from a specific thoracic lesion, such as the lung, mediastinum, sternum, etc. It is sometimes performed under sedation with the help of an anaesthesia team. Needles are used to draw a cylinder sample from the lesion to be studied, which is then sent to the Pathology Department for histological analysis. The entire procedure is performed with guidance from images obtained by computed tomography (CT) at various stages of the biopsy, using fluoroscopy-CT equipment. After the test, the patient remains in hospital under observation. Coagulation tests must be performed before the puncture.
- Thoracic spine CT
Radiological test that involves capturing high-definition anatomical images of the thoracic vertebrae using a CT (computed tomography) scanner. Indicated for: acute/chronic back pain, trauma, spinal misalignment.
- Calcium score

Diagnostic test that measures the amount of calcium that may have accumulated in the atherosclerotic plaques of the coronary arteries using state-of-the-art MDCT equipment. It is a non-invasive test that does not require iodinated contrast. No prior preparation is necessary. Calcified plaques are detected using a specialised workstation that allows the exact amount of calcium to be quantified and given a score, which is known in medical practice as the calcium score.
- Abdomen and pelvis
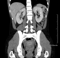
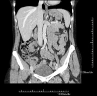
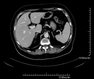
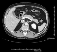
- Abdomen CT

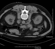
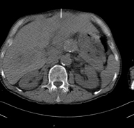
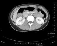
Diagnostic test that involves obtaining high-definition anatomical images of the abdomen (liver, gallbladder, bile duct, pancreas, spleen, stomach, intestines, kidneys, vascular structures, bladder, uterus and ovaries, etc.) using CT (computed tomography) equipment. These images are then studied at a workstation capable of producing two-dimensional reconstructions in different spatial planes, and also 3D (volumetric) reconstructions. Most studies require the use of iodinated contrast to improve image definition.
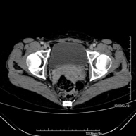
- Pelvis CT

Diagnostic test that involves obtaining high-definition anatomical two- and three-dimensional images of the pelvis (bone structures, vascular structures, bladder, uterus and ovaries, prostate and seminal vesicles, ureters, etc.) using CT (computed tomography) equipment. Most studies require the use of iodinated contrast.
- Abdominal and pelvic CT

Diagnostic test that consists of obtaining high-definition anatomical images (bone structures, vascular structures, liver, pancreas, gallbladder, kidneys, adrenal glands, spleen, small and large intestine, bladder, uterus and ovaries, prostate and seminal vesicles, ureters, etc.) using CT (computed tomography) equipment. Most studies require the use of iodinated contrast.
- Liver CT

Diagnostic test that involves obtaining high-definition anatomical two- and three-dimensional images of the liver using CT (computed tomography) equipment. The study must be performed before and after the use of iodinated contrast, carrying it out in different ‘hepatic phases’ to correctly assess all structures: hepatic parenchyma, intra- and extrahepatic bile ducts, gallbladder, hepatic vessels (hepatic artery, portal vein and suprahepatic veins) and adjacent structures (stomach, duodenum, inferior vena cava, pancreatic gland, etc.). This test is particularly useful in the study of liver damage, chronic liver disease, etc.
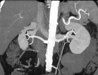
- Kidney CT

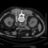
Diagnostic test that involves obtaining high-definition anatomical two- and three-dimensional images of the kidney and urinary system using CT (computed tomography) equipment. The study is performed before and after the use of iodinated contrast in different ‘renal phases’ for functional and anatomical assessment (renal parenchyma, ureters, urinary bladder, renal arteries and veins, etc.), as well as adjacent structures (inferior vena cava, abdominal aorta, liver, spleen, etc.). It is particularly recommended when kidney damage is suspected, in patients with blood in their urine or haematuria, etc.
- Urological CT

Diagnostic test that involves obtaining high-definition anatomical two- and three-dimensional images of the kidney and urinary system using CT (computed tomography) equipment. It is particularly recommended for patients suspected of having kidney stones, recurrent urinary tract infections, etc. The test is performed without using iodine contrast (only in certain cases will it be necessary to complete the test with iodine contrast).
- Pancreas CT

Diagnostic test that involves obtaining high-definition anatomical two- and three-dimensional images of the pancreas using CT (computed tomography) equipment. The study is performed before and after the use of iodinated contrast in different ‘pancreatic phases’ in order to assess all structures (pancreatic parenchyma, pancreatic duct or Wirsung duct, biliary-pancreatic junction, common bile duct, pancreatic arteries, splenic artery and vein, duodenum, etc.). It is particularly recommended when pancreatic injury is suspected, in patients with acute or chronic pancreatitis, etc.
- Abdominal aorta CT angiography


A non-invasive diagnostic test that involves studying the abdominal aorta by obtaining high-definition anatomical images using CT (computed tomography) equipment and iodinated contrast. With the aid of workstations specialised for arterial studies, the image quality supports 2D and 3D reconstructions. It is indicated in patients with vascular disease (atherosclerosis), aortic aneurysms, abdominal pain of possible vascular origin, pre-surgical studies of lesions adjacent to the abdominal aorta as a vascular ‘map’, etc. Information obtained non-invasively is indispensable for patients requiring percutaneous or surgical processing. In patients who only require tracking of vascular lesions, this technique is the non-invasive technique of choice, together with MRI angiography.
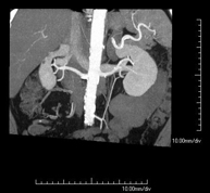
- Renal artery CT angiography


A non-invasive diagnostic test that involves studying the renal arteries by obtaining high-definition anatomical images using CT (computed tomography) equipment and iodinated contrast. With the aid of workstations specialised for arterial studies, the image quality supports 2D and 3D reconstructions. This test is recommended, for example, in patients suffering from refractory hypertension that does not respond to processing, in patients with kidney damage in order to obtain a pre-surgical ‘vascular’ map, etc.
- Aortoiliac CT angiography

A non-invasive diagnostic test that involves examining the iliac arteries and abdominal aorta, obtaining high-definition anatomical images using CT (computed tomography) equipment and iodinated contrast dye. With the aid of workstations specialised for arterial studies, the image quality supports 2D and 3D reconstructions. This test is particularly recommended as a pre-surgical study (vascular map) prior to percutaneous or surgical interventions on the abdominal aorta, as a complementary study in patients with lower limb ischaemia, etc.
- Virtual colonoscopy


Virtual colonoscopy is a non-invasive technique that allows three-dimensional and two-dimensional visualisation of the large intestine or colon by taking sequential images captured with a state-of-the-art MDCT scanner. The quality of the images allows virtual navigation through the rectum and colon thanks to processing on specialised workstations. Preparation for the test consists of following a low-fibre diet for three days before the test (to cleanse the colon and rectum) and ingesting an iodinated oral contrast agent the day before the test (to mark the stool so that it can be correctly distinguished from any colonic lesions). Unlike fibrocolonoscopy, no sedation or bowel preparation is required. The test is performed in the CT room, where air is blown through a small flexible tube to distend the colon.
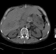
- CT-guided abdominal FNA (fine needle aspiration)

It consists in obtaining a tissue sample from a specific lesion located in the abdominal cavity. This test is performed using local anaesthesia on the puncture area, which is administered with fine-gauge needles. The entire procedure is monitored using images obtained by computed tomography (CT) at various stages of the puncture, using fluoroscopy-CT equipment. After the test, the patient remains under observation in hospital for a few hours. Coagulation tests must be performed before the puncture.
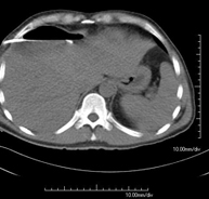
- CT-guided abdominal biopsy

It consists in obtaining a tissue sample from a specific lesion located in the abdominal cavity. It is sometimes performed under sedation with the help of an anaesthesia team. Needles are used to draw a cylinder sample from the lesion to be studied, which is then sent to the Pathology Department for histological analysis. The entire procedure is monitored using images obtained by computed tomography (CT) at various stages of the biopsy, using CT fluoroscopy. After the test, the patient remains in hospital under observation. Coagulation tests must be performed before the puncture.
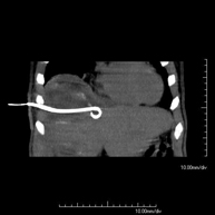
- CT-guided abdominal drainage (abscesses, collections)

It consists of placing a drainage catheter over a collection of fluid located in the abdominal cavity, with the intention of emptying as much of the collection as possible. The patient should keep the drain in place for a few days, usually until it is no longer productive. It is often performed under sedation with the help of an anaesthesia team. The entire procedure is monitored using images obtained by computed tomography (CT) at various stages of the test, using CT fluoroscopy. After the test, the patient remains hospitalised. Coagulation tests must be performed before the test.
- Osteoarticular
- Shoulder CT

Radiological examination based on an X-ray system and detectors that rotate around the patient, reconstructing the images by computer (multidetector computed tomography - MDCT) to study the bones, muscles and joints of the shoulder.
- Elbow CT

Radiological examination based on an X-ray system and detectors that rotate around the patient, reconstructing the images by computer (multidetector computed tomography - MDCT) to study the bones, muscles and joints of the elbow.
- Hand – wrist CT

Radiological examination based on an X-ray system and detectors that rotate around the patient, reconstructing the images by computer (multidetector computed tomography - MDCT) to study the bones, muscles and joints of the hands and wrists.
- Pelvic bone CT

Radiological examination based on an X-ray system and detectors that rotate around the patient, reconstructing the images by computer (multidetector computed tomography - MDCT) to study the bones, muscles and joints of the pelvis.
- Hip CT

Radiological examination based on an X-ray system and detectors that rotate around the patient, reconstructing the images by computer (multidetector computed tomography - MDCT) to study the bones, muscles and joints of the hips.
- Sacroiliac CT

Radiological examination based on an X-ray system and detectors that rotate around the patient, reconstructing the images by computer (multidetector computed tomography - MDCT) to study the sacroiliac joints and rule out inflammatory, traumatic or degenerative diseases.
- Knee CT

Radiological examination based on an X-ray system and detectors that rotate around the patient, reconstructing the images by computer (multidetector computed tomography - MDCT) to study the bones, muscles and joints of the knees.
- TC de turmell-peu
Exploració radiològica que mitjançant un sistema de raigs X i detectors que giren al voltant del pacient i que reconstrueixen les imatges per ordinador (TC Multidetector), permet l'estudi detallat dels ossos, els músculs i les articulacions del turmell i el peu. - TC d'estudi rotacional EEII (Bàscula rotuliana, distància TA-GT)
Exploració radiològica que mitjançant un sistema de raigs X i detectors que giren al voltant del pacient i que reconstrueixen les imatges per ordinador (TC Multidetector), permet calcular una sèrie de mesures a nivell de maluc, genolls i turmells per solucionar problemes de rotació i angulació de les extremitats inferiors. - TC d'ossos llargs
Exploració radiològica que mitjançant un sistema de raigs X i detectors que giren al voltant del pacient i que reconstrueixen les imatges per ordinador (TC Multidetector), permet l'estudi detallat dels ossos llargs (tíbia, peroné, fèmur, húmer, radi i cúbit). - Biòpsia òssia guiada per TC
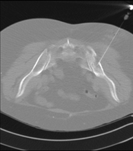
Consisteix en obtenir una mostra de teixit d'una determinada lesió òssia. En ocasions es realitza sota sedació, amb l'ajuda de l'equip d'anestèsia. S'utilitzen agulles que permeten l'obtenció d'un cilindre de la lesió que s'ha d'estudiar, que s'enviarà a Anatomia Patològica per a la seva anàlisi histològica. Tot el procediment es realitza controlat amb imatges obtingudes per Tomografia Computaritzada (TC). Després de la prova, el pacient resta hospitalitzat per controlar la seva evolució. És necessari que porti les proves de coagulació abans de la punció. - Angio-TC arterial d'extremitats inferiors
Prova diagnòstica no invasiva que consisteix en l'estudi vascular del sector aorto-ilíac i dels vasos arterials d'ambdues extremitats inferiors i l'obtenció d'imatges d'alta definició anatòmica mitjançant l'ús d'un equip de TC Multidetector d'última generació i de contrast iodat. La qualitat de les imatges permet realitzar reconstruccions en 2D i 3D gràcies a estacions de treball especialitzades en l'estudi arterial.
- Columna
- TC Columna cervical
Prova radiològica que consisteix en obtenir imatges de les vèrtebres cervicals d'alta definició anatòmica, mitjançant l'ús d'un equip de TC (Tomografia Computeritzada). Indicacions: dolor cervical amb/sense irradiació als braços, traumatisme, malformacions congènites. - TC Columna dorsal
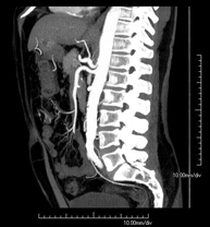
Prova radiològica que consisteix en obtenir imatges de les vèrtebres dorsals d'alta definició anatòmica, mitjançant l'ús d'un equip de TC (Tomografia Computaritzada). Indicacions: dolor dorsal, estudi de desviacions de la columna, traumatisme. - TC Columna lumbar
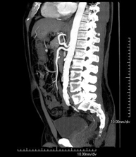
Prova radiològica que consisteix en obtenir imatges de les vèrtebres lumbars d'alta definició anatòmica, mitjançant l'ús d'un equip de TC (Tomografia Computaritzada). Indicacions: dolor lumbar sense / amb irradiació a les cames, dificultat per caminar, traumatisme. - TC de sacre-còccix
- Pediatria
- TC de crani
Prova radiològica que consisteix en obtenir imatges del crani d'alta definició anatòmica, mitjançant l'ús d'un equip de TC (Tomografia Computeritzada). Indicacions: cefalea, estudi de tumors, traumatisme cranial. - TC de coll
Prova radiològica que consisteix en obtenir imatges del coll d'alta definició anatòmica, mitjançant l'ús d'un equip de TC (Tomografia Computeritzada). - TC Tòrax
Prova diagnòstica que consisteix en obtenir imatges del tòrax d'alta definició anatòmica (pulmons, cor, mediastí, grans vasos, caixa toràcica, etc.) mitjançant l'ús d'un equip de TC (Tomografia Computeritzada). Aquestes imatges s'estudien posteriorment en una estació de treball que permet reconstruccions bidimensionals en diferents plans de l'espai i també reconstruccions tridimensionals (3D: volumètriques). Alguns estudis requereixen l'ús de contrast iodat per millorar la definició de les imatges. - TC Abdomen
Prova diagnòstica que consisteix en obtenir imatges de l'abdomen d'alta definició anatòmica (fetge, vesícula biliar, via biliar, pàncrees, melsa, estómac, intestins, ronyons, estructures vasculars, bufeta, úter i ovaris, etc.) mitjançant l'ús d'un equip de TC (Tomografia Computeritzada). Aquestes imatges s'estudien posteriorment en una estació de treball que permet reconstruccions bidimensional en diferents plans de l'espai, i també reconstruccions tridimensionals (3D: volumètriques). La majoria d'estudis requereixen l'ús de contrast iodat per millorar la definició de les imatges. - Lower leg rotational study using CT
Radiological examination based on an X-ray system and detectors that rotate around the patient, reconstructing the images by computer to calculate a series of measurements at the hips, knees and ankles with a view to solving problems affecting the rotation and angulation of the lower limbs.
- Bone CT

Radiological test that provides high definition anatomical images of the bones using CT (Computed Tomography) equipment. Indicated for: trauma, study of focal bone lesions.
- CT under sedation

Radiological examination involving an X-ray system and detectors that rotate around the patient, reconstructing images by computer to study any region of the body. It is performed under sedation with the assistance of an anaesthesia team. It is extremely useful in paediatric patients, who can often be difficult to examine because of false images caused by movements (infants, young children, etc., when clinically indicated).
- Vascular studies
- Supra-aortic trunk CT angiography

Radiological test that provides high definition anatomical images of the carotid arteries of the neck using CT (Computed Tomography) equipment and the injection of an intravenous contrast agent. The images are then reconstructed in three dimensions (3D). Indicated for: acute cerebral vascular accident, transient vascular accident, carotid bruit.
- Thoracic aorta CT angiography

Diagnostic test to examine the thoracic aorta (main artery of the thorax) using CT (Computed Tomography) equipment. This technique provides high-definition anatomical images. In most cases, the use of iodinated contrast is necessary. The use of MDCT (Multidetector Computed Tomography) shortens scanning time, reduces radiation dose and improves image quality. The multiple detectors used in certain studies enable imaging to be synchronised with the heartbeat, a technique used to study the aortic valve and aortic root (the first few centimetres), where the heartbeat tends to distort images due to movement.
- Pulmonary Artery CT angiography (PTE Study, Pulmonary Thromboembolism)

Diagnostic test to examine the pulmonary arteries using CT (Computed Tomography) equipment to obtain two- and three-dimensional images. The use of iodinated contrast is essential in this study, as it will allow for better anatomical definition. This test is mainly indicated in cases of suspected pulmonary thromboembolism (PTE) to rule out or confirm the presence of blood clots inside the arteries.
- Coronary CT angiography

The Coronary CT angiography or non-invasive Coronarography is a diagnostic test to examine arteries of the heart, or coronary arteries, using state-of-the-art MDCT equipment (64 slices or rows of detectors) and an iodinated contrast agent to obtain two- and three-dimensional images. 64-slice multidetector computed tomography (MDCT) entails high-speed imaging that is beneficial in assessing coronary arteries with high anatomical precision, particularly in evaluating narrowing or stenosis, calcifications, anatomical variants, etc., as its speed prevents the artefact caused by the constant movement of the heart (1,000 images can be obtained in less than 10 seconds). The information obtained requires processing at workstations equipped with specialised software capable of reconstructing the coronary arteries, thereby enabling an assessment to be made of the number, location and characteristics of the lesions. All this information is obtained non-invasively, involving a simple puncture of a peripheral vein (in the arm). To ensure the heart rate stays below 75 bpm, some patients will need preliminary treatment with beta blockers.
- Abdominal aorta CT angiography

A non-invasive diagnostic test that involves studying the abdominal aorta by obtaining high-definition anatomical images using CT (computed tomography) equipment and iodinated contrast. With the aid of workstations specialised for arterial studies, the image quality supports 2D and 3D reconstructions. It is indicated in patients with vascular disease (atherosclerosis), aortic aneurysms, abdominal pain of possible vascular origin, pre-surgical studies of lesions adjacent to the abdominal aorta as a vascular ‘map’, etc. Information obtained non-invasively is indispensable for patients requiring percutaneous or surgical processing. In patients who only require tracking of vascular lesions, this technique is the non-invasive technique of choice, together with MRI angiography.
- Renal artery CT angiography

A non-invasive diagnostic test that involves studying the renal arteries by obtaining high-definition anatomical images using CT (computed tomography) equipment and iodinated contrast. With the aid of workstations specialised for arterial studies, the image quality supports 2D and 3D reconstructions. This test is recommended, for example, in patients suffering from refractory hypertension that does not respond to processing, in patients with kidney damage in order to obtain a pre-surgical ‘vascular’ map, etc.
- Aortoiliac CT angiography

A non-invasive diagnostic test that involves examining the iliac arteries and abdominal aorta, obtaining high-definition anatomical images using CT (computed tomography) equipment and iodinated contrast dye. With the aid of workstations specialised for arterial studies, the image quality supports 2D and 3D reconstructions. This test is particularly recommended as a pre-surgical study (vascular map) prior to percutaneous or surgical interventions on the abdominal aorta, as a complementary study in patients with lower limb ischaemia, etc.
- Lower leg arterial CT angiography

Non-invasive diagnostic test consisting of a vascular study of the aorto-iliac sector and the arterial vessels of both lower extremities, obtaining high-definition anatomical images using state-of-the-art multidetector CT equipment and iodinated contrast. With the aid of workstations specialised for arterial studies, the image quality supports 2D and 3D reconstructions.
- CT-guided interventional procedures
- Radiofrequency ablation of bone tumours
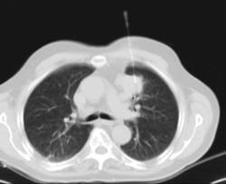
- Preoperative interpulmonary harpoon placement
- CT-guided thoracic FNA (fine needle aspiration)

This test obtains a sample of tissue from thoracic lesions, such as lung masses, mediastinal masses, bone lesions, etc. This test is performed using local anaesthesia on the puncture area, which is administered with fine-gauge needles. The entire procedure is monitored using images obtained by computed tomography (CT) at various stages of the puncture, using CT fluoroscopy. After the test, the patient remains in hospital for a few hours. Coagulation tests must be performed before the puncture.
- CT-guided thoracic biopsy

It consists of obtaining a tissue sample from a specific thoracic lesion, such as the lung, mediastinum, sternum, etc. It is sometimes performed under sedation with the help of an anaesthesia team. Needles are used to draw a cylinder sample from the lesion to be studied, which is then sent to the Pathology Department for histological analysis. The entire procedure is monitored using images obtained by computed tomography (CT) at various stages of the biopsy, using CT fluoroscopy. After the test, the patient remains in hospital under observation. Coagulation tests must be performed before the puncture.
- CT-guided abdominal FNA (fine needle aspiration)

It consists in obtaining a tissue sample from a specific lesion located in the abdominal cavity. This test is performed using local anaesthesia on the puncture area, which is administered with fine-gauge needles. The entire procedure is monitored using images obtained by computed tomography (CT) at various stages of the puncture, using CT fluoroscopy. After the test, the patient remains under observation in hospital for a few hours. Coagulation tests must be performed before the test.
- CT-guided abdominal biopsy

It consists in obtaining a tissue sample from a specific lesion located in the abdominal cavity. It is sometimes performed under sedation with the help of an anaesthesia team. Needles are used to draw a cylinder sample from the lesion to be studied, which is then sent to the Pathology Department for histological analysis. The entire procedure is monitored using images obtained by computed tomography (CT) at various stages of the biopsy, using CT fluoroscopy. After the test, the patient remains in hospital under observation. Coagulation tests must be performed before the puncture.
- CT-guided abdominal drainage

It consists of placing a drainage catheter over a collection of fluid located in the abdominal cavity, with the intention of emptying as much of the collection as possible. The patient should keep the drain in place for a few days, usually until it is no longer productive. It is often performed under sedation with the help of an anaesthesia team. The entire procedure is monitored using images obtained by computed tomography (CT) at various stages of the test, using CT fluoroscopy. After the test, the patient remains hospitalised. Coagulation tests must be performed before the test.
- CT-guided bone biopsy

Invasive examination used to extract bone tissue samples, mainly from tumours. The CT scan is used to select the puncture site and guide the biopsy needles to the tumour. Local anaesthesia is applied and sedation is occasionally used. The duration of the procedure will depend on its technical difficulty.


































